Suppr超能文献

PRNP E146G突变遗传性朊病毒病:独特的临床、病理和体液生物标志物特征

PRNP E146G mutation inherited prion disease: distinctive clinical, pathological and fluid biomarker features.

作者信息

Coysh Thomas, Jaunmuktane Zane, Hosszu Laszlo L P, Majbour Nour, Zhang Fuquan, Campbell Tracy, Darwent Lee, Matus Marcelo Barria, Chan Edgar, Holm-Mercer Leah, Mok Tze How, Wadsworth Jonathan D F, Bieschke Jan, Nithi Kannan, Brandner Sebastian, Smith Colin, Esiri Margaret, Collinge John, Mead Simon

机构信息

MRC Prion Unit at UCL, UCL Institute of Prion Diseases, 33 Cleveland Street, London, W1W 7FF, UK.

National Prion Clinic, University College London Hospitals NHS Foundation Trust, National Hospital for Neurology and Neurosurgery, Queen Square, London, WC1N 3BG, UK.

出版信息

J Neurol. 2025 Mar 29;272(4):299. doi: 10.1007/s00415-025-13022-2.

Abstract

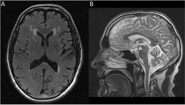
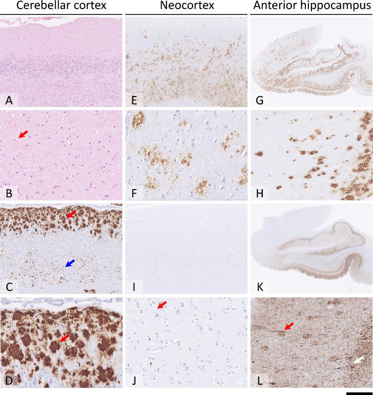
Inherited prion diseases (IPDs) are phenotypically diverse neurodegenerative conditions caused by mutations in the prion protein gene (PRNP). We describe IPD due to a novel PRNP E146G mutation in a 50-year-old man presenting with slowly progressive dysarthria, prominent myoclonus especially in the lower limbs, and less prominent gait ataxia, pyramidal and extrapyramidal signs. Cognitive impairment was not overt at disease onset. MRI revealed cerebellar atrophy and white matter hyperintensities. His 46-year-old sister carries the mutation and has subtle gait ataxia and dysarthria. Both patients exhibit a distinctive fluid biomarker profile: in CSF S100B is > twofold upper limit of normal, total tau is moderately elevated, and neurofilament light chain, 14-3-3 and RT-QuIC are negative; in plasma there is marked elevation of GFAP but repeatedly normal neurofilament light chain. The proband's father died aged 55 following an 8-year dementing illness with similar presentation. Post-mortem revealed cerebellar cortical atrophy and profuse large PrP amyloid plaques across cerebral and cerebellar grey matter. Immunoblotting identified low molecular weight protease-resistant PrP fragments. E146G mutation IPD broadly fits into the historical Gerstmann-Sträussler-Scheinker disease spectrum but, based on deep clinical phenotyping of this initial pedigree, we highlight some distinctive features, which may aid in identification of this disease.

摘要

遗传性朊病毒病(IPDs)是由朊病毒蛋白基因(PRNP)突变引起的表型多样的神经退行性疾病。我们描述了一名50岁男性因新的PRNP E146G突变导致的IPD,该患者表现为缓慢进展的构音障碍、明显的肌阵挛,尤其是下肢,步态共济失调、锥体束和锥体外系体征相对不明显。疾病发作时无明显认知障碍。MRI显示小脑萎缩和白质高信号。他46岁的妹妹携带该突变,有轻微的步态共济失调和构音障碍。两名患者均表现出独特的生物标志物特征:脑脊液中S100B高于正常上限两倍,总tau中度升高,神经丝轻链、14-3-3和实时QuIC检测均为阴性;血浆中GFAP明显升高,但神经丝轻链反复检测正常。先证者的父亲在患痴呆症8年后,于55岁去世,临床表现相似。尸检显示小脑皮质萎缩,大脑和小脑灰质有大量大的PrP淀粉样斑块。免疫印迹法鉴定出低分子量蛋白酶抗性PrP片段。E146G突变的IPD大致符合历史上的格斯特曼-施特劳斯勒-谢inker病谱系,但基于对这个初始家系的深入临床表型分析,我们突出了一些独特特征,这可能有助于识别这种疾病。

https://cdn.ncbi.nlm.nih.gov/pmc/blobs/6d6c/11954691/21c5a2f91a61/415_2025_13022_Fig1_HTML.jpg

文献AI研究员

20分钟写一篇综述,助力文献阅读效率提升50倍。

立即体验

用中文搜PubMed

大模型驱动的PubMed中文搜索引擎

马上搜索

文档翻译

学术文献翻译模型,支持多种主流文档格式。

立即体验