Suppr超能文献

丽蝇蛹集金小蜂属的颅腺系统:化学生态学、进化发育生物学与描述性分类学之间的联系(膜翅目:小蜂总科)

The cranial gland system of Nasonia spp.: a link between chemical ecology, evo-devo, and descriptive taxonomy (Hymenoptera: Chalcidoidea).

作者信息

Hoag Holly A, Raymond Monique, Ulmer Jonah M, Schwéger Szabina, van de Kamp Thomas, Hamann Elias, Zuber Marcus, Werren John H, Gaucher Grace, Hazen Missy, Mikó István

机构信息

Department of Biological Sciences, University of New Hampshire, Durham, NH, USA.

Boston IVF, Waltham, MA, USA.

出版信息

J Insect Sci. 2025 Mar 14;25(2). doi: 10.1093/jisesa/ieaf034.

Abstract

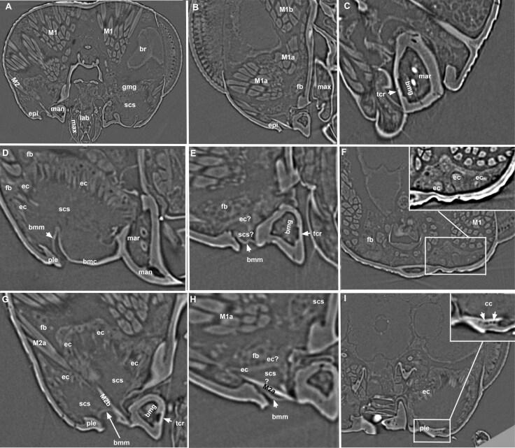
Nasonia is an emerging model system for investigating the evolution of complex species-specific behavioral and morphological phenotypes. For example, the male head shape differs considerably between Nasonia Ashmead (Hymenoptera: Chalcidoidea) species. In addition, differences in courtship behaviors, and possibly influences of a male-specific aphrodisiac pheromone, contribute to interspecific prezygotic isolation. However, the possible relationships between courtship, pheromone signaling, and male head shape are unknown. Using multimodal imaging techniques, we conducted a comprehensive examination of the skeletomuscular and exocrine gland systems of the lower head region of all 4 Nasonia species and their sister genus Trichomalopsis Crawford (Hymenoptera: Chalcidoidea). This analysis reveals the presence of 3 undescribed exocrine glands in the lower head region and a unique mandibular modification, the basal mandibular carina, that might be involved in pheromone spread. We performed morphometric and volumetric analyses using 3D datasets from synchrotron X-ray microtomography and found that the size of the genomandibular gland and the corresponding basal mandibular carina correlates with both interspecific courtship length and head shape differences, indicating that this gland is a likely source of the oral aphrodisiac pheromone. These differences correlate with the prevalence of within-host mating rather than phylogenetic relatedness in Nasonia species, with increased within-host mating occurring in species with larger genomandibular glands. Our findings create an opportunity to better understand the complex gene regulatory networks underlying superficially unrelated traits and serve as a link between behavior, chemical ecology, evo-devo, and descriptive taxonomy.

摘要

丽蝇蛹集金小蜂是用于研究复杂物种特异性行为和形态表型进化的新兴模型系统。例如,丽蝇蛹集金小蜂属(膜翅目:小蜂总科)不同物种间雄性头部形状差异显著。此外,求偶行为的差异以及可能存在的雄性特异性性信息素的影响,导致了种间合子前隔离。然而,求偶、信息素信号传导与雄性头部形状之间可能存在的关系尚不清楚。我们使用多模态成像技术,对所有4种丽蝇蛹集金小蜂及其姐妹属Trichomalopsis Crawford(膜翅目:小蜂总科)的头部下部区域的骨骼肌肉和外分泌腺系统进行了全面检查。该分析揭示了头部下部区域存在3种未描述的外分泌腺以及一种独特的下颌修饰——下颌基部隆线,这可能与信息素传播有关。我们使用同步加速器X射线显微断层扫描的3D数据集进行了形态测量和体积分析,发现基因组下颌腺的大小和相应的下颌基部隆线与种间求偶时长和头部形状差异均相关,表明该腺体可能是口部性信息素的来源。这些差异与丽蝇蛹集金小蜂物种在寄主体内交配的发生率有关,而非系统发育相关性,基因组下颌腺较大的物种在寄主体内交配发生率更高。我们的研究结果为更好地理解表面上不相关性状背后的复杂基因调控网络创造了机会,并成为行为、化学生态学、进化发育生物学和描述性分类学之间的纽带。

https://cdn.ncbi.nlm.nih.gov/pmc/blobs/5599/11997971/2605dac13921/ieaf034_fig1.jpg

文献AI研究员

20分钟写一篇综述,助力文献阅读效率提升50倍。

立即体验

用中文搜PubMed

大模型驱动的PubMed中文搜索引擎

马上搜索

文档翻译

学术文献翻译模型,支持多种主流文档格式。

立即体验