Chen Fang, Wang Yang, Haishaer Dina, Bai Feng
People's Hospital of China Medical University, Department of Gynecology, People's Hospital of Liaoning Province, Shenyang, China.
Cancer Hospital of China Medical University, Department of Gynecology, Liaoning Cancer Hospital & Institute, Shenyang, China.
Gynecol Oncol Rep. 2024 Dec 31;57:101674. doi: 10.1016/j.gore.2024.101674. eCollection 2025 Feb.
Keratoacanthoma is a relatively rare skin tumor, with vulvar keratoacanthoma being even more uncommon. Although the majority of keratoacanthomas exhibit a benign course, a subset of cases may show features of malignant potential, such as marginal invasion and recurrence.
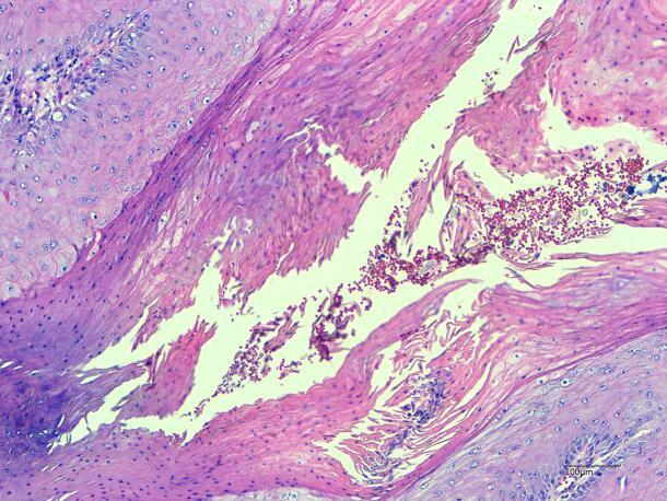
An 82-year-old female presented with a rapidly growing exophytic lesion on the left vulva, measuring 1.5 cm in diameter, accompanied by pruritus. The lesion had been present for two months. The patient underwent vulvar mass excision, and postoperative pathology revealed squamous cell hyperplasia with glassy cytoplasm and no significant cellular atypia. The surgical margins were clear. Three years later, the tumor recurred with disordered growth.
In terms of histological and clinical presentation, keratoacanthoma may overlap with classical well-differentiated squamous cell carcinoma. In rare cases, certain atypical keratoacanthomas may exhibit intravascular and perineural invasion, along with lymph node metastasis. By sharing our treatment experience of a patient with recurrent vulvar keratoacanthoma following surgery, we aim to provide a cautionary perspective for the clinical management of such cases.
角化棘皮瘤是一种相对罕见的皮肤肿瘤,外阴角化棘皮瘤更为少见。尽管大多数角化棘皮瘤呈良性病程,但一部分病例可能表现出恶性潜能的特征,如边缘浸润和复发。
一名82岁女性患者,左侧外阴出现一个迅速生长的外生性病变,直径1.5厘米,伴有瘙痒。该病变已存在两个月。患者接受了外阴肿物切除术,术后病理显示为鳞状细胞增生,细胞质透明,无明显细胞异型性。手术切缘清晰。三年后,肿瘤复发且生长紊乱。
在组织学和临床表现方面,角化棘皮瘤可能与经典的高分化鳞状细胞癌重叠。在罕见情况下,某些非典型角化棘皮瘤可能表现出血管内和神经周围浸润以及淋巴结转移。通过分享我们对一名术后复发性外阴角化棘皮瘤患者的治疗经验,我们旨在为这类病例的临床管理提供一个警示性的观点。