Suppr超能文献

皮肤微囊性/网状神经鞘瘤:1例罕见病例报告及文献综述

Microcystic/Reticular Schwannoma of the Skin: A Report of a Rare Case and Brief Literature Review.

作者信息

Medepalli Vidya, Cohen Athena, Schaffer András, Delgado Rendon Eric, Inglese Marc

机构信息

Dermatology, University of Central Florida, Tallahassee, USA.

Dermatology, Dermatology Associates of Tallahassee, Tallahassee, USA.

出版信息

Cureus. 2025 Mar 10;17(3):e80343. doi: 10.7759/cureus.80343. eCollection 2025 Mar.

Abstract

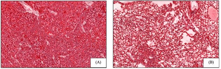
Schwannomas, categorized under benign peripheral nerve sheath tumors, exhibit a range of rare histological variants, including ancient, plexiform, pseudoglandular, epithelioid, and microcystic/reticular (MR). These variants pose a significant diagnostic challenge. In this report, we describe a case of a 34-year-old female who presented with a two-year history of a mass on her upper back. Histopathological examination revealed a well-defined and encapsulated subcutaneous nodule displaying a biphasic architecture. The predominant component consisted of hypocellular spindle cells forming reticular and cystic spaces adjacent to compressed hypercellular areas. Immunohistochemistry displayed diffuse and strong positivity for S-100 and SOX-10 while lacking expression of specific melanocytic markers, anaplastic lymphoma kinase (ALK), and cytokeratins (CKs). Intracapsular spindle cells were positive for epithelial membrane antigen (EMA). Based on these distinctive features, we arrived at the diagnosis of an MR schwannoma, an entity rarely reported in the skin. We will discuss the differential diagnosis of cutaneous neoplasms exhibiting reticular and microcystic patterns.

摘要

施万细胞瘤属于良性周围神经鞘瘤,具有一系列罕见的组织学变异型,包括老龄型、丛状型、假腺体型、上皮样型和微囊型/网状型(MR)。这些变异型给诊断带来了重大挑战。在本报告中,我们描述了一例34岁女性患者,她有两年的上背部肿块病史。组织病理学检查显示一个边界清晰、有包膜的皮下结节,呈现双相结构。主要成分由低细胞性梭形细胞组成,这些细胞形成网状和囊性间隙,紧邻受压的高细胞区域。免疫组化显示S-100和SOX-10弥漫性强阳性,同时缺乏特异性黑素细胞标志物、间变性淋巴瘤激酶(ALK)和细胞角蛋白(CKs)的表达。囊内梭形细胞上皮膜抗原(EMA)呈阳性。基于这些独特特征,我们诊断为MR型施万细胞瘤,这是一种在皮肤中很少报道的实体。我们将讨论表现为网状和微囊型的皮肤肿瘤的鉴别诊断。

https://cdn.ncbi.nlm.nih.gov/pmc/blobs/e98a/11980527/918965d734a5/cureus-0017-00000080343-i01.jpg

文献AI研究员

20分钟写一篇综述,助力文献阅读效率提升50倍。

立即体验

用中文搜PubMed

大模型驱动的PubMed中文搜索引擎

马上搜索

文档翻译

学术文献翻译模型,支持多种主流文档格式。

立即体验