Suppr超能文献

一例揭示梭形细胞脂肪瘤的病例报告。

A case report unveiling spindle cell lipoma.

作者信息

Dudhe Sakshi, Nimodia Devyansh, Mishra Gaurav V, Parihar Pratapsingh Hanuman, Bhangale Paritosh, Kumari Anjali, Kotla Rishitha

机构信息

Department of Radiodiagnosis, Datta Meghe Institute of Medical Sciences, Wardha, Maharashtra, India, 442001.

Department of Psychiatry, Datta Meghe Institute of Medical Sciences, Wardha, Maharashtra, India, 442001.

出版信息

Radiol Case Rep. 2025 Mar 28;20(6):3010-3015. doi: 10.1016/j.radcr.2025.03.009. eCollection 2025 Jun.

Abstract

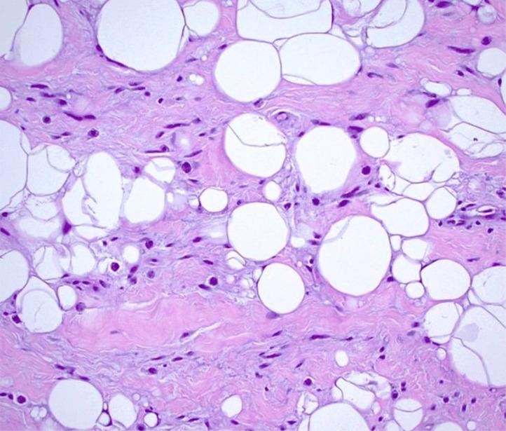
Spindle cell lipoma (SCL) represents an infrequent subtype of lipoma distinguished by its distinctive histopathological characteristics and tendency to localize in the subcutaneous tissues of the upper back, neck, and shoulder regions. In this report, we describe an unusual instance of SCL manifesting in the cervical area of a 62-year-old female individual. The patient exhibited a progressively enlarging painless mass situated in the left supraclavicular region for 8 years. Radiographic assessments disclosed a clearly demarcated, enclosed mass indicative of a lipomatous lesion. Microscopic analysis of the surgically removed specimen verified the presence of SCL, featuring mature adipocytes interspersed with spindle cells and collagen fibers. Subsequent immunohistochemical testing corroborated the diagnosis through the detection of CD34 positivity and S-100 protein negativity. Subsequent to surgical excision, the patient experienced an uneventful recovery period, devoid of any signs of recurrence throughout the monitoring phase. Despite its rarity, SCL should be contemplated in the differential diagnosis of neck masses, particularly when radiological findings point towards adipose tissue-related neoplasms. Timely identification and suitable intervention play a pivotal role in ensuring positive prognoses for individuals afflicted with SCL in the neck region.

摘要

梭形细胞脂肪瘤(SCL)是一种罕见的脂肪瘤亚型,其特征在于独特的组织病理学特征,并倾向于位于上背部、颈部和肩部区域的皮下组织中。在本报告中,我们描述了一例发生在一名62岁女性颈部区域的罕见SCL病例。患者左侧锁骨上区域出现一个逐渐增大的无痛性肿块,持续8年。影像学评估显示有一个边界清晰的包膜肿块,提示为脂肪瘤性病变。对手术切除标本的显微镜分析证实存在SCL,其特征为成熟脂肪细胞与梭形细胞和胶原纤维相间分布。随后的免疫组织化学检测通过检测CD34阳性和S-100蛋白阴性证实了诊断。手术切除后,患者恢复顺利,在整个监测期内无任何复发迹象。尽管SCL罕见,但在颈部肿块的鉴别诊断中应考虑到它,特别是当影像学表现指向脂肪组织相关肿瘤时。及时识别和适当干预对于确保颈部SCL患者的良好预后起着关键作用。

https://cdn.ncbi.nlm.nih.gov/pmc/blobs/e06d/11993147/fdd9b39ef976/gr1.jpg

文献AI研究员

20分钟写一篇综述,助力文献阅读效率提升50倍。

立即体验

用中文搜PubMed

大模型驱动的PubMed中文搜索引擎

马上搜索

文档翻译

学术文献翻译模型,支持多种主流文档格式。

立即体验