Suppr超能文献

一例伴有黄疸的急性腹痛罕见病例。

An Unusual Case of Acute Abdomen With Jaundice.

作者信息

Kakamba John Bukasa, Wadhwani Shruti, Bangolo Ayrton I, Ngandu Aaron, Bepouka Ben, Mbiso Daddy Liombo, Opanga Junior Koke, Basolua Jerry Nsimba, Kakamba Serge, Siasia Aurelien, Bayauli Pascal M, Weissman Simcha, Wadhwani Nikita, M'Buyamba-Kabangu Jean René

机构信息

Endocrinology, University Clinics of Kinshasa, Kinshasa, COD.

Endocrinology, University of Liege, Liege, BEL.

出版信息

Cureus. 2024 Dec 21;16(12):e76155. doi: 10.7759/cureus.76155. eCollection 2024 Dec.

Abstract

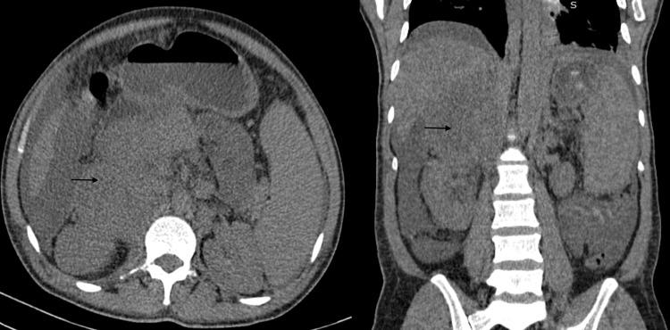
Adrenocortical carcinomas are rare but aggressive tumors that are frequently discovered as incidentalomas. Secretory tumors often lead to endocrine abnormalities, namely cushingoid features, virilization, or feminization. Non-functioning tumors, on the other hand, can be completely dormant with an insidious course or cause malaise, weight loss, abdominal pain, etc. Biochemical testing must be pursued in all patients with incidentalomas to detect pheochromocytoma, excess cortisol, or aldosterone secretion. In this report, we describe the case of a 37-year-old man who was lost to follow-up for two years following diagnosis with adrenal incidentaloma. This led to delayed diagnosis of adrenal carcinoma and eventual mortality. Periodic surveillance of adrenal incidentalomas is therefore imperative for timely interception of malignant lesions.

摘要

肾上腺皮质癌罕见但具有侵袭性,常作为意外瘤被发现。分泌性肿瘤常导致内分泌异常,即库欣样特征、男性化或女性化。另一方面,无功能肿瘤可能完全潜伏,病程隐匿,或引起不适、体重减轻、腹痛等。对于所有意外瘤患者都必须进行生化检测,以检测嗜铬细胞瘤、皮质醇过量或醛固酮分泌情况。在本报告中,我们描述了一名37岁男性的病例,他在被诊断为肾上腺意外瘤后失访两年。这导致肾上腺癌的诊断延迟并最终死亡。因此,对肾上腺意外瘤进行定期监测对于及时发现恶性病变至关重要。

https://cdn.ncbi.nlm.nih.gov/pmc/blobs/267c/11745834/51587d02a914/cureus-0016-00000076155-i01.jpg

文献检索

告别复杂PubMed语法,用中文像聊天一样搜索,搜遍4000万医学文献。AI智能推荐,让科研检索更轻松。

立即免费搜索

文件翻译

保留排版,准确专业,支持PDF/Word/PPT等文件格式,支持 12+语言互译。

免费翻译文档

深度研究

AI帮你快速写综述,25分钟生成高质量综述,智能提取关键信息,辅助科研写作。

立即免费体验