Suppr超能文献

多学科治疗对于伴有脑外转移的胶质母细胞瘤是必要的。

Multidisciplinary treatment is necessary in glioblastoma with extracerebral metastases.

作者信息

Pepper Niklas B, Steike David R, Yppärilä-Wolters Heidi, Müther Michael, Wiewrodt Dorothee, Berssenbrügge Hendrik, Grauer Oliver, Lenz Philipp, Stummer Walter, Eich Hans T

机构信息

Department of Radiation Oncology, University Hospital of Muenster, Albert-Schweitzer-Campus 1, Building A1, 48149, Muenster, Germany.

Department of Neurosurgery, University Hospital Muenster, Muenster, Germany.

出版信息

Strahlenther Onkol. 2025 Apr;201(4):420-430. doi: 10.1007/s00066-024-02359-8. Epub 2025 Jan 22.

Abstract

PURPOSE

While glioblastoma is the most common malignant brain tumor in adults, extracerebral manifestations are very rare in this highly aggressive disease with poor prognosis.

METHODS

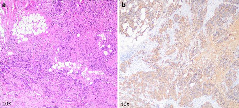
We conducted a systematic literature review in the PubMed database and complemented the data by inclusion of a case treated in our clinic. In this context, we report on a 60-year-old woman with a right frontal glioblastoma, IDH wildtype, MGMT methylated.

RESULTS

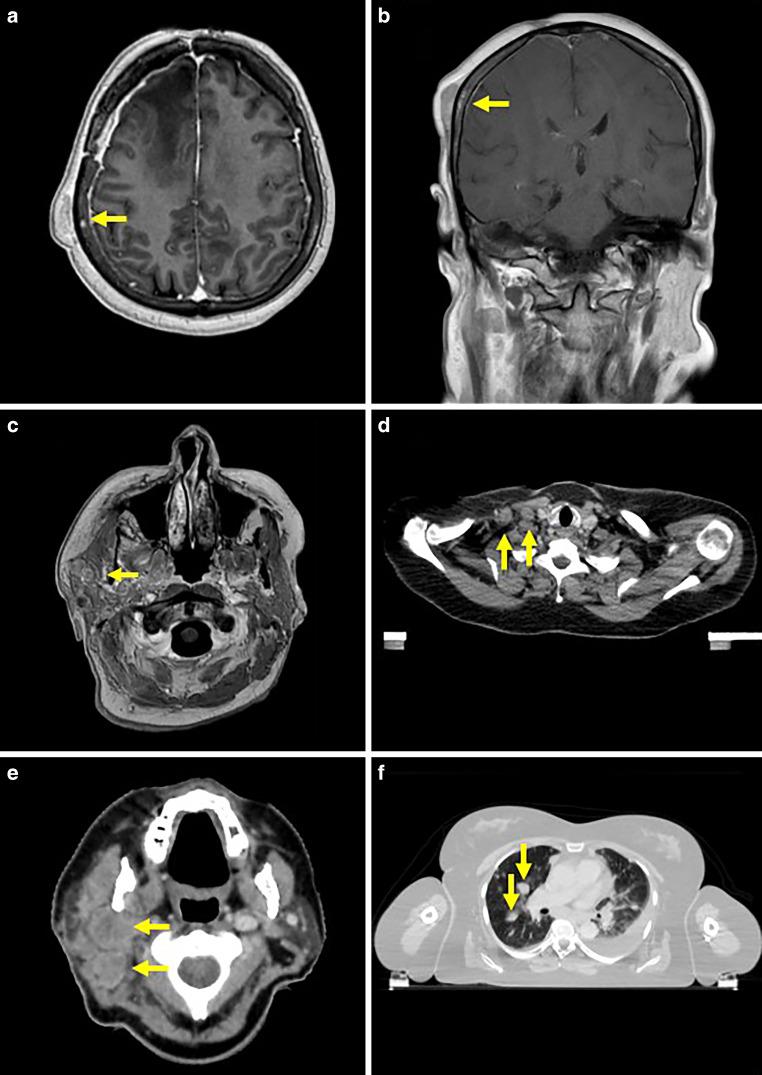
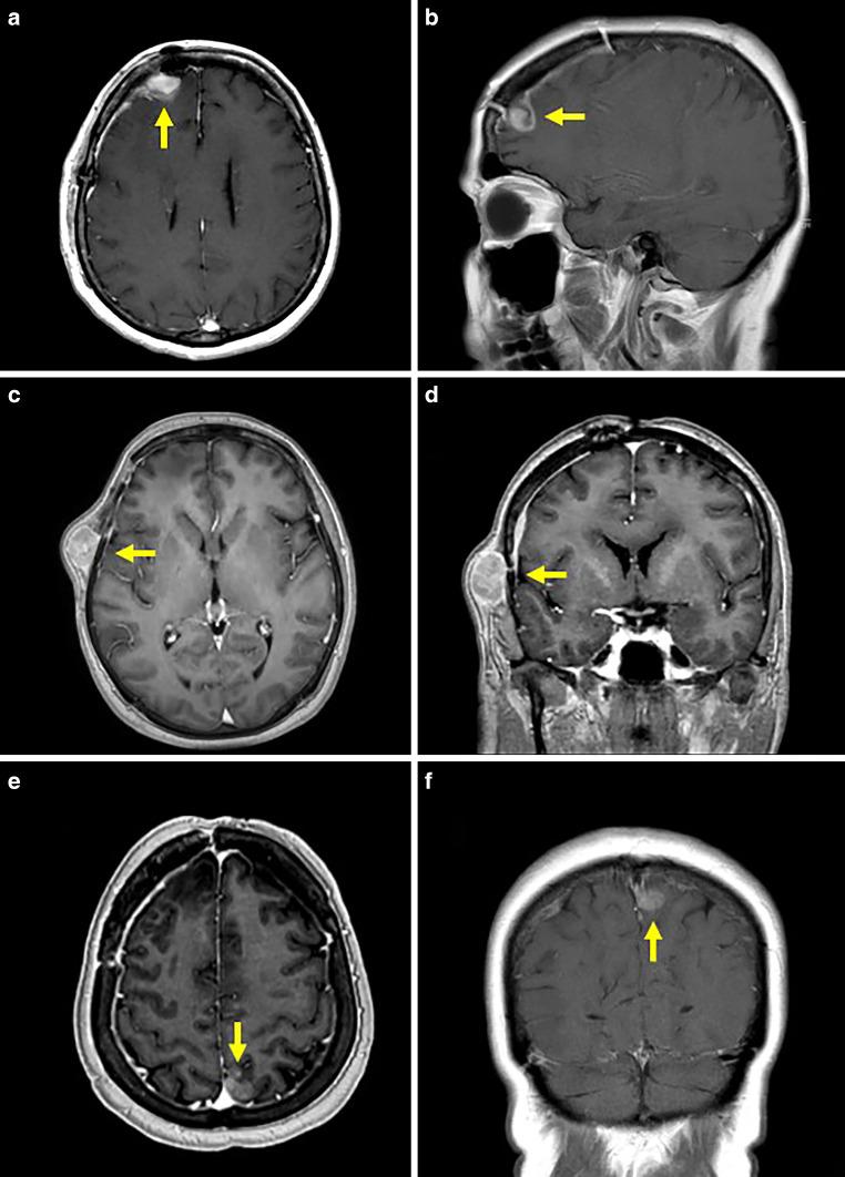
Six months after initial diagnosis and primary treatment, there was extensive local intracranial progression with additional extension into the subcutaneous and frontotemporal cranial bones. Despite continuation of multimodal treatment, further extracerebral manifestations occurred 11 months after the initial diagnosis, both in the cranial bone as well as metastases in the right parotid gland, cervical lymph nodes, and lungs. While local radiotherapy enabled the cerebral lesions to be controlled, the patient's clinical condition deteriorated rapidly despite simultaneous systemic therapy. The treatment had to be discontinued, and the patient died 5 weeks after confirmation of the multilocal extracerebral manifestations and a total of 12 months after initial diagnosis.

CONCLUSION

Extracerebral manifestations of glioblastoma require close collaboration and joint decision-making with the patient, with an emphasis on palliative strategies.

摘要

目的

胶质母细胞瘤是成人中最常见的恶性脑肿瘤,在这种预后不良的高度侵袭性疾病中,脑外表现非常罕见。

方法

我们在PubMed数据库中进行了系统的文献综述,并纳入了我们诊所治疗的一个病例以补充数据。在此背景下,我们报告了一名60岁女性,患有右侧额叶胶质母细胞瘤,异柠檬酸脱氢酶(IDH)野生型,O6-甲基鸟嘌呤-DNA甲基转移酶(MGMT)甲基化。

结果

初次诊断和初次治疗6个月后,颅内出现广泛的局部进展,并进一步扩展至皮下和额颞颅骨。尽管继续进行多模式治疗,但初次诊断11个月后出现了更多的脑外表现,包括颅骨以及右侧腮腺、颈部淋巴结和肺部的转移。虽然局部放疗使脑部病变得到控制,但尽管同时进行了全身治疗,患者的临床状况仍迅速恶化。治疗不得不中断,患者在确认多部位脑外表现后5周死亡,初次诊断后共计12个月。

结论

胶质母细胞瘤的脑外表现需要与患者密切合作并共同决策,重点是姑息治疗策略。

https://cdn.ncbi.nlm.nih.gov/pmc/blobs/9c90/11928418/00ecf9548be6/66_2024_2359_Fig1_HTML.jpg

文献检索

告别复杂PubMed语法,用中文像聊天一样搜索,搜遍4000万医学文献。AI智能推荐,让科研检索更轻松。

立即免费搜索

文件翻译

保留排版,准确专业,支持PDF/Word/PPT等文件格式,支持 12+语言互译。

免费翻译文档

深度研究

AI帮你快速写综述,25分钟生成高质量综述,智能提取关键信息,辅助科研写作。

立即免费体验