Suppr超能文献

病例报告:在精神科实践中,脑腱性黄瘤病伪装成成人注意力缺陷多动障碍。

Case report: Cerebrotendinous Xanthomatosis masquerading as adult ADHD in psychiatric practice.

作者信息

Kim Jongtae, Hong Yun Jeong, Lee Si Baek, Kim Seong Hoon, Lee Myung Ah, Ko Eunbuel, Park Jeong Wook

机构信息

Department of Psychiatry, Uijeongbu St. Mary's Hospital, The Catholic University of Korea, Seoul, Republic of Korea.

Department of Neurology, Uijeongbu St. Mary's Hospital, The Catholic University of Korea, Seoul, Republic of Korea.

出版信息

Front Psychiatry. 2025 Feb 4;16:1528204. doi: 10.3389/fpsyt.2025.1528204. eCollection 2025.

Abstract

INTRODUCTION

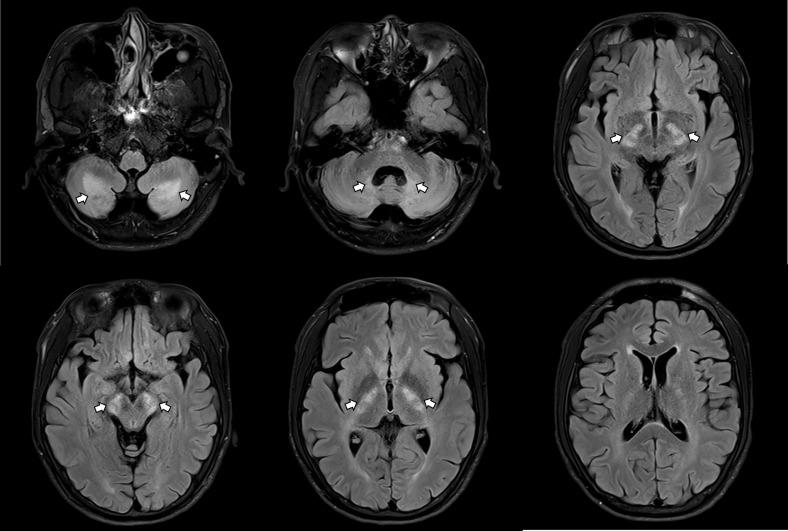
This case report details the presentation of a patient who initially sought consultation at a psychiatric outpatient clinic with symptoms suggestive of Attention-Deficit/Hyperactivity Disorder (ADHD); however, further evaluation revealed a diagnosis of Cerebrotendinous Xanthomatosis (CTX). CTX, a genetic disorder impacting lipid metabolism, is often overlooked in differential diagnoses due to its rarity. This case underscores the importance of considering alternative diagnoses in adults exhibiting ADHD-like symptoms without a childhood history of the disorder, adding to the literature on diagnostic complexities in psychiatric practice.

CASE PRESENTATION

A 33-year-old man visited a psychiatric outpatient clinic with symptoms such as increasing distractibility and inattention, requesting an evaluation for adult ADHD. However, the absence of an ADHD history in childhood, coupled with progressive neurological symptoms and tendon xanthomas, led to further investigation. Comprehensive neurological assessments, including neuroimaging and genetic testing, ultimately diagnosed him with CTX. Treatment with chenodeoxycholic acid (CDCA) resulted in stabilization of cognitive function, although improvement in gait disturbances and tremors remained minimal.

CONCLUSION

This case demonstrates that CTX can masquerade as adult ADHD, emphasizing the necessity for thorough assessments in atypical ADHD presentations. Psychiatrists should consider rare metabolic disorders like CTX in similar cases, which may enable timely intervention and improve patient outcomes.

摘要

引言

本病例报告详细介绍了一名患者的情况,该患者最初因出现提示注意缺陷多动障碍(ADHD)的症状而前往精神科门诊就诊;然而,进一步评估后诊断为脑腱黄瘤病(CTX)。CTX是一种影响脂质代谢的遗传性疾病,因其罕见性,在鉴别诊断中常被忽视。该病例强调了在无ADHD儿童病史的成年患者中考虑其他诊断的重要性,为精神科实践中诊断复杂性的文献增添了内容。

病例介绍

一名33岁男性因注意力分散和注意力不集中等症状前往精神科门诊就诊,并要求对成人ADHD进行评估。然而,由于其童年时期无ADHD病史,再加上逐渐出现的神经症状和肌腱黄瘤,促使进行了进一步检查。包括神经影像学和基因检测在内的全面神经评估最终诊断他患有CTX。使用鹅去氧胆酸(CDCA)治疗使认知功能得以稳定,尽管步态障碍和震颤的改善仍然很小。

结论

该病例表明CTX可能伪装成成人ADHD,强调了对非典型ADHD表现进行全面评估的必要性。精神科医生在类似病例中应考虑像CTX这样的罕见代谢性疾病,这可能有助于及时干预并改善患者预后。

https://cdn.ncbi.nlm.nih.gov/pmc/blobs/4d2b/11832511/c3e3d4914a3b/fpsyt-16-1528204-g001.jpg

文献AI研究员

20分钟写一篇综述,助力文献阅读效率提升50倍。

立即体验

用中文搜PubMed

大模型驱动的PubMed中文搜索引擎

马上搜索

文档翻译

学术文献翻译模型,支持多种主流文档格式。

立即体验