Suppr超能文献

肱骨髁上骨折Gartland II型的非手术治疗:综述

Nonoperative Management of Gartland Type II Supracondylar Humeral Fractures: A Comprehensive Review.

作者信息

Booker Michaela, Sumandea Faith, Pandya Nirav, Swarup Ishaan

机构信息

, San Francisco, USA.

, Elk Grove, USA.

出版信息

Curr Rev Musculoskelet Med. 2025 Feb;18(2):48-53. doi: 10.1007/s12178-024-09937-4. Epub 2025 Jan 7.

Abstract

PURPOSE OF REVIEW

This review aims to provide a comprehensive analysis of the nonoperative management of Gartland Type II fractures in pediatric patients.

RECENT FINDINGS

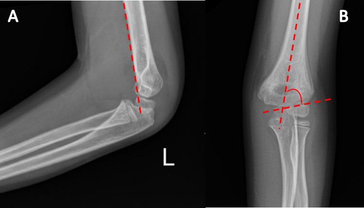
Supracondylar humeral fractures (SCF) are one of the most common traumatic fractures in pediatric populations, characterized as transverse fractures at the distal humerus between the medial and lateral columns. Early studies strongly opposed closed reduction and casting as an acceptable treatment modality for Gartland type II fractures as an early case series showed high rates of complications; however, more recent studies have suggested better outcomes. The optimal management of Gartland Type II supracondylar fractures has yet to be fully elucidated. This review highlights the indications, complications, and outcomes of nonoperative Gartland Type II supracondylar humeral fracture management. Additionally, it demonstrates the need for further research to inform guidelines on managing this condition.

摘要

综述目的

本综述旨在对小儿患者的Gartland II型骨折的非手术治疗进行全面分析。

最新研究结果

肱骨髁上骨折(SCF)是小儿人群中最常见的创伤性骨折之一,其特征为肱骨远端内侧柱和外侧柱之间的横行骨折。早期研究强烈反对将闭合复位和石膏固定作为Gartland II型骨折可接受的治疗方式,因为一个早期病例系列显示并发症发生率很高;然而,最近的研究表明结果更好。Gartland II型髁上骨折的最佳治疗方法尚未完全阐明。本综述重点介绍了Gartland II型肱骨髁上骨折非手术治疗的适应症、并发症和结果。此外,它表明需要进一步研究以为管理这种情况的指南提供依据。

https://cdn.ncbi.nlm.nih.gov/pmc/blobs/247a/11775363/88ac2da9bcd9/12178_2024_9937_Fig1_HTML.jpg

文献检索

告别复杂PubMed语法,用中文像聊天一样搜索,搜遍4000万医学文献。AI智能推荐,让科研检索更轻松。

立即免费搜索

文件翻译

保留排版,准确专业,支持PDF/Word/PPT等文件格式,支持 12+语言互译。

免费翻译文档

深度研究

AI帮你快速写综述,25分钟生成高质量综述,智能提取关键信息,辅助科研写作。

立即免费体验