George Mariya, Jindal Keshav, Michailidis Athanasios
Medway Maritime Hospital, Gillingham, Kent, ME7 5NY, UK.
J Med Case Rep. 2025 Apr 3;19(1):156. doi: 10.1186/s13256-025-05053-0.
Nitrous oxide, popularly known as laughing gas, is a colorless gas with a faint, sweet odor, which has been used for recreational purposes since the nineteenth century. We present the case of an 18-year-old male who presented with spontaneous pneumomediastinum after nitrous oxide inhalation.
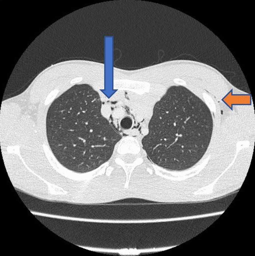
An 18-year-old Caucasian British male patient presented to the emergency department complaining of sharp, central, pleuritic chest pain that radiated up to the throat and was worse on lying down. On examination, palpable surgical emphysema was noted on the neck and was noted on chest X-ray. A computed tomography of neck and chest was then performed, which revealed extensive pneumomediastinum tracking along the cervical, axillary, presternal, and anterior pericardial regions. A water-soluble contrast study was performed, which showed no evidence of esophageal perforation.
Nitrous oxide is a substance that is widely and easily available and used recreationally for its euphoric effects. There are uncommon but significant side effects that can occur with its use; having an awareness of this and covering illicit drug use in history-taking will help guide further management plans.
一氧化二氮,俗称笑气,是一种无色气体,有淡淡的甜味,自19世纪以来就被用于娱乐目的。我们报告一例18岁男性在吸入一氧化二氮后出现自发性纵隔气肿的病例。
一名18岁的英国白人男性患者因突发尖锐的、位于胸部中央的胸膜炎性胸痛而到急诊科就诊,疼痛放射至咽喉部,平卧时加重。体格检查发现颈部可触及皮下气肿,胸部X线检查也证实了这一点。随后进行了颈部和胸部的计算机断层扫描,结果显示广泛的纵隔气肿沿颈部、腋窝、胸骨前和心包前区域蔓延。进行了水溶性造影剂检查,未发现食管穿孔的迹象。
一氧化二氮是一种广泛且容易获得的物质,因其欣快作用而被用于娱乐。使用该物质可能会出现罕见但严重的副作用;了解这一点并在病史采集中询问非法药物使用情况将有助于指导进一步的管理计划。