Elbaz Eman M, Sayed Rabab H, Abdelkader Amany A, Fahim Atef Tadros
Department of Biochemistry, Faculty of Pharmacy, Cairo University, Kasr El Aini St, Cairo, 11562, Egypt.
Department of Pharmacology and Toxicology, Faculty of Pharmacy, Cairo University, Cairo, 11562, Egypt.
Mol Med. 2025 Apr 11;31(1):135. doi: 10.1186/s10020-025-01172-y.
Huntington's disease (HD) is a rare dominantly inheritable autosomal neurodegenerative disease with unclear pathophysiological pathways. In neurodegenerative disorders, including HD, necroptosis plays a significant role in neuronal death. Morin hydrate (MH), a natural bioactive flavonoid, has various pharmacological properties via orchestrating neuroinflammation, apoptosis, and necroptosis. Up to now, there is no extant data on the impact of MH on the necroptotic pathway in HD.
This research aimed to scrutinize the effect of MH on neurodegeneration initiated by 3-nitropropionic acid (3-NP) administration in rats via modulating necroptosis and apoptosis signaling pathways and compare it with necrosulfonamide (NSA) as a necroptosis inhibitor.
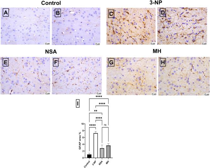
HD was triggered in male wistar rats by intraperitoneal injection of 3-NP (10 mg/kg/day) for 14 days. Intraperitoneal injection of MH (20 mg/kg/day, i.p.) or NSA (1.65 mg/kg/day, i.p.) an hour prior to 3-NP administration for 14 days. At the end of study, rats were weighed, and their locomotor activity was assessed via grip strength and open field tests. Striata of rats were investigated histologically and immunohistochemically by evaluation the expression levels of glial fibrillary acidic protein (GFAP). Striatal tumor necrosis factor-alpha (TNF-α), caspase 3, and 8 levels were quantified through the ELISA technique, while striatal expression of necroptosis-associated proteins; phosphorylated form of receptor interacting protein kinase 1/3(p-RIPK1, p-RIPK3) and phosphorylated form of mixed lineage kinase domain-like protein (p-MLKL) were assessed by the Western blot technique. Striatal succinate dehydrogenase (SDH) activity was assayed colorimetrically. Finally, gene enrichment analysis using ShinyGO was employed.
MH and NSA significantly mitigated body weight loss and ameliorated locomotor deterioration, besides reversing histological abnormalities in the striatum of rats. Intriguingly, MH exerted similar effects on specific biomarkers and molecular signals as NSA. MH and NSA inhibited neuroinflammation, apoptosis, and necroptosis by significantly decreasing the striatal (TNF-α), caspase 3, and necroptosis-associated proteins (P-RIPK1, P-RIPK3, and P-MLKL) levels. Besides, MH and NSA also decreased striatal GFAP and increased SDH activity. Gene enrichment analysis revealed a significant interaction between genes. Together, MH exerts a neuroprotective action on 3-NP-elicited HD rats via reducing neuroinflammation, apoptosis, and necroptosis. This study highlights MH as a potential protection against HD, calling for further research to confirm its neuroprotective effects.
亨廷顿病(HD)是一种罕见的常染色体显性遗传性神经退行性疾病,其病理生理途径尚不清楚。在包括HD在内的神经退行性疾病中,坏死性凋亡在神经元死亡中起重要作用。水合桑色素(MH)是一种天然生物活性黄酮类化合物,通过调节神经炎症、细胞凋亡和坏死性凋亡具有多种药理特性。到目前为止,尚无关于MH对HD坏死性凋亡途径影响的现有数据。
本研究旨在通过调节坏死性凋亡和细胞凋亡信号通路,研究MH对3-硝基丙酸(3-NP)诱导的大鼠神经退行性变的影响,并将其与坏死性凋亡抑制剂坏死磺酰胺(NSA)进行比较。
雄性Wistar大鼠腹腔注射3-NP(10mg/kg/天)14天以诱发HD。在注射3-NP前1小时腹腔注射MH(20mg/kg/天,腹腔注射)或NSA(1.65mg/kg/天,腹腔注射),持续14天。在研究结束时,对大鼠进行称重,并通过握力和旷场试验评估其运动活性。通过评估胶质纤维酸性蛋白(GFAP)的表达水平,对大鼠纹状体进行组织学和免疫组织化学研究。通过ELISA技术定量纹状体肿瘤坏死因子-α(TNF-α)、半胱天冬酶3和8的水平,而通过蛋白质免疫印迹技术评估坏死性凋亡相关蛋白的纹状体表达;受体相互作用蛋白激酶1/3的磷酸化形式(p-RIPK1、p-RIPK3)和混合谱系激酶结构域样蛋白的磷酸化形式(p-MLKL)。用比色法测定纹状体琥珀酸脱氢酶(SDH)活性。最后,采用ShinyGO进行基因富集分析。
MH和NSA显著减轻体重减轻,改善运动功能恶化,同时逆转大鼠纹状体的组织学异常。有趣的是,MH对特定生物标志物和分子信号的影响与NSA相似。MH和NSA通过显著降低纹状体(TNF-α)、半胱天冬酶3和坏死性凋亡相关蛋白(P-RIPK1、P-RIPK3和P-MLKL)水平来抑制神经炎症、细胞凋亡和坏死性凋亡。此外,MH和NSA还降低了纹状体GFAP水平并增加了SDH活性。基因富集分析揭示了基因之间的显著相互作用。总之,MH通过减少神经炎症、细胞凋亡和坏死性凋亡,对3-NP诱导的HD大鼠发挥神经保护作用。本研究强调了MH作为一种潜在的抗HD保护剂,需要进一步研究以证实其神经保护作用。