Suppr超能文献

红耳龟(龟科:滑龟指名亚种)消化道的大体解剖和显微解剖

Macro- and microscopic anatomy of the digestive tract in the red-eared slider (Emydidae: Trachemys scripta elegans).

作者信息

Miyai Nonoha, Kozono Takuma, Kuriki Tatsu, Todoroki Mai, Murakami Tomoaki, Shinohara Kyosuke, Yoshida Toshinori, Kigata Tetsuhito

机构信息

Cooperative Department of Veterinary Medicine, Tokyo University of Agriculture and Technology, Tokyo, Japan.

Smart-Core-Facility Promotion Organization, Tokyo University of Agriculture and Technology, Tokyo, Japan.

出版信息

PLoS One. 2024 Dec 30;19(12):e0315737. doi: 10.1371/journal.pone.0315737. eCollection 2024.

Abstract

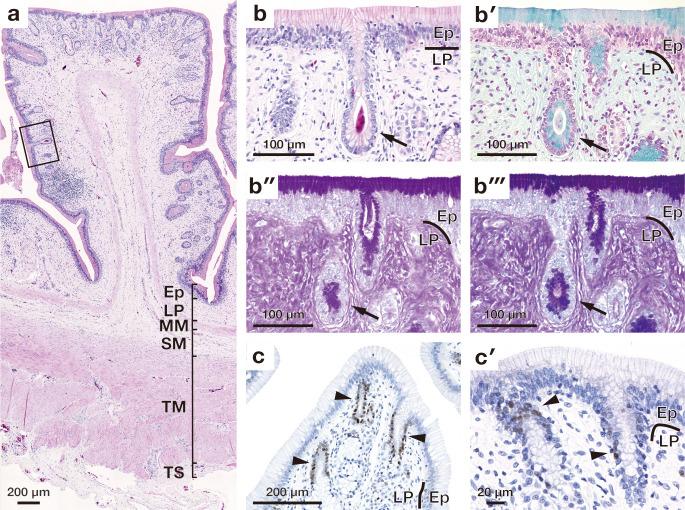
The red-eared sliders (Emydidae: Trachemys scripta) is characterised by a high adaptability to a variety of environment and threatens the habitat of Japanese native species. The ability to digest a variety of diets may attribute to the high adaptive capacity of this species to various environments, however, the digestive morphology remains scarcely described in red-eared sliders. In this study, we investigated the macro- and microscopic anatomy of the esophagus, stomach, small intestine, and large intestine in red-eared sliders. All segments of the digestive tract had longitudinal mucosal folds, the height and width of which varied in each segment of the digestive tract. The stomach had the highest and widest mucosal folds. The mucosal folds in the proximal-to-middle small intestine exhibited a zigzag shape, whereas those in the distal small intestine were linear. The wall of the digestive tract regularly consisted of mucosa, submucosa, tunica muscularis, and tunica adventitia or serosa. In each segment of the digestive tract, the epithelial structure was different. The esophagus and small intestine were lined by the pseudostratified columnar epithelium. In both segments, the basal part of the pseudostratified epithelium included proliferating cell nuclear antigen (PCNA)-positive proliferating cells. The stomach and large intestine were lined by the simple columnar epithelium. In the stomach and large intestine, PCNA-positive proliferating cells were present in the neck of the proper gastric gland and crypt-like structures, respectively. The proper gastric gland was composed of oxynticopeptic and mucous cells. This study revealed the detailed macro- and microscopic anatomy of the digestive tract in red-eared sliders. Overall, our findings may provide an anatomical basis for understanding the relationship between morphology and function in the digestive tract of turtles.

摘要

红耳龟(龟科:滑龟属)的特点是对各种环境具有高度适应性,并对日本本土物种的栖息地构成威胁。能够消化多种食物可能归因于该物种对各种环境的高适应能力,然而,红耳龟的消化形态学仍鲜有描述。在本研究中,我们调查了红耳龟食管、胃、小肠和大肠的大体和微观解剖结构。消化道的所有节段都有纵向黏膜皱襞,其高度和宽度在消化道的每个节段有所不同。胃的黏膜皱襞最高且最宽。小肠近端至中部的黏膜皱襞呈锯齿状,而远端小肠的黏膜皱襞为线性。消化道壁通常由黏膜、黏膜下层、肌层和外膜或浆膜组成。在消化道的每个节段,上皮结构都不同。食管和小肠由假复层柱状上皮衬里。在这两个节段中,假复层上皮的基部包括增殖细胞核抗原(PCNA)阳性的增殖细胞。胃和大肠由单层柱状上皮衬里。在胃和大肠中,PCNA阳性的增殖细胞分别存在于胃固有腺颈部和隐窝样结构中。胃固有腺由泌酸胃酶细胞和黏液细胞组成。本研究揭示了红耳龟消化道详细的大体和微观解剖结构。总体而言,我们的研究结果可能为理解龟类消化道形态与功能之间的关系提供解剖学基础。

https://cdn.ncbi.nlm.nih.gov/pmc/blobs/2c4f/11684675/90307e06a3af/pone.0315737.g001.jpg

文献检索

告别复杂PubMed语法,用中文像聊天一样搜索,搜遍4000万医学文献。AI智能推荐,让科研检索更轻松。

立即免费搜索

文件翻译

保留排版,准确专业,支持PDF/Word/PPT等文件格式,支持 12+语言互译。

免费翻译文档

深度研究

AI帮你快速写综述,25分钟生成高质量综述,智能提取关键信息,辅助科研写作。

立即免费体验