Suppr超能文献

使用超声引导下选择性舌咽神经阻滞治疗严重恶心反射的系统脱敏技术:两例报告

Systematic Desensitization Technique Using Ultrasound-Guided Selective Glossopharyngeal Nerve Block for Severe Gagging Reflex: A Report of Two Cases.

作者信息

Kojima Yuki, Hirabayashi Kazuya

机构信息

Anesthesiology, Asahi General Hospital, Asahi, JPN.

出版信息

Cureus. 2024 Dec 9;16(12):e75429. doi: 10.7759/cureus.75429. eCollection 2024 Dec.

Abstract

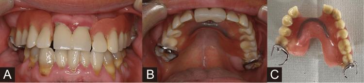
The gagging reflex during dental treatment is a common concern for dentists and patients. Herein, we describe a novel approach to managing severe gagging reflex, termed the "KOJIMA program," using a systematic desensitization technique combined with an ultrasound-guided selective glossopharyngeal nerve block (UGSGNB). After performing the UGSGNB, the participants were trained to touch the inside of their mouths with a cotton swab. Two patients participated in the KOJIMA program. In case 1, before starting the KOJIMA program, palpating the lips, maxillary buccal gingiva, mandibular buccal gingiva, buccal mucosa, and maxillary palatal gingiva was possible. By the fifth session, the patient was able to palpate the palate and tongue. In case 2, before starting the KOJIMA program, only the lips, maxillary buccal gingiva, mandibular buccal gingiva, and buccal mucosa could be palpated. By the third session of the program, the patient was able to palpate the palate and tongue. Both patients were able to wear partial dentures. Our findings suggest that the KOJIMA program might be easily accepted by patients and could be used for managing severe gagging reflexes.

摘要

牙科治疗期间的恶心反射是牙医和患者共同关注的问题。在此,我们描述一种治疗严重恶心反射的新方法,称为“小岛程序”,它采用系统脱敏技术结合超声引导下选择性舌咽神经阻滞(UGSGNB)。在进行UGSGNB后,让参与者用棉签触碰口腔内部进行训练。两名患者参与了小岛程序。在病例1中,在开始小岛程序之前,可以触诊嘴唇、上颌颊侧牙龈、下颌颊侧牙龈、颊黏膜和上颌腭侧牙龈。到第五次训练时,患者能够触诊腭部和舌头。在病例2中,在开始小岛程序之前,只能触诊嘴唇、上颌颊侧牙龈、下颌颊侧牙龈和颊黏膜。到该程序的第三次训练时,患者能够触诊腭部和舌头。两名患者都能够佩戴局部义齿。我们的研究结果表明,小岛程序可能容易被患者接受,并可用于治疗严重的恶心反射。

https://cdn.ncbi.nlm.nih.gov/pmc/blobs/c64e/11717159/573fac0cc8de/cureus-0016-00000075429-i01.jpg

文献检索

告别复杂PubMed语法,用中文像聊天一样搜索,搜遍4000万医学文献。AI智能推荐,让科研检索更轻松。

立即免费搜索

文件翻译

保留排版,准确专业,支持PDF/Word/PPT等文件格式,支持 12+语言互译。

免费翻译文档

深度研究

AI帮你快速写综述,25分钟生成高质量综述,智能提取关键信息,辅助科研写作。

立即免费体验