Suppr超能文献

阴囊丝虫病:来自保加利亚的一例临床病例。

Dirofilariasis of the scrotum: a clinical case from Bulgaria.

作者信息

Popova G, Vuchev D, Markov D, Poryazova E

机构信息

Department of Infectious Diseases, Parasitology and Tropical Medicine, Medical University of Plovdiv, Bulgaria.

University Hospital Pulmed - Plovdiv, Bulgaria.

出版信息

Helminthologia. 2024 Dec 31;61(4):357-359. doi: 10.2478/helm-2024-0032. eCollection 2024 Dec.

Abstract

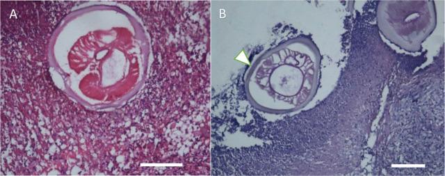
Dirofilariasis is a zoonotic infection that humans acquire by the bite of infected mosquitoes. The male reproductive system is relatively rare affected by this disease. We presented a case of dirofilariasis of the scrotum from Bulgaria. The patient noticed a small painless nodule in his scrotum with no other pathological findings. The tumor-like lesion was surgically removed. Dirofilariasis was not suspected before this procedure, but the diagnosis was made on histological examination of the extracted tissue. Surgical removal of the helminth is the radical treatment of this disease. Dirofilariasis of the scrotum has a good prognosis as patients fully recover after the extraction of the parasite.

摘要

丝虫病是一种人畜共患感染病,人类通过被感染的蚊子叮咬而感染。男性生殖系统受这种疾病影响相对较少见。我们报告了一例来自保加利亚的阴囊丝虫病病例。患者注意到阴囊中有一个无痛小结节,无其他病理表现。该肿瘤样病变通过手术切除。在手术前未怀疑丝虫病,但在对切除组织进行组织学检查后作出了诊断。手术切除寄生虫是这种疾病的根治方法。阴囊丝虫病预后良好,因为患者在寄生虫被摘除后可完全康复。

https://cdn.ncbi.nlm.nih.gov/pmc/blobs/f01f/11846148/f25f8499a847/j_helm-2024-0032_fig_001.jpg

文献AI研究员

20分钟写一篇综述,助力文献阅读效率提升50倍。

立即体验

用中文搜PubMed

大模型驱动的PubMed中文搜索引擎

马上搜索

文档翻译

学术文献翻译模型,支持多种主流文档格式。

立即体验