Lee Chansu, Kim Ji Eun, Cha Yeo-Eun, Moon Ji Hwan, Kim Eun Ran, Chang Dong Kyung, Kim Young-Ho, Hong Sung Noh
Department of Medicine, Samsung Medical Center, Sungkyunkwan University School of Medicine, Seoul, Republic of Korea.
Stem Cell and Regenerative Medicine Center, Samsung Medical Center, Seoul, Republic of Korea.
Front Immunol. 2025 Mar 31;16:1523984. doi: 10.3389/fimmu.2025.1523984. eCollection 2025.
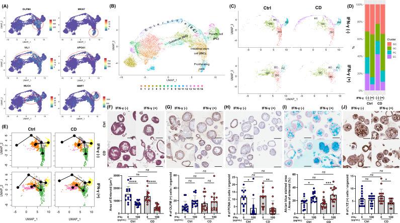
Crohn's disease (CD) is a chronic inflammatory bowel disease (IBD) and is considered a Th1-mediated disease, supported by the over-expression of interferon-gamma (IFN-γ) in the intestinal lamina propria. IFN-γ has a pleiotropic effect on the intestinal epithelial cells (IECs), suggesting that IFN-γ-induced responses may differ between epithelial cell types.
We established human small intestinal organoids (enteroids) derived from non-IBD controls and CD patients. Using human enteroids, the major response of IECs induced by IFN-γ was evaluated, focusing on the IFN-γ-induced programmed cell death (PCD) pathway. Identified IFN-γ-induced responses were validated in surgically resected intestinal samples and publicly available single-cell RNA-sequencing datasets.
IFN-γ stimulated programmed cell death (PCD) of IECs in both control and CD enteroids in a dose-dependent manner. Pyroptosis, apoptosis. and necroptosis were activated in enteroids, suggesting that PANoptosis was the main process of IFN-γ-induced PCD in IECs. The response to IFN-γ depends on the cell type of the IECs. IFN-γ induced depletion of enterocytes with upregulation of PANoptosis-associated genes, while leading to expansion of goblet cells without significant change in PANoptosis-associated gene expression. Individual PCD inhibitors were insufficient to block IFN-γ-induced cytotoxicity, whereas the selective JAK1 inhibitor (upadacitinib) effectively blocked IFN-γ-induced cytotoxicity and PANoptosis. Furthermore, PANoptosis was significantly activated in surgically resected tissues and in publicly available single-cell RNA-sequencing datasets of intestinal tissues from patients with CD.
IFN-γ induces PANoptosis in enterocytes, which can be treated with a selective JAK1 inhibitor in patients with CD.
克罗恩病(CD)是一种慢性炎症性肠病(IBD),被认为是一种由Th1介导的疾病,肠道固有层中γ干扰素(IFN-γ)的过度表达支持了这一观点。IFN-γ对肠上皮细胞(IECs)具有多效性作用,这表明IFN-γ诱导的反应可能因上皮细胞类型而异。
我们建立了源自非IBD对照和CD患者的人小肠类器官(肠小体)。利用人肠小体,评估了IFN-γ诱导的IECs的主要反应,重点关注IFN-γ诱导的程序性细胞死亡(PCD)途径。在手术切除的肠道样本和公开可用的单细胞RNA测序数据集中验证了鉴定出的IFN-γ诱导的反应。
IFN-γ以剂量依赖性方式刺激对照和CD肠小体中IECs的程序性细胞死亡(PCD)。肠小体中焦亡、凋亡和坏死性凋亡被激活,这表明泛凋亡是IFN-γ诱导的IECs中PCD的主要过程。对IFN-γ的反应取决于IECs的细胞类型。IFN-γ诱导肠细胞耗竭,同时泛凋亡相关基因上调,而导致杯状细胞扩增,泛凋亡相关基因表达无显著变化。单独的PCD抑制剂不足以阻断IFN-γ诱导的细胞毒性,而选择性JAK1抑制剂(乌帕替尼)可有效阻断IFN-γ诱导的细胞毒性和泛凋亡。此外,在手术切除的组织以及CD患者肠道组织的公开可用单细胞RNA测序数据集中,泛凋亡被显著激活。
IFN-γ在肠细胞中诱导泛凋亡,CD患者可用选择性JAK1抑制剂进行治疗。