Suppr超能文献

细胞色素P450 4/20-羟二十碳四烯酸/ G蛋白偶联受体75轴在代谢功能障碍相关脂肪性肝病(MASLD)进展为慢性肝病中的作用

The CYP4/20-HETE/GPR75 axis in the progression metabolic dysfunction-associated steatosis liver disease (MASLD) to chronic liver disease.

作者信息

Hardwick James P, Song Byoung-Joon, Rote Paul, Leahy Charles, Lee Yoon Kwang, Wolf Alexandra Rudi, Diegisser Danielle, Garcia Victor

机构信息

Department of Integrative Medical Sciences Liver Focus Group, Northeast Ohio Medical University, Rootstown, OH, United States.

Section of Molecular Pharmacology and Toxicology, National Institute on Alcohol Abuse and Alcoholism, Bethesda, MD, United States.

出版信息

Front Physiol. 2025 Jan 29;15:1497297. doi: 10.3389/fphys.2024.1497297. eCollection 2024.

Abstract

INTRODUCTION

Metabolic-dysfunction-associated steatosis liver disease (MASLD) is a progressive liver disease from simple steatosis, steatohepatitis, fibrosis, cirrhosis, and hepatocellular carcinoma. Chronic liver diseases (CLDs) can lead to portal hypertension, which is a major cause of complications of cirrhosis. CLDs cause structural alterations across the liver through increased contents of extracellular matrix (ECM), driving dysfunction of liver sinusoidal endothelial cells (LSECs) alongside hepatic stellate cells (HSCs) and activated resident or infiltrating immune cells. Bioactive arachidonic metabolites have diverse roles in the progression of MASLD. Both secreted levels of 20-hydroxyeicosatetraenoic acid (20-HETE) and epoxyeicosatrienoic acid (EET) are elevated in patients with liver cirrhosis.

METHODS

CLD samples were evaluated for changes in free fatty acids (FFA), cholesterol, bilirubin, bile acid, reactive oxygen species (ROD), lipid peroxidation, myeloperoxidase activity and hydroxyproline levels to evaluate the degrees of liver damage and fibrosis. To address the role of the CYP4/20-HETE/GPR75 axis, we measured the amount and the synthesis of 20-HETE in patients with CLD, specifically during the progression of MASLD. Additionally, we evaluated gene expression and protein levels of GPR75, a high-affinity receptor for 20-HETE across CLD patient samples.

RESULTS

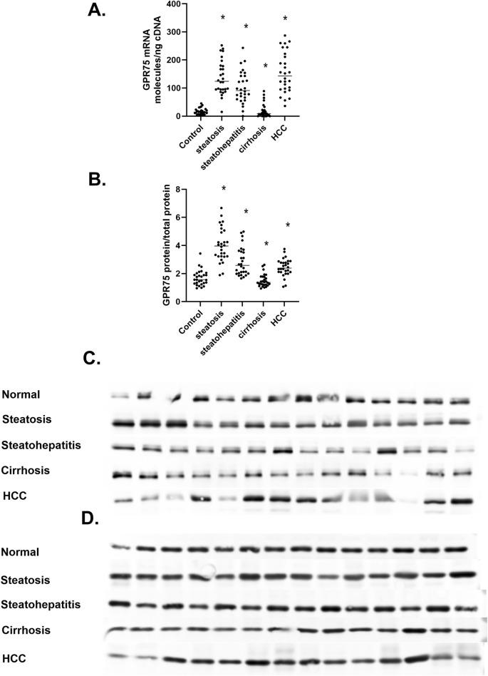
We observed an increase in 20-HETE levels and synthesis during the progression of MASLD. Increased synthesis of 20-HETE correlated with the expression of genes but not CYP4F2. These results were confirmed by increased P4504A11 protein levels and decreased P4504F2 protein levels during the development and progression of MASLD. The gene expression and protein levels of GPR75, the major receptor for 20-HETE, increased in the progression of MASLD. Interestingly, the and mRNA levels increased in steatohepatitis but dramatically dropped in cirrhosis and then increased in patients with HCC. Also, protein levels of P4504A11 and GPR75 mirrored their mRNA levels.

DISCUSSION

These results indicate that the and subsequent genes are coordinately regulated in the progression of MASLD and may have multiple roles, including 20-HETE activation of peroxisome proliferator-activated receptor α (PPARα) in steatosis and GPR75 in CLD through either increased cell proliferation or vasoconstriction in portal hypertension during cirrhosis. The abrupt reduction in and in patients with cirrhosis may also be due to increased 20-HETE, serving as a feedback mechanism via , leading to reduced and gene expression. This work illustrates key correlations associated with the CYP4/20-HETE/GPR75 axis and the progression of liver disease in humans.

摘要

引言

代谢功能障碍相关脂肪性肝病(MASLD)是一种从单纯性脂肪变性、脂肪性肝炎、纤维化、肝硬化发展到肝细胞癌的进行性肝病。慢性肝病(CLD)可导致门静脉高压,这是肝硬化并发症的主要原因。CLD通过增加细胞外基质(ECM)含量导致肝脏结构改变,导致肝窦内皮细胞(LSEC)以及肝星状细胞(HSC)和活化的驻留或浸润免疫细胞功能障碍。生物活性花生四烯酸代谢产物在MASLD进展中具有多种作用。肝硬化患者体内20-羟基二十碳四烯酸(20-HETE)和环氧二十碳三烯酸(EET)的分泌水平均升高。

方法

对CLD样本进行游离脂肪酸(FFA)、胆固醇、胆红素、胆汁酸、活性氧(ROD)、脂质过氧化、髓过氧化物酶活性和羟脯氨酸水平的变化评估,以评估肝损伤和纤维化程度。为了研究细胞色素P45/20-HETE/GPR75轴的作用,我们测量了CLD患者,特别是在MASLD进展过程中20-HETE的含量和合成。此外,我们评估了CLD患者样本中20-HETE的高亲和力受体GPR75的基因表达和蛋白水平。

结果

我们观察到在MASLD进展过程中20-HETE水平和合成增加。20-HETE合成增加与基因表达相关,但与细胞色素P4F2无关。这些结果在MASLD发生和进展过程中通过P4504A11蛋白水平升高和P4504F2蛋白水平降低得到证实。20-HETE的主要受体GPR75的基因表达和蛋白水平在MASLD进展过程中增加。有趣的是,在脂肪性肝炎中, 和 mRNA水平升高,但在肝硬化中急剧下降,然后在肝癌患者中又升高。此外,P4504A11和GPR75的蛋白水平反映了它们的mRNA水平。

讨论

这些结果表明, 和随后的 基因在MASLD进展中受到协同调节,可能具有多种作用,包括在脂肪变性中20-HETE激活过氧化物酶体增殖物激活受体α(PPARα),以及在肝硬化门静脉高压期间通过增加细胞增殖或血管收缩激活CLD中的GPR75。肝硬化患者中 和 的突然降低也可能是由于20-HETE增加,通过 作为反馈机制,导致 和 基因表达降低。这项工作阐明了与细胞色素P4/20-HETE/GPR75轴以及人类肝病进展相关的关键相关性。

https://cdn.ncbi.nlm.nih.gov/pmc/blobs/00d8/11826315/ed0404f7e4cd/fphys-15-1497297-g001.jpg

文献AI研究员

20分钟写一篇综述,助力文献阅读效率提升50倍。

立即体验

用中文搜PubMed

大模型驱动的PubMed中文搜索引擎

马上搜索

文档翻译

学术文献翻译模型,支持多种主流文档格式。

立即体验