Suppr超能文献

沙土鼠(长爪沙鼠)实验性盲肠阿米巴病的病理学。肝脏变化及阿米巴肝脓肿形成。

The pathology of experimentally induced cecal amebiasis in gerbils (Meriones unguiculatus). Liver changes and amebic liver abscess formation.

作者信息

Chadee K, Meerovitch E

出版信息

Am J Pathol. 1985 Jun;119(3):485-94.

Abstract

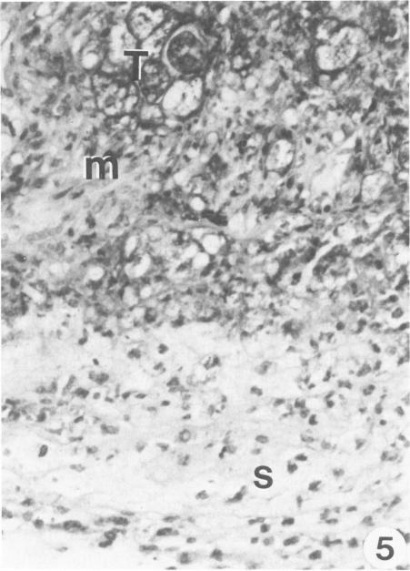
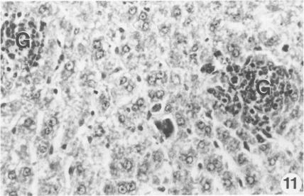
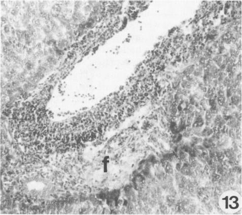
The pathogenesis of experimentally induced cecal amebiasis in gerbils (Meriones unguiculatus) was studied from 5 to 60 days after inoculation. Ulcerative lesions were noted 10 to 60 days after inoculation. The sequential development of lesions was asynchronous and progressed from destruction of the interglandular epithelium and of glandular crypt elements to loss of mucosa and formation of granulomatous lesions in the submucosa involving the muscularis mucosae. Pathologic changes in the liver correlated with the formation of ulcerative cecal lesions. Subacute hepatic changes showed lymphocytic portal infiltrate, Kupffer cell hyperplasia, multinucleated giant cells, granuloma formation, and sinusoidal mononuclear and granulocytic infiltrates. Metastatic amebic liver abscesses occurred as early as 10 days after inoculation, and small abscesses were found in the portal areas of the right liver lobe. The sequential development and pathologic manifestation of the infection and the usefulness of the gerbil for the study of human intestinal amebiasis are discussed.

摘要

在接种后5至60天,对沙土鼠(长爪沙鼠)实验性诱导盲肠阿米巴病的发病机制进行了研究。接种后10至60天观察到溃疡性病变。病变的连续发展是异步的,从腺间上皮和腺隐窝成分的破坏发展到黏膜丧失,并在涉及黏膜肌层的黏膜下层形成肉芽肿性病变。肝脏的病理变化与盲肠溃疡性病变的形成相关。亚急性肝脏变化表现为淋巴细胞门静脉浸润、库普弗细胞增生、多核巨细胞、肉芽肿形成以及窦状隙单核细胞和粒细胞浸润。转移性阿米巴肝脓肿最早在接种后10天出现,在右肝叶门静脉区域发现小脓肿。讨论了感染的连续发展和病理表现以及沙土鼠在人类肠道阿米巴病研究中的用途。

https://cdn.ncbi.nlm.nih.gov/pmc/blobs/b555/1888006/b519e4c18940/amjpathol00171-0141-a.jpg

文献检索

告别复杂PubMed语法,用中文像聊天一样搜索,搜遍4000万医学文献。AI智能推荐,让科研检索更轻松。

立即免费搜索

文件翻译

保留排版,准确专业,支持PDF/Word/PPT等文件格式,支持 12+语言互译。

免费翻译文档

深度研究

AI帮你快速写综述,25分钟生成高质量综述,智能提取关键信息,辅助科研写作。

立即免费体验