• 文献检索
  • 文档翻译
  • 深度研究
  • 学术资讯
  • Suppr Zotero 插件Zotero 插件
  • 邀请有礼
  • 套餐&价格
  • 历史记录
应用&插件
Suppr Zotero 插件Zotero 插件浏览器插件Mac 客户端Windows 客户端微信小程序
定价
高级版会员购买积分包购买API积分包
服务
文献检索文档翻译深度研究API 文档MCP 服务
关于我们
关于 Suppr公司介绍联系我们用户协议隐私条款
关注我们

Suppr 超能文献

核心技术专利:CN118964589B侵权必究
粤ICP备2023148730 号-1Suppr @ 2026

文献检索

告别复杂PubMed语法,用中文像聊天一样搜索,搜遍4000万医学文献。AI智能推荐,让科研检索更轻松。

立即免费搜索

文件翻译

保留排版,准确专业,支持PDF/Word/PPT等文件格式,支持 12+语言互译。

免费翻译文档

深度研究

AI帮你快速写综述,25分钟生成高质量综述,智能提取关键信息,辅助科研写作。

立即免费体验

自身免疫性疾病背景下的原发性皮肤甲氨蝶呤相关T细胞淋巴增殖性疾病:病例系列及文献综述

Primary Cutaneous Methotrexate-Associated T-Cell Lymphoproliferative Disorder in the Setting of Autoimmune Disease: A Case Series and Review of the Literature.

作者信息

Nocco Sarah, Magro Cynthia

机构信息

Dermatology, New York Presbyterian/ Weill Cornell Medicine, New York, NY; and.

Pathology and Laboratory Medicine, Weill Cornell Medicine, New York, NY.

出版信息

Am J Dermatopathol. 2025 Feb 1;47(2):145-152. doi: 10.1097/DAD.0000000000002905.

DOI:10.1097/DAD.0000000000002905
PMID:39851907
原文链接:https://pmc.ncbi.nlm.nih.gov/articles/PMC11776889/
Abstract

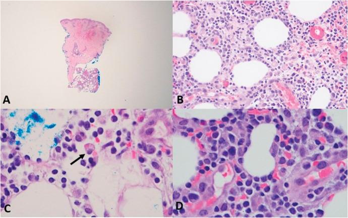
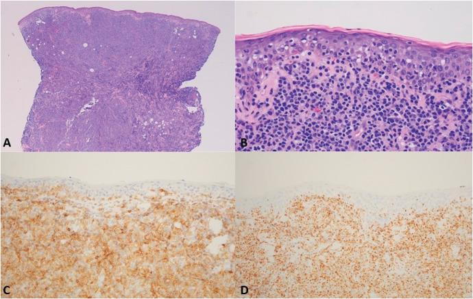
Methotrexate (MTX), an antimetabolite targeting certain autoimmune conditions and various hematologic malignancies, has been associated with iatrogenic lymphoproliferative disease (LPD) primarily of B-cell lineage. Less commonly are T-cell neoplasms where primary skin involvement is considered rare. Three cases were encountered in the medical practice of one of the authors. The patients ranged in age from 38 years to 99 years (2 women and 1 man) with 2 having rheumatoid arthritis and 1 having ankylosing spondylitis. All 3 patients received MTX. The cases included subcutaneous peripheral T-cell lymphoma not otherwise specified (NOS) (1 patient), mycosis fungoides (1 patient), and a primary aggressive epidermotropic cytotoxic T-cell lymphoma (1 patient) that proved to be fatal. One patient had spontaneous regression following MTX withdrawal; she later developed a recurrence while off MTX. Two patients died, 1 of unrelated causes and 1 of lymphoma. Seven previously reported cases included subcutaneous panniculitis-like T-cell lymphoma (2 cases), primary cutaneous CD4+ LPD (2 cases), peripheral T-cell lymphoma (NOS) (1 case), anaplastic large cell lymphoma (1 case), and peripheral T-cell lymphoma localized to fat (1 case). Regression without recurrence occurred in 6 of the 7 patients with MTX withdrawal. The patients were on the MTX for an average of 4 years and had a median age of 61 years with a slight dominance of men over women. Three of the 7 cases showed Epstein-Barr encoding region (EBER) positivity while the 3 cases reported in this series were negative. MTX-associated T-cell LPD involves older patients on long-term MTX where EBER positivity is more frequent than extracutaneous MTX-associated T-cell LPD. A spectrum of classic forms of CTCL is seen with subcutaneous involvement representing a significant percentage of cases. Regression with MTX withdrawal occurs although not in every case.

摘要

甲氨蝶呤(MTX)是一种抗代谢药物,用于治疗某些自身免疫性疾病和各种血液系统恶性肿瘤,它与主要为B细胞谱系的医源性淋巴增殖性疾病(LPD)有关。T细胞肿瘤较少见,其中原发性皮肤受累被认为罕见。本文作者之一在医疗实践中遇到了3例。患者年龄在38岁至99岁之间(2名女性和1名男性),2例患有类风湿性关节炎,1例患有强直性脊柱炎。所有3例患者均接受了MTX治疗。这些病例包括皮下未另行特指的外周T细胞淋巴瘤(NOS)(1例)、蕈样肉芽肿(1例)和1例原发性侵袭性亲表皮细胞毒性T细胞淋巴瘤(1例),后者被证明是致命的。1例患者在停用MTX后自发缓解;她后来在未使用MTX时复发。2例患者死亡,1例死于无关原因,1例死于淋巴瘤。先前报道的7例病例包括皮下脂膜炎样T细胞淋巴瘤(2例)、原发性皮肤CD4 + LPD(2例)、外周T细胞淋巴瘤(NOS)(1例)、间变性大细胞淋巴瘤(1例)和局限于脂肪的外周T细胞淋巴瘤(1例)。7例患者中有6例在停用MTX后缓解且未复发。患者平均使用MTX 4年,中位年龄为61岁,男性略多于女性。7例病例中有3例显示爱泼斯坦 - 巴尔编码区(EBER)阳性,而本系列报道的3例为阴性。MTX相关的T细胞LPD累及长期使用MTX的老年患者,其中EBER阳性比皮肤外MTX相关的T细胞LPD更常见。可见一系列经典形式的皮肤T细胞淋巴瘤,其中皮下受累占相当比例的病例。尽管并非每个病例都如此,但停用MTX后会出现缓解。

https://cdn.ncbi.nlm.nih.gov/pmc/blobs/cb43/11776889/52869ab1b142/ajd-47-145-g005.jpg
https://cdn.ncbi.nlm.nih.gov/pmc/blobs/cb43/11776889/00724695392d/ajd-47-145-g001.jpg
https://cdn.ncbi.nlm.nih.gov/pmc/blobs/cb43/11776889/cdc024041494/ajd-47-145-g002.jpg
https://cdn.ncbi.nlm.nih.gov/pmc/blobs/cb43/11776889/43e2915c06b7/ajd-47-145-g003.jpg
https://cdn.ncbi.nlm.nih.gov/pmc/blobs/cb43/11776889/0ff72a43c4b9/ajd-47-145-g004.jpg
https://cdn.ncbi.nlm.nih.gov/pmc/blobs/cb43/11776889/52869ab1b142/ajd-47-145-g005.jpg
https://cdn.ncbi.nlm.nih.gov/pmc/blobs/cb43/11776889/00724695392d/ajd-47-145-g001.jpg
https://cdn.ncbi.nlm.nih.gov/pmc/blobs/cb43/11776889/cdc024041494/ajd-47-145-g002.jpg
https://cdn.ncbi.nlm.nih.gov/pmc/blobs/cb43/11776889/43e2915c06b7/ajd-47-145-g003.jpg
https://cdn.ncbi.nlm.nih.gov/pmc/blobs/cb43/11776889/0ff72a43c4b9/ajd-47-145-g004.jpg
https://cdn.ncbi.nlm.nih.gov/pmc/blobs/cb43/11776889/52869ab1b142/ajd-47-145-g005.jpg

相似文献

1
Primary Cutaneous Methotrexate-Associated T-Cell Lymphoproliferative Disorder in the Setting of Autoimmune Disease: A Case Series and Review of the Literature.自身免疫性疾病背景下的原发性皮肤甲氨蝶呤相关T细胞淋巴增殖性疾病:病例系列及文献综述
Am J Dermatopathol. 2025 Feb 1;47(2):145-152. doi: 10.1097/DAD.0000000000002905.
2
Biologics or tofacitinib for people with rheumatoid arthritis naive to methotrexate: a systematic review and network meta-analysis.生物制剂或托法替布用于初治类风湿关节炎患者:一项系统评价和网状Meta分析
Cochrane Database Syst Rev. 2017 May 8;5(5):CD012657. doi: 10.1002/14651858.CD012657.
3
A systematic review of the effectiveness of adalimumab, etanercept and infliximab for the treatment of rheumatoid arthritis in adults and an economic evaluation of their cost-effectiveness.阿达木单抗、依那西普和英夫利昔单抗治疗成人类风湿关节炎有效性的系统评价及其成本效益的经济学评估。
Health Technol Assess. 2006 Nov;10(42):iii-iv, xi-xiii, 1-229. doi: 10.3310/hta10420.
4
Central Nervous System Lymphoproliferative Disorder Secondary to Methotrexate: A Systematic Literature Review and Case Illustration.中枢神经系统淋巴细胞增生性疾病继发于甲氨蝶呤:系统文献回顾与病例举例。
World Neurosurg. 2023 Nov;179:118-126. doi: 10.1016/j.wneu.2023.08.018. Epub 2023 Aug 12.
5
Infliximab and methotrexate in the treatment of rheumatoid arthritis: a systematic review and meta-analysis of dosage regimens.英夫利昔单抗与甲氨蝶呤治疗类风湿关节炎:剂量方案的系统评价与荟萃分析
Clin Ther. 2008 Nov;30(11):1939-55. doi: 10.1016/j.clinthera.2008.11.007.
6
Systemic pharmacological treatments for chronic plaque psoriasis: a network meta-analysis.慢性斑块状银屑病的全身药理学治疗:一项网状荟萃分析。
Cochrane Database Syst Rev. 2017 Dec 22;12(12):CD011535. doi: 10.1002/14651858.CD011535.pub2.
7
Safety of non-steroidal anti-inflammatory drugs, including aspirin and paracetamol (acetaminophen) in people receiving methotrexate for inflammatory arthritis (rheumatoid arthritis, ankylosing spondylitis, psoriatic arthritis, other spondyloarthritis).非甾体抗炎药(包括阿司匹林和对乙酰氨基酚)在接受甲氨蝶呤治疗炎性关节炎(类风湿关节炎、强直性脊柱炎、银屑病关节炎、其他脊柱关节炎)患者中的安全性。
Cochrane Database Syst Rev. 2011 Nov 9(11):CD008872. doi: 10.1002/14651858.CD008872.pub2.
8
Biologics or tofacitinib for rheumatoid arthritis in incomplete responders to methotrexate or other traditional disease-modifying anti-rheumatic drugs: a systematic review and network meta-analysis.生物制剂或托法替布用于对甲氨蝶呤或其他传统改善病情抗风湿药物反应不完全的类风湿关节炎患者:一项系统评价和网状Meta分析
Cochrane Database Syst Rev. 2016 May 13;2016(5):CD012183. doi: 10.1002/14651858.CD012183.
9
Adalimumab, etanercept, infliximab, certolizumab pegol, golimumab, tocilizumab and abatacept for the treatment of rheumatoid arthritis not previously treated with disease-modifying antirheumatic drugs and after the failure of conventional disease-modifying antirheumatic drugs only: systematic review and economic evaluation.阿达木单抗、依那西普、英夫利昔单抗、聚乙二醇化赛妥珠单抗、戈利木单抗、托珠单抗和阿巴西普用于治疗既往未使用改善病情抗风湿药物治疗且仅在传统改善病情抗风湿药物治疗失败后的类风湿关节炎:系统评价和经济学评估。
Health Technol Assess. 2016 Apr;20(35):1-610. doi: 10.3310/hta20350.
10
Systemic pharmacological treatments for chronic plaque psoriasis: a network meta-analysis.系统性药理学治疗慢性斑块状银屑病:网络荟萃分析。
Cochrane Database Syst Rev. 2021 Apr 19;4(4):CD011535. doi: 10.1002/14651858.CD011535.pub4.

本文引用的文献

1
Subcutaneous panniculitis-like T-cell lymphoma associated with methotrexate treatment.与甲氨蝶呤治疗相关的皮下脂膜炎样T细胞淋巴瘤。
J Dermatol. 2022 Dec;49(12):e430-e432. doi: 10.1111/1346-8138.16524. Epub 2022 Jul 26.
2
Application and pharmacological mechanism of methotrexate in rheumatoid arthritis.甲氨蝶呤在类风湿关节炎中的应用及药理机制。
Biomed Pharmacother. 2022 Jun;150:113074. doi: 10.1016/j.biopha.2022.113074. Epub 2022 May 5.
3
Retrospective analyses of other iatrogenic immunodeficiency-associated lymphoproliferative disorders in patients with rheumatic diseases.
回顾性分析风湿性疾病患者中其他医源性免疫缺陷相关淋巴增生性疾病。
Br J Haematol. 2021 Nov;195(4):585-594. doi: 10.1111/bjh.17824. Epub 2021 Sep 23.
4
EBV-positive B-cell lymphomas and lymphoproliferative disorders: Review from the perspective of immune escape and immunodeficiency.EB病毒阳性B细胞淋巴瘤和淋巴增殖性疾病:从免疫逃逸和免疫缺陷角度的综述
Cancer Med. 2021 Oct;10(19):6777-6785. doi: 10.1002/cam4.4198. Epub 2021 Aug 13.
5
Cutaneous methotrexate-related T-cell lymphoproliferative disorder with CD4, CD30, CD56, EBV-positive tumor cell infiltration: a case illustration and a brief review.伴有CD4、CD30、CD56、EBV阳性肿瘤细胞浸润的皮肤甲氨蝶呤相关T细胞淋巴增殖性疾病:病例说明及简要综述
Am J Blood Res. 2021 Apr 15;11(2):163-167. eCollection 2021.
6
Primary cutaneous methotrexate-associated B-cell lymphoproliferative disorders other than EBV-positive mucocutaneous ulcer: clinical, pathological, and immunophenotypic features.原发性皮肤甲氨蝶呤相关的 B 细胞淋巴增生性疾病,除外 EBV 阳性黏膜溃疡性疾病:临床、病理和免疫表型特征。
Pathology. 2021 Aug;53(5):595-601. doi: 10.1016/j.pathol.2020.10.019. Epub 2021 Feb 19.
7
Immunohistochemical Assessment of the Diagnostic Utility of PD-L1 (Clone SP142) for Methotrexate-Associated Lymphoproliferative Disorders With an Emphasis of Neoplastic PD-L1 (Clone SP142)-Positive Classic Hodgkin Lymphoma Type.免疫组织化学评估 PD-L1(克隆 SP142)在甲氨蝶呤相关性淋巴增生性疾病中的诊断效用,重点关注肿瘤性 PD-L1(克隆 SP142)阳性经典霍奇金淋巴瘤类型。
Am J Clin Pathol. 2020 Apr 15;153(5):571-582. doi: 10.1093/ajcp/aqz198.
8
Other Iatrogenic Immunodeficiency-Associated Lymphoproliferative Disorders with a T- or NK-cell phenotype.其他具有T细胞或NK细胞表型的医源性免疫缺陷相关淋巴增殖性疾病。
J Clin Exp Hematop. 2019;59(2):56-63. doi: 10.3960/jslrt.19013.
9
Methotrexate-associated lymphoproliferative disorders of T-cell phenotype: clinicopathological analysis of 28 cases.甲氨蝶呤相关性 T 细胞表型淋巴增生性疾病:28 例临床病理分析。
Mod Pathol. 2019 Jul;32(8):1135-1146. doi: 10.1038/s41379-019-0264-2. Epub 2019 Apr 5.
10
Immunodeficiency-associated lymphoproliferative disorders: time for reappraisal?免疫缺陷相关淋巴组织增生性疾病:重新评估的时机?
Blood. 2018 Nov 1;132(18):1871-1878. doi: 10.1182/blood-2018-04-842559. Epub 2018 Aug 6.