• 文献检索
  • 文档翻译
  • 深度研究
  • 学术资讯
  • Suppr Zotero 插件Zotero 插件
  • 邀请有礼
  • 套餐&价格
  • 历史记录
应用&插件
Suppr Zotero 插件Zotero 插件浏览器插件Mac 客户端Windows 客户端微信小程序
定价
高级版会员购买积分包购买API积分包
服务
文献检索文档翻译深度研究API 文档MCP 服务
关于我们
关于 Suppr公司介绍联系我们用户协议隐私条款
关注我们

Suppr 超能文献

核心技术专利:CN118964589B侵权必究
粤ICP备2023148730 号-1Suppr @ 2026

文献检索

告别复杂PubMed语法,用中文像聊天一样搜索,搜遍4000万医学文献。AI智能推荐,让科研检索更轻松。

立即免费搜索

文件翻译

保留排版,准确专业,支持PDF/Word/PPT等文件格式,支持 12+语言互译。

免费翻译文档

深度研究

AI帮你快速写综述,25分钟生成高质量综述,智能提取关键信息,辅助科研写作。

立即免费体验

一例十二指肠空肠曲肿瘤的罕见病例报告及文献系统综述

An Unusual Case Report of Duodenojejunal Flexure Tumor With a Systematic Review of the Literature.

作者信息

Choudhary Arushi, Patro Shubhransu, Mohapatra Vedavyas, Das Swati, Mishra Akruti, Misra Purusottam, Kossuru Sham Charan, Nath Preetam, Giri Suprabhat

机构信息

General Medicine, Kalinga Institute of Medical Sciences, Bhubaneswar, IND.

Surgical Gastroenterology, Kalinga Institute of Medical Sciences, Bhubaneswar, IND.

出版信息

Cureus. 2024 Dec 22;16(12):e76196. doi: 10.7759/cureus.76196. eCollection 2024 Dec.

DOI:10.7759/cureus.76196
PMID:39840183
原文链接:https://pmc.ncbi.nlm.nih.gov/articles/PMC11750052/
Abstract

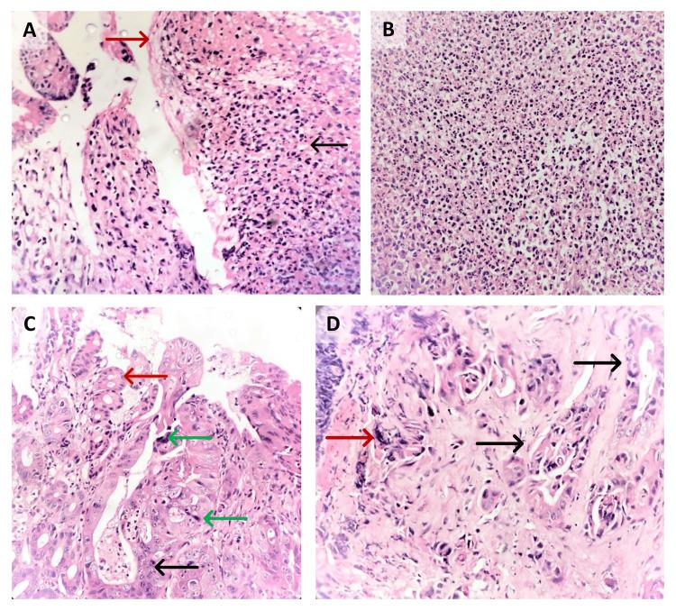
The small intestine is the longest segment of the gastrointestinal (GI) tract, but cancers in the small intestine are infrequent. The duodenojejunal (DJ) flexure is an uncommon site for tumors, and those located in these sites are difficult to identify and manage properly. Their rarity, along with ambiguous symptoms that can be readily misattributed to milder conditions, results in a delayed diagnosis when the tumors have significantly advanced. We described the case report of a middle-aged woman presenting with features of intestinal obstruction with gastrointestinal bleeding, showing enteroenteric fistula on enteroscopy and cross-sectional imaging, which was later diagnosed as a case of adenocarcinoma treated with surgical resection. We also systematically reviewed the current literature on DJ flexure tumors and compiled data based on various clinical presentations, radiological findings, associated syndromes, management, and outcomes.

摘要

小肠是胃肠道(GI)中最长的一段,但小肠癌并不常见。十二指肠空肠(DJ)曲是肿瘤的罕见部位,位于这些部位的肿瘤难以正确识别和处理。它们的罕见性,以及可能容易被误诊为较轻病症的模糊症状,导致肿瘤显著进展时诊断延迟。我们描述了一例中年女性的病例报告,该患者表现出肠梗阻伴胃肠道出血的特征,在肠镜检查和横断面成像中显示肠肠瘘,后来被诊断为腺癌并接受了手术切除治疗。我们还系统地回顾了关于DJ曲肿瘤的当前文献,并根据各种临床表现、影像学发现、相关综合征、治疗和结果汇编了数据。

https://cdn.ncbi.nlm.nih.gov/pmc/blobs/d78d/11750052/eb6ebfce37b3/cureus-0016-00000076196-i04.jpg
https://cdn.ncbi.nlm.nih.gov/pmc/blobs/d78d/11750052/e13cffcbc475/cureus-0016-00000076196-i01.jpg
https://cdn.ncbi.nlm.nih.gov/pmc/blobs/d78d/11750052/5614c99a3ec6/cureus-0016-00000076196-i02.jpg
https://cdn.ncbi.nlm.nih.gov/pmc/blobs/d78d/11750052/3a802b8e9a65/cureus-0016-00000076196-i03.jpg
https://cdn.ncbi.nlm.nih.gov/pmc/blobs/d78d/11750052/eb6ebfce37b3/cureus-0016-00000076196-i04.jpg
https://cdn.ncbi.nlm.nih.gov/pmc/blobs/d78d/11750052/e13cffcbc475/cureus-0016-00000076196-i01.jpg
https://cdn.ncbi.nlm.nih.gov/pmc/blobs/d78d/11750052/5614c99a3ec6/cureus-0016-00000076196-i02.jpg
https://cdn.ncbi.nlm.nih.gov/pmc/blobs/d78d/11750052/3a802b8e9a65/cureus-0016-00000076196-i03.jpg
https://cdn.ncbi.nlm.nih.gov/pmc/blobs/d78d/11750052/eb6ebfce37b3/cureus-0016-00000076196-i04.jpg

相似文献

1
An Unusual Case Report of Duodenojejunal Flexure Tumor With a Systematic Review of the Literature.一例十二指肠空肠曲肿瘤的罕见病例报告及文献系统综述
Cureus. 2024 Dec 22;16(12):e76196. doi: 10.7759/cureus.76196. eCollection 2024 Dec.
2
Duodenojejunal flexure tumors: surgical difficulties with case series.十二指肠空肠曲肿瘤:手术难点及病例系列
J Gastrointest Oncol. 2015 Jun;6(3):280-6. doi: 10.3978/j.issn.2078-6891.2015.007.
3
[The duodenojejunal flexure--a gap in the routine diagnosis of gastrointestinal bleeding].十二指肠空肠曲——胃肠道出血常规诊断中的一个盲点
Dtsch Med Wochenschr. 1999 Feb 12;124(6):146-8. doi: 10.1055/s-2007-1024256.
4
Laparoscopic treatment of gastrointestinal stromal tumors located at the duodenojejunal junction.腹腔镜治疗位于十二指肠空肠交界处的胃肠道间质瘤。
SAGE Open Med Case Rep. 2020 Jul 2;8:2050313X20934688. doi: 10.1177/2050313X20934688. eCollection 2020.
5
Diverticular disease of the small bowel: a rare cause of the duodenojejunal flexure obstruction (a case report).小肠憩室病:十二指肠空肠曲梗阻的罕见病因(病例报告)。
Pan Afr Med J. 2021 Feb 24;38:213. doi: 10.11604/pamj.2021.38.213.27575. eCollection 2021.
6
Primary small intestinal adenocarcinoma diagnosed by endoscopic examination prior to operation.术前经内镜检查诊断的原发性小肠腺癌。
Gastroenterol Jpn. 1989 Aug;24(4):402-6. doi: 10.1007/BF02774347.
7
Ectopic Pancreas in the Duodenojejunal Flexure-Computed Tomographic and Endoscopic Ultrasonographic Images.十二指肠空肠曲处的异位胰腺——计算机断层扫描和内镜超声图像
Indian J Surg. 2015 Aug;77(4):332-4. doi: 10.1007/s12262-015-1284-x. Epub 2015 May 20.
8
[Safety analysis of definitive surgery for chronic radiation intestinal injury].[慢性放射性肠损伤确定性手术的安全性分析]
Zhonghua Wei Chang Wai Ke Za Zhi. 2021 Nov 25;24(11):969-976. doi: 10.3760/cma.j.cn441530-20210814-00330.
9
A rarer cause of Bouveret syndrome - A case report.布韦雷综合征的一种罕见病因——病例报告。
Int J Surg Case Rep. 2023 Apr;105:108029. doi: 10.1016/j.ijscr.2023.108029. Epub 2023 Mar 22.
10
Gastrointestinal stromal tumors (GIST) related emergencies.胃肠道间质瘤(GIST)相关急症。
Int J Surg. 2014;12(4):269-80. doi: 10.1016/j.ijsu.2014.02.004. Epub 2014 Feb 12.

本文引用的文献

1
Expecting the Unexpected: Adenocarcinoma of Duodenojejunal Flexure in a 15-Year-Old.意料之外:一名15岁青少年的十二指肠空肠曲腺癌
Indian J Surg Oncol. 2023 Sep;14(3):749-751. doi: 10.1007/s13193-023-01767-z. Epub 2023 May 9.
2
Updates in the diagnosis and management of small-bowel tumors.小肠肿瘤的诊断和治疗进展。
Best Pract Res Clin Gastroenterol. 2023 Jun-Aug;64-65:101860. doi: 10.1016/j.bpg.2023.101860. Epub 2023 Aug 12.
3
Incidence, Risk Factors, and Temporal Trends of Small Intestinal Cancer: A Global Analysis of Cancer Registries.
小肠癌的发病率、风险因素和时间趋势:癌症登记处的全球分析。
Gastroenterology. 2023 Sep;165(3):600-612. doi: 10.1053/j.gastro.2023.05.043. Epub 2023 Jun 3.
4
Incidental Uptake of 68Ga-DOTATATE Gastrointestinal Stromal Tumor of Duodenum.十二指肠胃肠道间质瘤意外摄取 68Ga-DOTATATE
Clin Nucl Med. 2022 Mar 1;47(3):e289-e290. doi: 10.1097/RLU.0000000000004036.
5
Gastrointestinal stromal tumours: ESMO-EURACAN-GENTURIS Clinical Practice Guidelines for diagnosis, treatment and follow-up.胃肠道间质瘤:ESMO-EURACAN-GENTURIS诊断、治疗及随访临床实践指南
Ann Oncol. 2022 Jan;33(1):20-33. doi: 10.1016/j.annonc.2021.09.005. Epub 2021 Sep 21.
6
The PRISMA 2020 statement: an updated guideline for reporting systematic reviews.《PRISMA 2020声明:报告系统评价的更新指南》
Syst Rev. 2021 Mar 29;10(1):89. doi: 10.1186/s13643-021-01626-4.
7
Laparoscopic treatment of gastrointestinal stromal tumors located at the duodenojejunal junction.腹腔镜治疗位于十二指肠空肠交界处的胃肠道间质瘤。
SAGE Open Med Case Rep. 2020 Jul 2;8:2050313X20934688. doi: 10.1177/2050313X20934688. eCollection 2020.
8
Duodenojejunal intussusception secondary to primary gastrointestinal stromal tumor: A case report.原发性胃肠道间质瘤继发十二指肠空肠套叠:一例报告
Int J Surg Case Rep. 2019;64:15-19. doi: 10.1016/j.ijscr.2019.09.041. Epub 2019 Sep 30.
9
Small Bowel Adenocarcinoma, Version 1.2020, NCCN Clinical Practice Guidelines in Oncology.小 肠 腺 癌,版 本 1.2020,美 国 国 家 综 合 肿 瘤 网(NCCN)临 床 实 践 指 南 中 医 学 分 册。
J Natl Compr Canc Netw. 2019 Sep 1;17(9):1109-1133. doi: 10.6004/jnccn.2019.0043.
10
Cancer risk in patients with Peutz-Jeghers syndrome: A retrospective cohort study of 336 cases.黑斑息肉综合征患者的癌症风险:一项对336例病例的回顾性队列研究。
Tumour Biol. 2017 Jun;39(6):1010428317705131. doi: 10.1177/1010428317705131.