Suppr超能文献

经导管主动脉瓣植入术使用SAPIEN-3超弹性RESILIA瓣膜球囊后扩张时瓣叶卡瓣:一例报告

A stuck leaflet after balloon post-dilatation in transcatheter aortic valve implantation with a SAPIEN-3 ultra RESILIA valve: a case report.

作者信息

Yamazoe Shinji, Ogawa Yasuhiro, Kano Naoaki, Mamiya Keita, Kawaguchi Katsuhiro

机构信息

Department of Cardiology, Komaki City Hospital, 1-20 Joubushi, Komaki, Aichi 485-8520, Japan.

出版信息

Eur Heart J Case Rep. 2024 Dec 26;9(1):ytae697. doi: 10.1093/ehjcr/ytae697. eCollection 2025 Jan.

Abstract

BACKGROUND

Transcatheter aortic valve implantation (TAVI) is a safe and effective therapy for patients with severe aortic stenosis. A Stuck leaflet and severe intraprosthetic regurgitation after valve implantation occur rarely but can lead to sudden haemodynamic deterioration. We encountered a case of a stuck leaflet following post-dilatation with the Edwards Sapien 3 Ultra RESILIA valve.

CASE SUMMARY

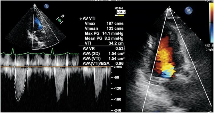
A 72-year-old woman was referred to our hospital for severe aortic stenosis with shortness of breath. She underwent transfemoral TAVI. After deployment of a 23 mm Sapien 3 Ultra RESILIA valve, post-dilatation was performed due to the presence of paravalvular leak (PVL). Transoesophageal echocardiography revealed a stuck leaflet and severe intraprosthetic regurgitation. Aortography also demonstrated severe aortic regurgitation. We performed valve-in-valve procedure using the second 23 mm valve. Post-valve-in-valve transoesophageal echocardiography showed no PVL nor aortic regurgitation, and haemodynamics improved.

DISCUSSION

A stuck leaflet is a rare complication following post-dilatation. Severe intraprosthetic regurgitation can lead to sudden haemodynamic changes and may, in some cases, necessitate the use of extracorporeal membrane oxygenation. If haemodynamic changes occur, it is essential to promptly investigate the cause through multiple diagnostic modalities, including transoesophageal echocardiography and angiography.

摘要

背景

经导管主动脉瓣植入术(TAVI)是治疗重度主动脉瓣狭窄患者的一种安全有效的方法。瓣膜植入后出现瓣叶卡瓣和严重的人工瓣膜反流很少见,但可导致突然的血流动力学恶化。我们遇到了一例使用爱德华 Sapien 3 Ultra RESILIA 瓣膜进行后扩张后出现瓣叶卡瓣的病例。

病例摘要

一名72岁女性因重度主动脉瓣狭窄伴呼吸急促被转诊至我院。她接受了经股动脉 TAVI。在植入一枚23mm的 Sapien 3 Ultra RESILIA 瓣膜后,由于存在瓣周漏(PVL)进行了后扩张。经食管超声心动图显示瓣叶卡瓣和严重的人工瓣膜反流。主动脉造影也显示严重的主动脉反流。我们使用第二枚23mm瓣膜进行了瓣中瓣手术。瓣中瓣手术后经食管超声心动图显示无瓣周漏和主动脉反流,血流动力学改善。

讨论

瓣叶卡瓣是后扩张后一种罕见的并发症。严重的人工瓣膜反流可导致突然的血流动力学变化,在某些情况下可能需要使用体外膜肺氧合。如果发生血流动力学变化,必须通过多种诊断方式,包括经食管超声心动图和血管造影,迅速查明原因。

https://cdn.ncbi.nlm.nih.gov/pmc/blobs/31c5/11718390/49deba4a39a3/ytae697il2.jpg

文献AI研究员

20分钟写一篇综述,助力文献阅读效率提升50倍。

立即体验

用中文搜PubMed

大模型驱动的PubMed中文搜索引擎

马上搜索

文档翻译

学术文献翻译模型,支持多种主流文档格式。

立即体验