Suppr超能文献

乳腺吞噬性导管内巨噬细胞(泡沫细胞)的骨髓起源

Bone Marrow Origin of Mammary Phagocytic Intraductal Macrophages (Foam Cells).

作者信息

Barsky Sanford H, Mcphail Krista, Wang Justin, Hoffman Robert M, Ye Yin

机构信息

Department of Pathology, Anatomy and Cell Biology, The Clinical and Translational Research Center of Excellence, Meharry Medical College, 1005 Dr. D.B. Todd Jr. Boulevard, Nashville, TN 37208, USA.

Star Diagnostics Laboratories, 215 E Warm Springs Rd., Ste 108, Las Vegas, NV 89119, USA.

出版信息

Int J Mol Sci. 2025 Feb 17;26(4):1699. doi: 10.3390/ijms26041699.

Abstract

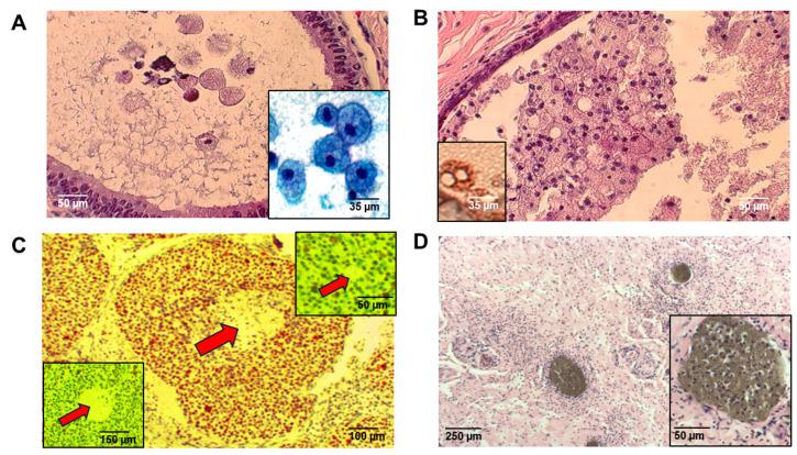
Mammary intraductal macrophages (foam cells) in humans are the most commonly encountered cells in spontaneous breast nipple discharge, nipple aspirate fluid, and ductal lavage, yet their origin remains unproven. These cells, in both humans and murine model systems, increase in pregnancy, pseudopregnancy, and other conditions like proliferative fibrocystic disease and intraductal neoplasia, ductal carcinoma in situ (DCIS), where there is intraductal ectasia and obstruction. Previous immunocytochemical studies with macrophage (CD68, lysozyme), epithelial (cytokeratin, estrogen receptor), and myoepithelial (smooth muscle actin, CALLA, maspin) markers have indicated that intraductal foam cells are of macrophage lineage. These foam cells engage in phagocytosis of both endogenous and exogenous substances present within the ducts and are not proliferative. Although it has been suggested that foam cells could derive from tissue-specific and niche-specific precursors or circulating monocytes, to date no experimental nor clinical studies have provided direct proof of their origin. In this study, we provide evidence in both human and murine bone marrow transplant studies that intraductal foam cells are bone marrow-derived. We first studied a registry of sex-mismatched bone marrow transplant recipients who later in life had undergone breast biopsies for either proliferative fibrocystic disease, DCIS, or gynecomastia, and studied these biopsies by XY chromosome fluorescence in situ hybridization (FISH) and informative microsatellite polymorphic markers. The intraductal foam cells were of bone marrow donor-origin. Then, in the experimental bone marrow transplant murine studies, donor marrow from female ROSA26 containing the lacZ reporter were transplanted into either irradiated female recipient transgenic mice carrying the highly penetrant or FVB/N background mice, where induced pluripotent stem (iPS) cells derived from tail vein fibroblasts of FVB/N-Tg(MMTV-)634Mul/J mice were subsequently injected into their mammary fat pads. In all of the transplanted recipient mice, the intraductal foam cells expressed the β-galactosidase (lacZ) reporter and also co-expressed markers of myeloid-macrophage lineage. The number of donor-derived intraductal foam cells increased in pseudopregnancy 5-fold and in intraductal neoplasia 10-fold. Although macrophages of different origins and lineages are undoubtedly present within both the murine and human breasts, those macrophages that qualify as phagocytic intraductal foam cells are bone marrow-derived.

摘要

人类乳腺导管内巨噬细胞(泡沫细胞)是在自发性乳头溢液、乳头抽吸液和导管灌洗中最常见的细胞,但其来源仍未得到证实。在人类和小鼠模型系统中,这些细胞在妊娠、假孕以及其他如增殖性纤维囊性疾病、导管内瘤变、原位导管癌(DCIS)等情况下会增加,这些病症存在导管扩张和阻塞。先前使用巨噬细胞(CD68、溶菌酶)、上皮细胞(细胞角蛋白、雌激素受体)和肌上皮细胞(平滑肌肌动蛋白、CALLA、maspin)标志物进行的免疫细胞化学研究表明,导管内泡沫细胞属于巨噬细胞谱系。这些泡沫细胞会吞噬导管内存在的内源性和外源性物质,并且不具有增殖性。尽管有人提出泡沫细胞可能源自组织特异性和小生境特异性前体细胞或循环单核细胞,但迄今为止,尚无实验研究或临床研究能直接证明它们的来源。在本研究中,我们在人类和小鼠骨髓移植研究中均提供了证据,证明导管内泡沫细胞源自骨髓。我们首先研究了一组性别不匹配的骨髓移植受者登记册,这些受者在晚年因增殖性纤维囊性疾病、DCIS或男性乳房发育症接受了乳房活检,并通过XY染色体荧光原位杂交(FISH)和信息性微卫星多态性标记对这些活检样本进行了研究。导管内泡沫细胞源自骨髓供体。然后,在实验性骨髓移植小鼠研究中,将来自含有lacZ报告基因的雌性ROSA26的供体骨髓移植到携带高穿透性 或FVB/N背景小鼠的受辐照雌性受体转基因小鼠中,随后将源自FVB/N-Tg(MMTV-)634Mul/J小鼠尾静脉成纤维细胞的诱导多能干细胞(iPS)注射到它们的乳腺脂肪垫中。在所有移植的受体小鼠中,导管内泡沫细胞表达β-半乳糖苷酶(lacZ)报告基因,并且还共表达髓系巨噬细胞谱系的标志物。假孕时供体来源的导管内泡沫细胞数量增加5倍,导管内瘤变时增加10倍。尽管不同来源和谱系的巨噬细胞无疑存在于小鼠和人类乳房中,但那些符合吞噬性导管内泡沫细胞特征的巨噬细胞是源自骨髓的。

https://cdn.ncbi.nlm.nih.gov/pmc/blobs/6b1e/11855042/74674fef24a6/ijms-26-01699-g001.jpg

文献AI研究员

20分钟写一篇综述,助力文献阅读效率提升50倍。

立即体验

用中文搜PubMed

大模型驱动的PubMed中文搜索引擎

马上搜索

文档翻译

学术文献翻译模型,支持多种主流文档格式。

立即体验