Suppr超能文献

肾移植受者中抗结核治疗诱发的急性肝衰竭:一例报告

Antituberculosis Therapy-Induced Acute Liver Failure in a Renal Transplant Recipient: A Case Report.

作者信息

Gajić Selena, Bontić Ana, Kezić Aleksandra

机构信息

Nephrology, University Clinical Center of Serbia, Belgrade, SRB.

出版信息

Cureus. 2024 Dec 23;16(12):e76263. doi: 10.7759/cureus.76263. eCollection 2024 Dec.

Abstract

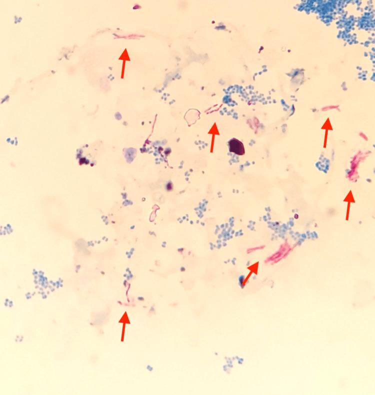
To prevent organ rejection, renal transplant (RT) recipients must take immunosuppressive medicines, which make them more susceptible to infections such as tuberculosis (TB). Hepatotoxicity, which can vary from asymptomatic increased liver enzymes to severe liver failure, is the most prevalent side effect of first-line antituberculosis (AT) drugs. Treating TB in RT patients involves unique concerns since AT medications might interact with immunosuppressive medications, potentially reducing efficacy or increasing toxicity. A 65-year-old RT recipient was diagnosed with active pulmonary TB 18 years after renal transplantation. He had drug-induced acute liver failure after initiating AT therapy, but his liver function improved after discontinuing AT medications and receiving supportive care.

摘要

为预防器官排斥反应,肾移植(RT)受者必须服用免疫抑制药物,这使他们更容易感染诸如结核病(TB)等疾病。肝毒性是一线抗结核(AT)药物最常见的副作用,其表现可从无症状的肝酶升高到严重肝功能衰竭不等。在RT患者中治疗结核病涉及一些独特的问题,因为AT药物可能与免疫抑制药物相互作用,从而可能降低疗效或增加毒性。一名65岁的肾移植受者在肾移植18年后被诊断为活动性肺结核。他在开始抗结核治疗后出现药物性急性肝衰竭,但在停用抗结核药物并接受支持治疗后肝功能有所改善。

https://cdn.ncbi.nlm.nih.gov/pmc/blobs/e1b4/11753582/6617b09cafa0/cureus-0016-00000076263-i01.jpg

文献AI研究员

20分钟写一篇综述,助力文献阅读效率提升50倍。

立即体验

用中文搜PubMed

大模型驱动的PubMed中文搜索引擎

马上搜索

文档翻译

学术文献翻译模型,支持多种主流文档格式。

立即体验