Suppr超能文献

非精原细胞性生殖细胞肿瘤患者的心脏内畸胎瘤

Intracardiac Teratoma in a Patient With Nonseminomatous Germ Cell Tumor.

作者信息

Makarem Adham, Höll Marc Alexander, Rabi Seyed Alireza, Chae Claudia U, Weinberg Ido, Lozano-Calderon Santiago, Salari Keyan, Rosovsky Rachel P, Saylor Philip, Osho Asishana

机构信息

Division of Cardiac Surgery, Massachusetts General Hospital and Harvard Medical School, Boston, Massachusetts, USA.

Division of Cardiology, Massachusetts General Hospital and Harvard Medical School, Boston, Massachusetts, USA.

出版信息

JACC Case Rep. 2025 Jan 2;30(1):102918. doi: 10.1016/j.jaccas.2024.102918. eCollection 2025 Jan 1.

Abstract

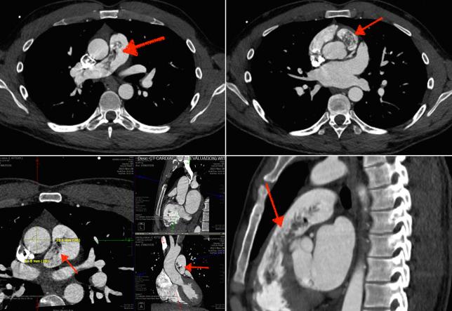
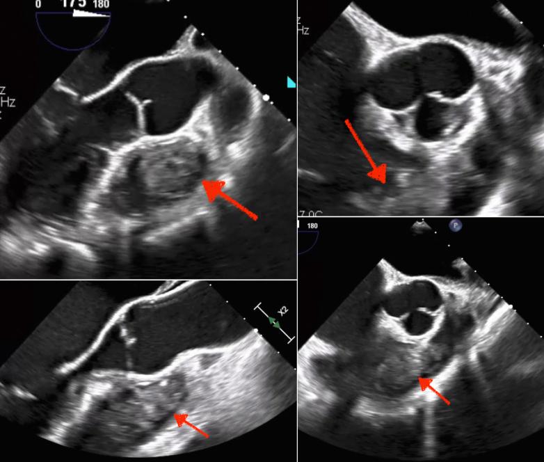
This case report describes the management of a 30-year-old male patient with a history of an advanced nonseminomatous germ cell tumor, hip fracture complicated by extensive deep vein thrombosis and pulmonary embolism, and on apixaban presenting with asymptomatic intracardiac teratoma and abdominopelvic metastases. Multidisciplinary intervention, including successful surgical excision of the intracardiac mass, highlights the importance of coordinated care and vigilant follow-up in optimizing patient outcomes and preventing life-threatening complications.

摘要

本病例报告描述了一名30岁男性患者的治疗情况,该患者有晚期非精原细胞瘤性生殖细胞肿瘤病史,髋部骨折并发广泛深静脉血栓形成和肺栓塞,正在服用阿哌沙班,现出现无症状心脏畸胎瘤和腹盆腔转移。多学科干预,包括成功手术切除心脏肿块,凸显了协调护理和密切随访在优化患者预后及预防危及生命并发症方面的重要性。

https://cdn.ncbi.nlm.nih.gov/pmc/blobs/211e/11733604/d88cdc496df1/ga1.jpg

文献AI研究员

20分钟写一篇综述,助力文献阅读效率提升50倍。

立即体验

用中文搜PubMed

大模型驱动的PubMed中文搜索引擎

马上搜索

文档翻译

学术文献翻译模型,支持多种主流文档格式。

立即体验