Suppr超能文献

一名年轻女性的巨大三阴性妊娠相关乳腺癌(PABC):从诊断到逐步治疗:病例报告

Giant triple negative pregnancy-associated breast cancer (PABC) in a young woman: From diagnosis to therapy step by step: A case report.

作者信息

Bottalico Micol, Boldrini Cristiana

机构信息

Department of Diagnostic Imaging, Oncological Radiotherapy, and Hematology, Diagnostic Imaging Area, Italy.

Fondazione Policlinico Universitario Agostino Gemelli IRCCS, Rome, Italy.

出版信息

Radiol Case Rep. 2025 Jan 7;20(3):1686-1690. doi: 10.1016/j.radcr.2024.12.021. eCollection 2025 Mar.

Abstract

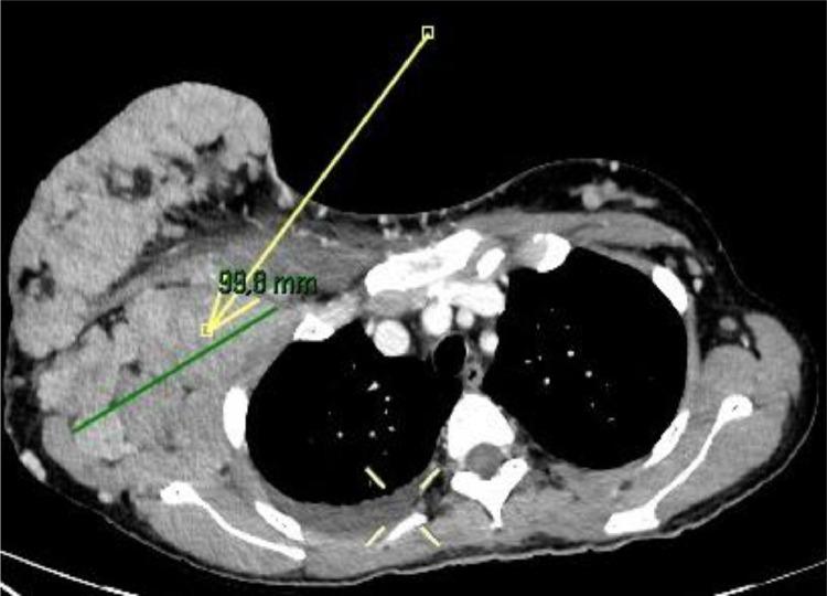
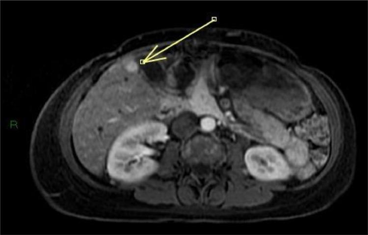
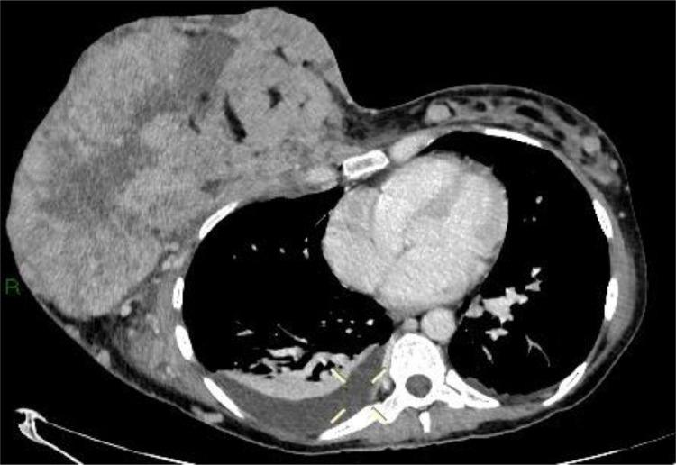
Pregnancy-associated breast cancer (PABC) presents unique challenges. This type of breast cancer is often more aggressive than that diagnosed in nonpregnant women, and its diagnosis is frequently delayed. Several factors contribute to this delay, including the physiological changes that occur during pregnancy, such as breast enlargement, breast tenderness and increased tissue density, which can mask early signs of malignancy. Additionally, a lack of awareness among healthcare providers can lead to symptoms being dismissed as normal pregnancy-related changes, and then being underestimated. Consequently, PABC is often diagnosed at more advanced stages, which can result in a poorer prognosis for the patient. This case study reports a 36-year-old woman in good general health, who received histological diagnosis of breast cancer during her pregnancy after presenting for self-detection of an enormous palpable breast mass. Prior to hospitalization, the patient had been treated with antibiotics in the mistaken belief that it was infectious mastitis; subsequently, considering the huge dimensions of the mass and the presence of lymph node metastases, neoadjuvant chemotherapy was started until induction of labor. Imaging techniques such as ultrasonography (and mammography as an adjunct) and nonenhanced MRI (due to potential toxicity of gadolinium to the fetus) can be used for staging maternal breast disease during pregnancy. A multidisciplinary approach which involves the radiologist, the breast surgeon, the oncologist and the gynecologist is fundamental to ensure the best prognostic outcomes for both the mother and the fetus.

摘要

妊娠相关乳腺癌(PABC)带来了独特的挑战。这种类型的乳腺癌往往比非妊娠女性所诊断出的乳腺癌更具侵袭性,而且其诊断常常被延迟。有几个因素导致了这种延迟,包括怀孕期间发生的生理变化,如乳房增大、乳房压痛和组织密度增加,这些变化可能掩盖恶性肿瘤的早期迹象。此外,医疗保健提供者缺乏认识可能导致症状被视为正常的妊娠相关变化而被忽视,进而被低估。因此,PABC往往在更晚期才被诊断出来,这可能导致患者预后较差。本病例报告了一名36岁总体健康状况良好的女性,她在怀孕期间自行发现一个可触及的巨大乳房肿块后接受了乳腺癌的组织学诊断。在住院之前,患者因误以为是感染性乳腺炎而接受了抗生素治疗;随后,考虑到肿块巨大且存在淋巴结转移,开始进行新辅助化疗直至引产。超声检查(以及作为辅助手段的乳腺X线摄影)和非增强MRI(由于钆对胎儿可能存在毒性)等成像技术可用于在怀孕期间对母体乳腺疾病进行分期。涉及放射科医生、乳腺外科医生、肿瘤内科医生和妇科医生的多学科方法对于确保母亲和胎儿获得最佳预后结果至关重要。

https://cdn.ncbi.nlm.nih.gov/pmc/blobs/9ee1/11759554/e5b035828dc5/gr1.jpg

文献AI研究员

20分钟写一篇综述,助力文献阅读效率提升50倍。

立即体验

用中文搜PubMed

大模型驱动的PubMed中文搜索引擎

马上搜索

文档翻译

学术文献翻译模型,支持多种主流文档格式。

立即体验