Suppr超能文献

姜黄-黑胡椒-蜂蜜纳米乳剂配方及其对大鼠乙醇诱导型胃溃疡的抗溃疡作用评估

Turmeric-black pepper-honey nanoemulsion formulation and antiulcerogenic effect evaluation against ethanol-induced gastric ulcers in rats.

作者信息

Adlia Amirah, Aslan Cynthiana Christabella, Safitri Lia, Adnyana I Ketut

机构信息

School of Pharmacy, Bandung Institute of Technology, Bandung, Indonesia.

出版信息

PLoS One. 2025 Jan 22;20(1):e0317899. doi: 10.1371/journal.pone.0317899. eCollection 2025.

Abstract

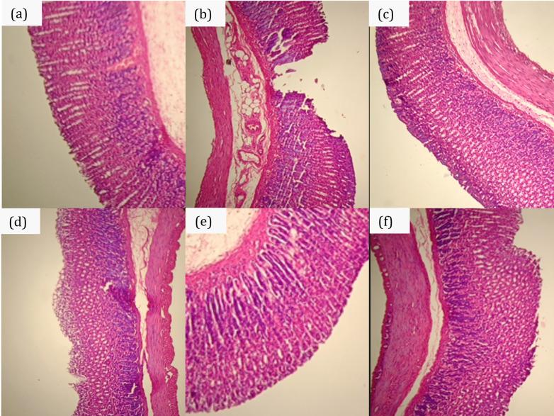
Gastric ulcer is a common disorder of the digestive system. The combination of turmeric and honey is known to treat stomach ulcers. However, curcumin, an active component in turmeric, has limitations, i.e., poor water solubility and low oral bioavailability. Therefore, turmeric and honey were formulated into a nanoemulsion with black pepper to enhance curcumin bioavailability. The study followed a systematic approach to optimize the nanoemulsion formula, determine stability, and evaluate ulcer healing activity in rats with ethanol-induced gastric ulcers. Nanoemulsion was prepared using a low-energy emulsification method called emulsion phase inversion (EPI). Two stability evaluations were carried out, i.e., storage and freeze-thaw stability tests. The organoleptic, droplet size, polydispersity index, pH, viscosity, and curcumin content of the nanoemulsion were evaluated. Male Wistar albino rats were induced with 96% ethanol for six days. The rats were divided into six groups, i.e., healthy control, ulcerated control, omeprazole, two different doses of turmeric, honey, and black pepper nanoemulsion (NTBH1 and NTBH2), and turmeric and honey nanoemulsion (NTH). The antiulcer activity was determined by measuring the ulcer area, ulcer index, curative index, ulcer severity score, and histology. The best formula with the smallest droplet size, i.e., 144.6±3.8 nm, was obtained from the nanoemulsion using Tween 80 as surfactant, glycerin as cosolvent, and sodium alginate as viscosity enhancer. The result showed that the nanoemulsion was stable after being stored at 25 and 40°C for four weeks and after six cycles of freeze-thaw test. The ulcer index of the ulcerated rats from the lowest to the highest, i.e., NTBH2, omeprazole, NTH, and NTBH1. In conclusion, the nanoemulsion developed in this study containing turmeric, honey, and black pepper holds promising potential in treating gastric ulcers, offering a hopeful outlook for future treatments.

摘要

胃溃疡是消化系统的一种常见疾病。已知姜黄和蜂蜜的组合可治疗胃溃疡。然而,姜黄中的活性成分姜黄素存在局限性,即水溶性差和口服生物利用度低。因此,将姜黄、蜂蜜与黑胡椒制成纳米乳剂以提高姜黄素的生物利用度。该研究采用系统方法优化纳米乳剂配方、确定稳定性,并评估乙醇诱导的胃溃疡大鼠的溃疡愈合活性。纳米乳剂采用一种称为乳液相转化(EPI)的低能乳化方法制备。进行了两项稳定性评估,即储存稳定性和冻融稳定性测试。对纳米乳剂的感官特性、液滴大小、多分散指数、pH值、粘度和姜黄素含量进行了评估。雄性Wistar白化大鼠用96%乙醇诱导六天。大鼠分为六组,即健康对照组、溃疡对照组、奥美拉唑组、两种不同剂量的姜黄、蜂蜜和黑胡椒纳米乳剂组(NTBH1和NTBH2),以及姜黄和蜂蜜纳米乳剂组(NTH)。通过测量溃疡面积、溃疡指数、治愈指数、溃疡严重程度评分和组织学来确定抗溃疡活性。使用吐温80作为表面活性剂、甘油作为助溶剂、海藻酸钠作为粘度增强剂,从纳米乳剂中获得了液滴尺寸最小的最佳配方,即144.6±3.8 nm。结果表明,纳米乳剂在25℃和40℃储存四周后以及经过六个冻融循环测试后是稳定的。溃疡大鼠的溃疡指数从低到高依次为NTBH2、奥美拉唑、NTH和NTBH1。总之,本研究开发的含有姜黄、蜂蜜和黑胡椒的纳米乳剂在治疗胃溃疡方面具有广阔的潜力,为未来的治疗提供了希望。

https://cdn.ncbi.nlm.nih.gov/pmc/blobs/0c97/11753650/1b7f9a66bfee/pone.0317899.g001.jpg

文献检索

告别复杂PubMed语法,用中文像聊天一样搜索,搜遍4000万医学文献。AI智能推荐,让科研检索更轻松。

立即免费搜索

文件翻译

保留排版,准确专业,支持PDF/Word/PPT等文件格式,支持 12+语言互译。

免费翻译文档

深度研究

AI帮你快速写综述,25分钟生成高质量综述,智能提取关键信息,辅助科研写作。

立即免费体验