• 文献检索
  • 文档翻译
  • 深度研究
  • 学术资讯
  • Suppr Zotero 插件Zotero 插件
  • 邀请有礼
  • 套餐&价格
  • 历史记录
应用&插件
Suppr Zotero 插件Zotero 插件浏览器插件Mac 客户端Windows 客户端微信小程序
定价
高级版会员购买积分包购买API积分包
服务
文献检索文档翻译深度研究API 文档MCP 服务
关于我们
关于 Suppr公司介绍联系我们用户协议隐私条款
关注我们

Suppr 超能文献

核心技术专利:CN118964589B侵权必究
粤ICP备2023148730 号-1Suppr @ 2026

文献检索

告别复杂PubMed语法,用中文像聊天一样搜索,搜遍4000万医学文献。AI智能推荐,让科研检索更轻松。

立即免费搜索

文件翻译

保留排版,准确专业,支持PDF/Word/PPT等文件格式,支持 12+语言互译。

免费翻译文档

深度研究

AI帮你快速写综述,25分钟生成高质量综述,智能提取关键信息,辅助科研写作。

立即免费体验

立体定向放射外科治疗眶尖血管肿瘤后的视力改善

Visual Improvement Following Stereotactic Radiosurgery for Orbital Apex Vascular Tumor.

作者信息

Chondrozoumakis Georgios, Verigos Kosmas, Detorakis Efstathios

机构信息

Department of Ophthalmology, University General Hospital of Heraklion, Heraklion, GRC.

Department of Radiotherapy, 401 General Military Hospital of Athens, Athens, GRC.

出版信息

Cureus. 2024 Dec 14;16(12):e75702. doi: 10.7759/cureus.75702. eCollection 2024 Dec.

DOI:10.7759/cureus.75702
PMID:39807454
原文链接:https://pmc.ncbi.nlm.nih.gov/articles/PMC11727812/
Abstract

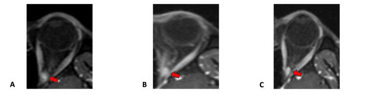
Orbital apex lesions represent a clinical challenge since they are difficult to remove surgically and may induce significant functional defects. The orbital apex is an area of convergence of neurovascular elements passing through the various local osseous foramina and the congestion of several critical anatomical structures in a confined space increases the risk of intraoperative complications. Radiotherapy is an alternative treatment option in such cases but may also induce radiation toxicity. We present a case of a vascular orbital apex lesion, which caused vision loss and was treated with stereotactic radiosurgery, resulting in significant visual restoration.

摘要

眶尖病变是一项临床挑战,因为它们难以通过手术切除,并且可能导致严重的功能缺陷。眶尖是神经血管结构通过各种局部骨孔汇聚的区域,在有限空间内多个关键解剖结构的充血增加了术中并发症的风险。放射治疗是此类病例的一种替代治疗选择,但也可能导致放射毒性。我们报告一例血管性眶尖病变病例,该病变导致视力丧失,经立体定向放射外科治疗后视力得到显著恢复。

https://cdn.ncbi.nlm.nih.gov/pmc/blobs/f713/11727812/4c1086909c43/cureus-0016-00000075702-i03.jpg
https://cdn.ncbi.nlm.nih.gov/pmc/blobs/f713/11727812/3f9eef12b0fa/cureus-0016-00000075702-i01.jpg
https://cdn.ncbi.nlm.nih.gov/pmc/blobs/f713/11727812/ec9b7ae53aca/cureus-0016-00000075702-i02.jpg
https://cdn.ncbi.nlm.nih.gov/pmc/blobs/f713/11727812/4c1086909c43/cureus-0016-00000075702-i03.jpg
https://cdn.ncbi.nlm.nih.gov/pmc/blobs/f713/11727812/3f9eef12b0fa/cureus-0016-00000075702-i01.jpg
https://cdn.ncbi.nlm.nih.gov/pmc/blobs/f713/11727812/ec9b7ae53aca/cureus-0016-00000075702-i02.jpg
https://cdn.ncbi.nlm.nih.gov/pmc/blobs/f713/11727812/4c1086909c43/cureus-0016-00000075702-i03.jpg

相似文献

1
Visual Improvement Following Stereotactic Radiosurgery for Orbital Apex Vascular Tumor.立体定向放射外科治疗眶尖血管肿瘤后的视力改善
Cureus. 2024 Dec 14;16(12):e75702. doi: 10.7759/cureus.75702. eCollection 2024 Dec.
2
Benign orbital apex tumors treated with multisession gamma knife radiosurgery.良性眶尖部肿瘤采用多次伽玛刀放射外科治疗。
Ophthalmology. 2013 Mar;120(3):635-641. doi: 10.1016/j.ophtha.2012.08.015. Epub 2012 Nov 11.
3
Fractionated Stereotactic Radiotherapy for Cavernous Venous Malformations of the Orbital Apex.眼眶尖部海绵状静脉畸形的分次立体定向放射治疗。
Ophthalmic Plast Reconstr Surg. 2019 Jul/Aug;35(4):322-325. doi: 10.1097/IOP.0000000000001239.
4
Stereotactic fractionated radiotherapy for cavernous venous malformations (hemangioma) of the orbit.立体定向分割放疗治疗眼眶海绵状静脉畸形(血管瘤)。
Ophthalmic Plast Reconstr Surg. 2012 Mar-Apr;28(2):96-102. doi: 10.1097/IOP.0b013e31824a48f3.
5
Stereotactic gamma knife radiosurgery for orbital cavernous hemangioma: clinical outcome and visual function protection.立体定向伽玛刀放射外科治疗眼眶海绵状血管瘤:临床疗效及视功能保护
J Neurooncol. 2021 Mar;152(1):183-193. doi: 10.1007/s11060-020-03692-5. Epub 2021 Jan 24.
6
Multisession CyberKnife Radiosurgery for Orbital Cavernous Hemangiomas.多疗程射波刀立体定向放射治疗眼眶海绵状血管瘤
Cureus. 2021 Jan 14;13(1):e12711. doi: 10.7759/cureus.12711.
7
Indocyanine Green-Assisted Endoscopic Transorbital Excision of Lateral Orbital Apex Cavernous Hemangioma.吲哚菁绿辅助内镜经眶外侧尖颅底海绵状血管瘤切除术。
World Neurosurg. 2022 Feb;158:167. doi: 10.1016/j.wneu.2021.11.060. Epub 2021 Nov 20.
8
Multisession Gamma Knife Radiosurgery for Orbital Apex Tumors.多疗程伽玛刀放射外科治疗眶尖肿瘤
World Neurosurg. 2015 Oct;84(4):1005-13. doi: 10.1016/j.wneu.2015.04.042. Epub 2015 Apr 27.
9
Stereotactic radiosurgery for orbital cavernous venous malformation: a single center's experience for 15 years.立体定向放射外科治疗眼眶海绵状静脉畸形:单中心15年经验
Acta Neurochir (Wien). 2021 Feb;163(2):357-364. doi: 10.1007/s00701-020-04575-4. Epub 2020 Sep 15.
10
Orbital apex venous cavernous malformation with optic neuropathy: treatment with multisession gamma knife radiosurgery.眼眶尖顶静脉海绵状畸形伴视神经病变:分次伽玛刀放射外科治疗。
Br J Ophthalmol. 2019 Oct;103(10):1453-1459. doi: 10.1136/bjophthalmol-2018-312893. Epub 2019 Jan 5.

本文引用的文献

1
[Excisional surgery of orbital tumors].[眼眶肿瘤切除术]
Ophthalmologe. 2021 Oct;118(10):995-1003. doi: 10.1007/s00347-021-01386-5. Epub 2021 Apr 23.
2
Multisession CyberKnife Radiosurgery for Orbital Cavernous Hemangiomas.多疗程射波刀立体定向放射治疗眼眶海绵状血管瘤
Cureus. 2021 Jan 14;13(1):e12711. doi: 10.7759/cureus.12711.
3
Surgical Approaches to the Orbit: A Neurosurgical Perspective.眼眶的手术入路:神经外科视角
J Neurol Surg B Skull Base. 2020 Aug;81(4):385-408. doi: 10.1055/s-0040-1713941. Epub 2020 Sep 9.
4
A systematic review of the surgical anatomy of the orbital apex.眼眶尖部的手术解剖学系统评价。
Surg Radiol Anat. 2021 Feb;43(2):169-178. doi: 10.1007/s00276-020-02573-w. Epub 2020 Oct 31.
5
Orbital Apex Syndrome: A Review.眶尖综合征:综述
Eye Brain. 2019 Dec 12;11:63-72. doi: 10.2147/EB.S180190. eCollection 2019.
6
Vision loss associated with orbital surgery - a major review.与眼眶手术相关的视力丧失 - 一项主要综述。
Orbit. 2020 Jun;39(3):197-208. doi: 10.1080/01676830.2019.1658790. Epub 2019 Oct 1.
7
Orbital cavernous haemangioma; profile and outcome of 76 patients managed surgically.眼眶海绵状血管瘤;76例手术治疗患者的概况及预后
Acta Otolaryngol. 2019 Aug;139(8):720-725. doi: 10.1080/00016489.2019.1618913. Epub 2019 Jun 1.
8
Orbital apex venous cavernous malformation with optic neuropathy: treatment with multisession gamma knife radiosurgery.眼眶尖顶静脉海绵状畸形伴视神经病变:分次伽玛刀放射外科治疗。
Br J Ophthalmol. 2019 Oct;103(10):1453-1459. doi: 10.1136/bjophthalmol-2018-312893. Epub 2019 Jan 5.
9
Endoscopic bimanual approach to an intraconal cavernous hemangioma of the orbital apex with vascularized flap reconstruction.内镜下双手操作治疗眶尖圆锥内海绵状血管瘤并带血管蒂皮瓣重建术
Ophthalmic Plast Reconstr Surg. 2014 Jul-Aug;30(4):e104-6. doi: 10.1097/IOP.0b013e3182a22ed1.
10
Fractionated radiotherapy for optic nerve sheath meningiomas.视神经鞘脑膜瘤的分次放疗。
J Clin Neurosci. 2012 Sep;19(9):1210-5. doi: 10.1016/j.jocn.2012.02.010. Epub 2012 Jun 22.