• 文献检索
  • 文档翻译
  • 深度研究
  • 学术资讯
  • Suppr Zotero 插件Zotero 插件
  • 邀请有礼
  • 套餐&价格
  • 历史记录
应用&插件
Suppr Zotero 插件Zotero 插件浏览器插件Mac 客户端Windows 客户端微信小程序
定价
高级版会员购买积分包购买API积分包
服务
文献检索文档翻译深度研究API 文档MCP 服务
关于我们
关于 Suppr公司介绍联系我们用户协议隐私条款
关注我们

Suppr 超能文献

核心技术专利:CN118964589B侵权必究
粤ICP备2023148730 号-1Suppr @ 2026

文献检索

告别复杂PubMed语法,用中文像聊天一样搜索,搜遍4000万医学文献。AI智能推荐,让科研检索更轻松。

立即免费搜索

文件翻译

保留排版,准确专业,支持PDF/Word/PPT等文件格式,支持 12+语言互译。

免费翻译文档

深度研究

AI帮你快速写综述,25分钟生成高质量综述,智能提取关键信息,辅助科研写作。

立即免费体验

低氧诱导因子-1(HIF-1)调节骨髓源性巨噬细胞的线粒体功能,但不调节组织驻留肺泡巨噬细胞的线粒体功能。

HIF-1 regulates mitochondrial function in bone marrow-derived macrophages but not in tissue-resident alveolar macrophages.

作者信息

Woods Parker S, Cetin-Atalay Rengül, Meliton Angelo Y, Sun Kaitlyn A, Shamaa Obada R, Shin Kun Woo D, Tian Yufeng, Haugen Benjamin, Hamanaka Robert B, Mutlu Gökhan M

机构信息

Department of Medicine, Section of Pulmonary and Critical Care Medicine, The University of Chicago, 5841 S. Maryland Avenue MC6026, Chicago, IL, 60637, USA.

出版信息

Sci Rep. 2025 Apr 4;15(1):11574. doi: 10.1038/s41598-025-95962-3.

DOI:10.1038/s41598-025-95962-3
PMID:40185846
原文链接:https://pmc.ncbi.nlm.nih.gov/articles/PMC11971270/
Abstract

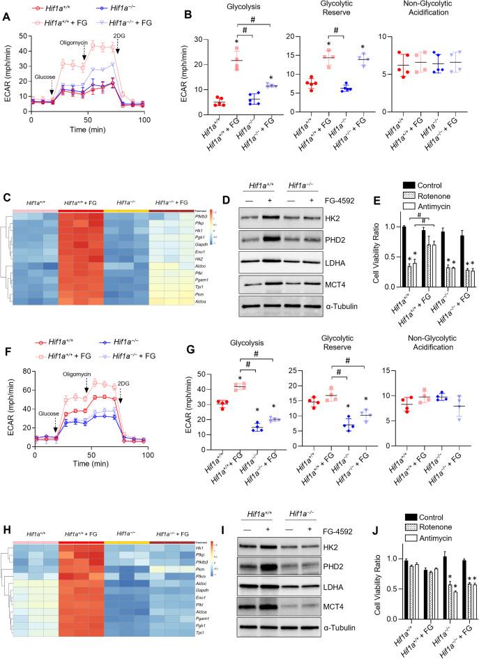
HIF-1α plays a critical role in shaping macrophage phenotype and effector function. We have previously shown that tissue-resident alveolar macrophages (TR-AMs) have extremely low glycolytic capacity at steady-state but can shift toward glycolysis under hypoxic conditions. Here, we generated mice with tamoxifen-inducible myeloid lineage cell specific deletion of Hif1a (Hif1a:LysM-CreERT2) and from these mice, we isolated TR-AMs and bone marrow-derived macrophages (BMDMs) in which Hif1a is deleted. We show that TR-AM HIF-1α is required for the glycolytic shift under prolyl hydroxylase inhibition but is dispensable at steady-state for inflammatory effector function. In contrast, HIF-1α deletion in BMDMs led to diminished glycolytic capacity at steady-state and reduced inflammatory capacity, but higher mitochondrial function. Gene set enrichment analysis revealed enhanced c-Myc transcriptional activity in Hif1a BMDMs, and upregulation of gene pathways related to ribosomal biogenesis and cellular proliferation. We conclude that HIF-1α regulates mitochondrial function in BMDMs but not in TR-AMs. The findings highlight the heterogeneity of HIF-1α function in distinct macrophage populations and provide new insight into how HIF-1α regulates gene expression, inflammation, and metabolism in different types of macrophages.

摘要

缺氧诱导因子-1α(HIF-1α)在塑造巨噬细胞表型和效应功能方面发挥着关键作用。我们之前已经表明,组织驻留肺泡巨噬细胞(TR-AMs)在稳态下糖酵解能力极低,但在缺氧条件下可转向糖酵解。在此,我们构建了他莫昔芬诱导的髓系谱系细胞特异性缺失Hif1a的小鼠(Hif1a:LysM-CreERT2),并从这些小鼠中分离出Hif1a被缺失的TR-AMs和骨髓来源的巨噬细胞(BMDMs)。我们发现,脯氨酰羟化酶抑制下的糖酵解转变需要TR-AM HIF-1α,但在稳态下对炎症效应功能而言并非必需。相反,BMDMs中HIF-1α的缺失导致稳态下糖酵解能力减弱和炎症能力降低,但线粒体功能增强。基因集富集分析显示,Hif1a BMDMs中c-Myc转录活性增强,与核糖体生物发生和细胞增殖相关的基因通路上调。我们得出结论,HIF-1α调节BMDMs中的线粒体功能,但不调节TR-AMs中的线粒体功能。这些发现突出了HIF-1α在不同巨噬细胞群体中功能的异质性,并为HIF-1α如何调节不同类型巨噬细胞中的基因表达、炎症和代谢提供了新的见解。

https://cdn.ncbi.nlm.nih.gov/pmc/blobs/fc04/11971270/8f63dae00aba/41598_2025_95962_Fig6_HTML.jpg
https://cdn.ncbi.nlm.nih.gov/pmc/blobs/fc04/11971270/2cd95b7ba3e8/41598_2025_95962_Fig1_HTML.jpg
https://cdn.ncbi.nlm.nih.gov/pmc/blobs/fc04/11971270/b13159eaf322/41598_2025_95962_Fig2_HTML.jpg
https://cdn.ncbi.nlm.nih.gov/pmc/blobs/fc04/11971270/9a3558879399/41598_2025_95962_Fig3_HTML.jpg
https://cdn.ncbi.nlm.nih.gov/pmc/blobs/fc04/11971270/58c1ce154264/41598_2025_95962_Fig4_HTML.jpg
https://cdn.ncbi.nlm.nih.gov/pmc/blobs/fc04/11971270/6d6862257f8f/41598_2025_95962_Fig5_HTML.jpg
https://cdn.ncbi.nlm.nih.gov/pmc/blobs/fc04/11971270/8f63dae00aba/41598_2025_95962_Fig6_HTML.jpg
https://cdn.ncbi.nlm.nih.gov/pmc/blobs/fc04/11971270/2cd95b7ba3e8/41598_2025_95962_Fig1_HTML.jpg
https://cdn.ncbi.nlm.nih.gov/pmc/blobs/fc04/11971270/b13159eaf322/41598_2025_95962_Fig2_HTML.jpg
https://cdn.ncbi.nlm.nih.gov/pmc/blobs/fc04/11971270/9a3558879399/41598_2025_95962_Fig3_HTML.jpg
https://cdn.ncbi.nlm.nih.gov/pmc/blobs/fc04/11971270/58c1ce154264/41598_2025_95962_Fig4_HTML.jpg
https://cdn.ncbi.nlm.nih.gov/pmc/blobs/fc04/11971270/6d6862257f8f/41598_2025_95962_Fig5_HTML.jpg
https://cdn.ncbi.nlm.nih.gov/pmc/blobs/fc04/11971270/8f63dae00aba/41598_2025_95962_Fig6_HTML.jpg

相似文献

1
HIF-1 regulates mitochondrial function in bone marrow-derived macrophages but not in tissue-resident alveolar macrophages.低氧诱导因子-1(HIF-1)调节骨髓源性巨噬细胞的线粒体功能,但不调节组织驻留肺泡巨噬细胞的线粒体功能。
Sci Rep. 2025 Apr 4;15(1):11574. doi: 10.1038/s41598-025-95962-3.
2
HIF-1α regulates mitochondrial function in bone marrow-derived macrophages, but not in tissue-resident alveolar macrophages.低氧诱导因子-1α(HIF-1α)调节骨髓来源巨噬细胞的线粒体功能,但不调节组织驻留肺泡巨噬细胞的线粒体功能。
bioRxiv. 2024 Oct 14:2024.10.14.618294. doi: 10.1101/2024.10.14.618294.
3
HIF-1α induces glycolytic reprograming in tissue-resident alveolar macrophages to promote cell survival during acute lung injury.低氧诱导因子 1α 诱导组织驻留性肺泡巨噬细胞糖酵解重编程,以促进急性肺损伤期间细胞存活。
Elife. 2022 Jul 13;11:e77457. doi: 10.7554/eLife.77457.
4
Tissue-Resident Alveolar Macrophages Do Not Rely on Glycolysis for LPS-induced Inflammation.组织驻留肺泡巨噬细胞不依赖糖酵解进行 LPS 诱导的炎症反应。
Am J Respir Cell Mol Biol. 2020 Feb;62(2):243-255. doi: 10.1165/rcmb.2019-0244OC.
5
HIF-1α (Hypoxia-Inducible Factor-1α) Promotes Macrophage Necroptosis by Regulating miR-210 and miR-383.缺氧诱导因子-1α(Hypoxia-Inducible Factor-1α)通过调节 miR-210 和 miR-383 促进巨噬细胞坏死性凋亡。
Arterioscler Thromb Vasc Biol. 2020 Mar;40(3):583-596. doi: 10.1161/ATVBAHA.119.313290. Epub 2020 Jan 30.
6
Alcohol-Induced Glycolytic Shift in Alveolar Macrophages Is Mediated by Hypoxia-Inducible Factor-1 Alpha.酒精诱导的肺泡巨噬细胞糖酵解转换是由缺氧诱导因子-1α介导的。
Front Immunol. 2022 May 11;13:865492. doi: 10.3389/fimmu.2022.865492. eCollection 2022.
7
Intracellular methylglyoxal accumulation in classically activated mouse macrophages is mediated by HIF-1α.经典活化的小鼠巨噬细胞内甲基乙二醛的积累由低氧诱导因子-1α介导。
J Leukoc Biol. 2025 Mar 14;117(3). doi: 10.1093/jleuko/qiae215.
8
Enhanced glycolysis and HIF-1α activation in adipose tissue macrophages sustains local and systemic interleukin-1β production in obesity.脂肪组织巨噬细胞中糖酵解和 HIF-1α 的激活促进肥胖症局部和全身白细胞介素-1β的产生。
Sci Rep. 2020 Mar 27;10(1):5555. doi: 10.1038/s41598-020-62272-9.
9
Uncoupling of macrophage inflammation from self-renewal modulates host recovery from respiratory viral infection.巨噬细胞炎症与自我更新的解偶联调节宿主从呼吸道病毒感染中的恢复。
Immunity. 2021 Jun 8;54(6):1200-1218.e9. doi: 10.1016/j.immuni.2021.04.001. Epub 2021 May 4.
10
Macrophage HIF-1α mediates obesity-related adipose tissue dysfunction via interleukin-1 receptor-associated kinase M.巨噬细胞 HIF-1α 通过白细胞介素-1 受体相关激酶 M 介导肥胖相关脂肪组织功能障碍。
Am J Physiol Endocrinol Metab. 2020 May 1;318(5):E689-E700. doi: 10.1152/ajpendo.00174.2019. Epub 2020 Mar 10.

引用本文的文献

1
Advances in the regulation of macrophage polarization by the tumor microenvironment.肿瘤微环境对巨噬细胞极化调控的研究进展
Discov Oncol. 2025 Aug 6;16(1):1487. doi: 10.1007/s12672-025-03258-9.

本文引用的文献

1
Hypoxia and inflammation induce synergistic transcriptome turnover in macrophages.缺氧和炎症诱导巨噬细胞中的协同转录组翻转。
Cell Rep. 2024 Jul 23;43(7):114452. doi: 10.1016/j.celrep.2024.114452. Epub 2024 Jul 4.
2
FOXO transcription factors as mediators of stress adaptation.FOXO 转录因子作为应激适应的介质。
Nat Rev Mol Cell Biol. 2024 Jan;25(1):46-64. doi: 10.1038/s41580-023-00649-0. Epub 2023 Sep 14.
3
The transcription factor Foxp1 regulates aerobic glycolysis in adipocytes and myocytes.转录因子 Foxp1 调节脂肪细胞和肌细胞中的糖酵解作用。
J Biol Chem. 2023 Jun;299(6):104795. doi: 10.1016/j.jbc.2023.104795. Epub 2023 May 5.
4
Inhibition of the mitochondrial pyruvate carrier simultaneously mitigates hyperinflammation and hyperglycemia in COVID-19.抑制线粒体丙酮酸载体可同时减轻 COVID-19 中的过度炎症和高血糖。
Sci Immunol. 2023 Apr 14;8(82):eadf0348. doi: 10.1126/sciimmunol.adf0348.
5
HIF-1α induces glycolytic reprograming in tissue-resident alveolar macrophages to promote cell survival during acute lung injury.低氧诱导因子 1α 诱导组织驻留性肺泡巨噬细胞糖酵解重编程,以促进急性肺损伤期间细胞存活。
Elife. 2022 Jul 13;11:e77457. doi: 10.7554/eLife.77457.
6
Tcf12 balances the reconstitution and differentiation capacity of hematopoietic stem cell.Tcf12平衡造血干细胞的重建和分化能力。
Blood Sci. 2020 Dec 1;3(1):14-19. doi: 10.1097/BS9.0000000000000059. eCollection 2021 Jan.
7
Methyl-CpG-binding domain protein 2 contributes to renal fibrosis through promoting polarized M1 macrophages.甲基化 CpG 结合域蛋白 2 通过促进极化的 M1 巨噬细胞促进肾脏纤维化。
Cell Death Dis. 2022 Feb 8;13(2):125. doi: 10.1038/s41419-022-04577-3.
8
Spi-B Promotes the Recruitment of Tumor-Associated Macrophages Enhancing CCL4 Expression in Lung Cancer.Spi-B促进肿瘤相关巨噬细胞的募集,增强肺癌中CCL4的表达。
Front Oncol. 2021 Jun 1;11:659131. doi: 10.3389/fonc.2021.659131. eCollection 2021.
9
Uncoupling of macrophage inflammation from self-renewal modulates host recovery from respiratory viral infection.巨噬细胞炎症与自我更新的解偶联调节宿主从呼吸道病毒感染中的恢复。
Immunity. 2021 Jun 8;54(6):1200-1218.e9. doi: 10.1016/j.immuni.2021.04.001. Epub 2021 May 4.
10
Lef-1 controls cell cycle progression in airway basal cells to regulate proliferation and differentiation.Lef-1 控制气道基底细胞的细胞周期进程,以调节增殖和分化。
Stem Cells. 2021 Sep;39(9):1221-1235. doi: 10.1002/stem.3386. Epub 2021 May 14.