Suppr超能文献

一例伴有远端肌外延伸的贝克囊肿:病例报告

A Baker's Cyst With Distal Extramuscular Extension: A Case Report.

作者信息

Anies Ervin P, Waltz Robert A, Lacey Sean

机构信息

Physical Medicine and Rehabilitation, Walter Reed National Military Medical Center, Bethesda, USA.

Orthopedic Sports Medicine and Hip Arthroscopy, Naval Health Clinic Annapolis, Annapolis, USA.

出版信息

Cureus. 2025 Jan 15;17(1):e77502. doi: 10.7759/cureus.77502. eCollection 2025 Jan.

Abstract

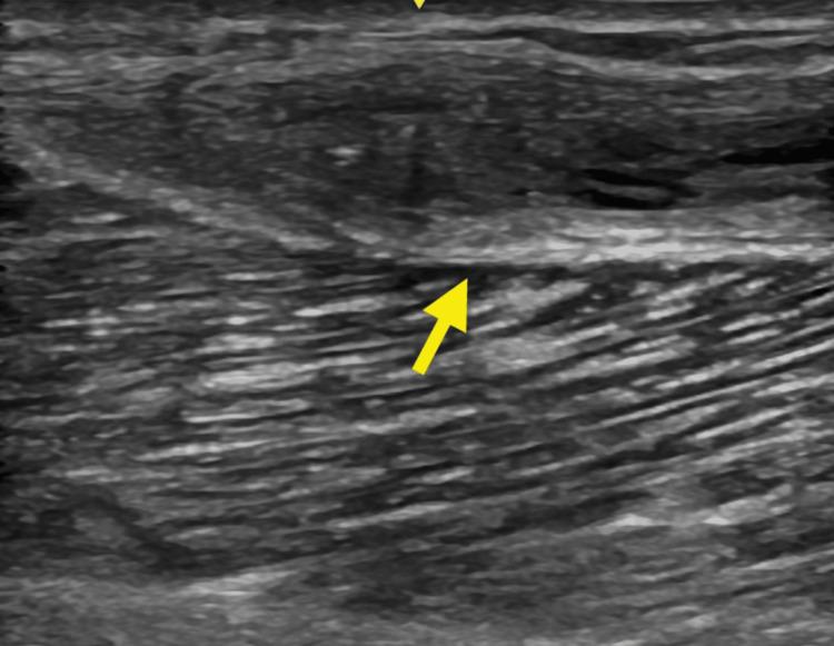
A 49-year-old man presented with repeated episodes of posterior knee effusions 11 months following right knee medial meniscus debridement. He was referred to Physical Medicine & Rehabilitation (PM&R) by his orthopaedic surgeon for further non-operative management. He had previously undergone ipsilateral vein stripping procedures with vascular surgery five months following his meniscal procedure. Magnetic resonance imaging (MRI) of the knee with contrast along with a subsequent ultrasound evaluation with no evident power Doppler flow confirmed the presence of a right posterior-medial gastrocnemius fluid collection extending extramuscularly into the proximal one-third of the medial head of the gastrocnemius muscle. These imaging findings combined with the yellow-clear aspirate consistent with synovial fluid confirmed the presence of a Baker's cyst with unusually distal extramuscular extension and subcutaneous location just superficial to the medial head of the gastrocnemius muscle. Successful implementation of platelet-rich plasma (PRP) and doxycycline tissue sclerosis emphasized the key role that nonoperative modalities have in treating Baker's cysts. The patient continues to respond appropriately with resolution of his symptoms noted three weeks after his initial sclerotherapy session and an additional treatment performed with half the initial dose of doxycycline. This case demonstrates the successful treatment of a Baker's cyst with an unusually distal location.

摘要

一名49岁男性在右膝内侧半月板清创术后11个月出现反复的膝关节后方积液。他被骨科医生转诊至物理医学与康复科(PM&R)进行进一步的非手术治疗。他在半月板手术后五个月曾接受同侧血管外科的静脉剥脱手术。膝关节磁共振成像(MRI)增强扫描以及随后的超声检查(无明显的能量多普勒血流信号)证实右后内侧腓肠肌有液体积聚,且积液延伸至腓肠肌内侧头近端三分之一的肌外区域。这些影像学表现结合与滑液相符的黄清色抽出液,证实存在一个囊肿,该囊肿具有异常的远端肌外延伸且位于腓肠肌内侧头浅面的皮下,符合贝克囊肿的表现。富血小板血浆(PRP)和强力霉素组织硬化治疗的成功实施强调了非手术方式在治疗贝克囊肿中的关键作用。患者在首次硬化治疗后三周症状缓解,且使用初始剂量一半的强力霉素进行额外治疗后,症状持续得到改善。该病例展示了对一个位置异常偏远的贝克囊肿的成功治疗。

https://cdn.ncbi.nlm.nih.gov/pmc/blobs/828d/11828661/68b715df0cf4/cureus-0017-00000077502-i01.jpg

文献AI研究员

20分钟写一篇综述,助力文献阅读效率提升50倍。

立即体验

用中文搜PubMed

大模型驱动的PubMed中文搜索引擎

马上搜索

文档翻译

学术文献翻译模型,支持多种主流文档格式。

立即体验