Suppr超能文献

一名青少年男性运动员复发性化脓性肉芽肿进展为钙化性纤维母细胞性肉芽肿:病例报告

Recurrent Pyogenic Granuloma Progressing to Calcifying Fibroblastic Granuloma in an Adolescent Male Athlete: A Case Report.

作者信息

Porto Barboza Eliane, Panariello Beatriz, Araujo Daniel, Rodrigues Diogo, Manibo Alexandra

机构信息

School of Dental Medicine, Lake Erie College of Osteopathic Medicine, Bradenton, USA.

Department of Periodontics, National Institute of Dental Science (INCO25), Niteroi, BRA.

出版信息

Cureus. 2025 Jan 21;17(1):e77794. doi: 10.7759/cureus.77794. eCollection 2025 Jan.

Abstract

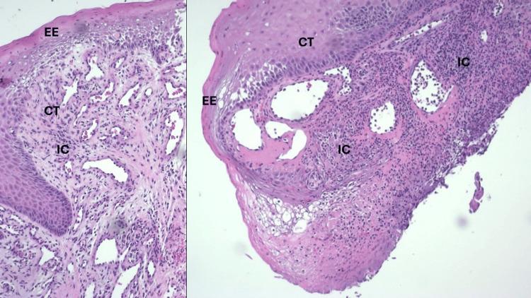
This case report highlights the clinical progression of a recurrent pyogenic granuloma (PG) in a 17-year-old male baseball player who experienced the transition of the lesion into a calcifying fibroblastic granuloma (CFG) extending into the periosteum and underlying bone. Adolescence, a period marked by significant hormonal changes and increased susceptibility to stress due to the demands of being an athlete, combined with a lack of proper oral hygiene, may have played a significant role in the lesion's development, recurrence, and progression to CFG. The initial treatment involved excisional biopsy, followed by more extensive surgical intervention, including excision of the periosteum and bone curettage, to ensure complete removal of the recurrent lesion. The surgical site healed without complications. This case underscores the importance of accurate diagnosis and the need for thorough excision to prevent recurrence. Furthermore, it highlights the significance of maintaining proper oral hygiene and managing risk factors such as stress, which can influence the recurrence and progression of PGs to CFGs.

摘要

本病例报告重点介绍了一名17岁男性棒球运动员复发性化脓性肉芽肿(PG)的临床进展情况,该病变转变为钙化性纤维母细胞性肉芽肿(CFG),并累及骨膜和下方骨质。青春期,这一时期因激素显著变化以及作为运动员所面临的压力导致易感性增加,再加上缺乏适当的口腔卫生习惯,可能在病变的发生、复发及进展为CFG过程中起到了重要作用。初始治疗包括切除活检,随后进行更广泛的手术干预,包括骨膜切除和骨刮除,以确保彻底清除复发病变。手术部位愈合良好,未出现并发症。本病例强调了准确诊断的重要性以及彻底切除以防止复发的必要性。此外,它突出了保持适当口腔卫生和管理诸如压力等风险因素的重要性,这些因素会影响PG向CFG的复发和进展。

https://cdn.ncbi.nlm.nih.gov/pmc/blobs/9c51/11842033/cb4e73aaaed2/cureus-0017-00000077794-i01.jpg

文献AI研究员

20分钟写一篇综述,助力文献阅读效率提升50倍。

立即体验

用中文搜PubMed

大模型驱动的PubMed中文搜索引擎

马上搜索

文档翻译

学术文献翻译模型,支持多种主流文档格式。

立即体验