Suppr超能文献

白藜芦醇可减轻衰老诱导的大鼠心脏线粒体功能障碍及线粒体介导的细胞凋亡。

Resveratrol attenuates aging-induced mitochondrial dysfunction and mitochondria-mediated apoptosis in the rat heart.

作者信息

Choi Youngju, No Mi-Hyun, Heo Jun-Won, Cho Eun-Jeong, Park Dong-Ho, Kang Ju-Hee, Kim Chang-Ju, Seo Dae Yun, Han Jin, Kwak Hyo-Bum

机构信息

Institute of Sports and Arts Convergence (ISAC), Inha University, Incheon 22212, Korea.

Institute for Specialized Teaching and Research, Inha University, Incheon 22212, Korea.

出版信息

Nutr Res Pract. 2025 Apr;19(2):186-199. doi: 10.4162/nrp.2025.19.2.186. Epub 2024 Oct 29.

Abstract

BACKGROUD/OBJECTIVES: Resveratrol, a natural polyphenolic compound, has potent antioxidant and anti-inflammatory properties, leading to beneficial effects against cardiovascular diseases. The purpose of this study was to determine whether resveratrol induces protective effects against aging-induced cardiac remodeling, mitochondrial dysfunction, and mitochondria-mediated apoptosis in the heart.

MATERIALS/METHODS: Thirty-two male Fischer 344 rats were divided into 4 groups: 2 groups that were orally treated with resveratrol (50 mg/kg/day) for 6 weeks (young and old resveratrol groups), and 2 control groups (young and old control groups). Mitochondrial function and mitochondria-mediated apoptotic pathway were analyzed in cardiac muscle fibers from the left ventricle.

RESULTS

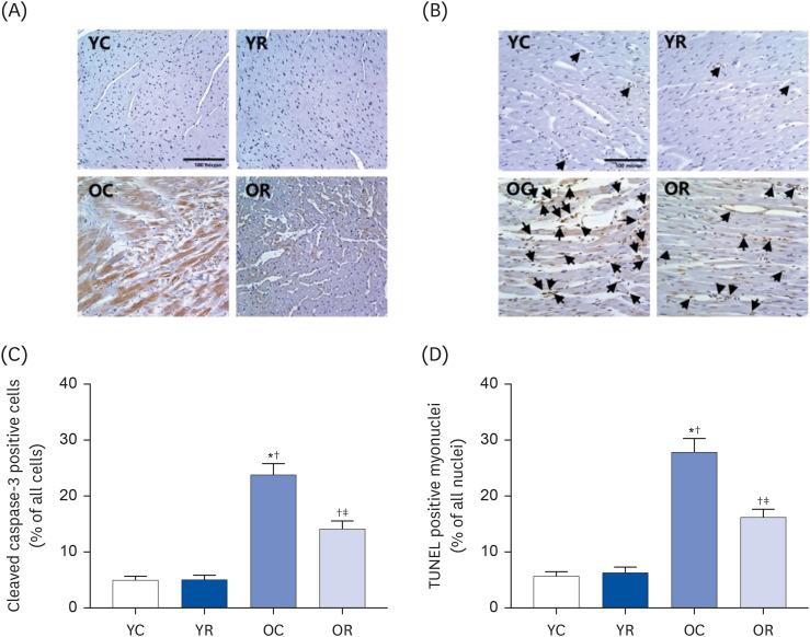
Resveratrol significantly reduced cardiac hypertrophy and remodeling in aging hearts. In addition, resveratrol significantly ameliorated aging-induced mitochondrial dysfunction (e.g., decreased oxygen respiration and increased hydrogen peroxide emission) and mitochondria-dependent apoptotic signaling (the Bax/Bcl-2 ratio, mitochondrial permeability transition pore opening sensitivity, and cleaved caspase-3 protein levels). Resveratrol also significantly attenuated aging-induced apoptosis (determined via cleaved caspase-3 staining and TUNEL-positive myonuclei) in cardiac muscles.

CONCLUSION

This study demonstrates that resveratrol treatment has a beneficial effect on aging-induced cardiac remodeling by ameliorating mitochondrial dysfunction and inhibiting mitochondria-mediated apoptosis in the heart.

摘要

背景/目的:白藜芦醇是一种天然多酚化合物,具有强大的抗氧化和抗炎特性,对心血管疾病有有益作用。本研究的目的是确定白藜芦醇是否能对衰老诱导的心脏重塑、线粒体功能障碍及心脏中线粒体介导的细胞凋亡产生保护作用。

材料/方法:32只雄性Fischer 344大鼠分为4组:2组经口给予白藜芦醇(50毫克/千克/天),持续6周(年轻和老年白藜芦醇组),以及2个对照组(年轻和老年对照组)。对左心室心肌纤维的线粒体功能和线粒体介导的凋亡途径进行分析。

结果

白藜芦醇显著减轻衰老心脏的心肌肥厚和重塑。此外,白藜芦醇显著改善衰老诱导的线粒体功能障碍(如氧呼吸降低和过氧化氢释放增加)以及线粒体依赖性凋亡信号(Bax/Bcl-2比值、线粒体通透性转换孔开放敏感性和裂解的半胱天冬酶-3蛋白水平)。白藜芦醇还显著减轻衰老诱导的心肌细胞凋亡(通过裂解的半胱天冬酶-3染色和TUNEL阳性肌细胞核确定)。

结论

本研究表明,白藜芦醇治疗通过改善线粒体功能障碍和抑制心脏中线粒体介导的细胞凋亡,对衰老诱导的心脏重塑具有有益作用。

https://cdn.ncbi.nlm.nih.gov/pmc/blobs/a8e1/11982693/1d39ce116719/nrp-19-186-g001.jpg

文献检索

告别复杂PubMed语法,用中文像聊天一样搜索,搜遍4000万医学文献。AI智能推荐,让科研检索更轻松。

立即免费搜索

文件翻译

保留排版,准确专业,支持PDF/Word/PPT等文件格式,支持 12+语言互译。

免费翻译文档

深度研究

AI帮你快速写综述,25分钟生成高质量综述,智能提取关键信息,辅助科研写作。

立即免费体验