Suppr超能文献

高强度聚焦超声消融子宫肌瘤后早期子宫浆肌层损伤的磁共振成像评估及影响因素分析

Magnetic resonance imaging evaluation and analysis of influencing factors of early uterine seromuscular layer injury after high-intensity focused ultrasound ablation of uterine fibroids.

作者信息

Shen Li, Huang Xiao, Yang Quan

机构信息

Department of Radiology, Yongchuan Hospital of Chongqing Medical University, Chongqing, China.

出版信息

Quant Imaging Med Surg. 2025 Apr 1;15(4):3084-3092. doi: 10.21037/qims-24-1062. Epub 2025 Mar 19.

Abstract

BACKGROUND

High-intensity focused ultrasound (HIFU) is being used more frequently to treat uterine fibroids, with many researchers conducting studies on efficacy prediction and evaluation. However, research related to seromuscular layer injury is limited. Therefore, this study aimed to identify the factors contributing to seromuscular layer injury following HIFU ablation of uterine fibroids, using magnetic resonance imaging (MRI) as the evaluation tool.

METHODS

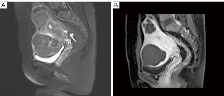
A retrospective cross-sectional study was conducted, involving imaging data from 194 patients diagnosed and treated with HIFU ablation for uterine fibroids at our institution. Patients were divided into the seromuscular-layer injury group and the intact group based on the presence or absence of perfusion defects on postoperative sagittal or axial enhanced T1-weighted imaging (T1WI) magnetic resonance images. Clinical and imaging traits potentially linked to seromuscular-layer injury were gathered and evaluated across the two groups.

RESULTS

The intact group comprised 139 cases, whereas the injury group comprised 55 cases. Logistic regression analysis revealed that subserous myoma (P=0.008), age ≤43.5 years (P=0.008), the thickness of the rectus abdominis muscle ≤8.06 mm (P=0.001), the energy efficiency factor ≤3.6 J/mm (P=0.002), the non-perfused volume ratio ≥67% (P=0.032), and the number of quadrants of peripheral muscle layer ≤1 (P=0.015) were the most significant influencing factors for seromuscular-layer injury in patients with uterine fibroids after HIFU treatment.

CONCLUSIONS

There is a possibility of seromuscular-layer injury after using HIFU to treat uterine fibroids, and MRI plays an important role in the early diagnosis of seromuscular-layer injury. Studying the influencing factors of seromuscular-layer injury provides a reference basis for timely clinical intervention.

摘要

背景

高强度聚焦超声(HIFU)在子宫肌瘤治疗中的应用日益频繁,许多研究者开展了疗效预测与评估方面的研究。然而,关于浆膜肌层损伤的相关研究有限。因此,本研究旨在以磁共振成像(MRI)作为评估工具,确定HIFU消融子宫肌瘤后导致浆膜肌层损伤的因素。

方法

进行了一项回顾性横断面研究,纳入了在本机构接受HIFU消融治疗子宫肌瘤的194例患者的影像数据。根据术后矢状位或轴位增强T1加权成像(T1WI)磁共振图像上是否存在灌注缺损,将患者分为浆膜肌层损伤组和完整组。收集并评估两组中可能与浆膜肌层损伤相关的临床和影像特征。

结果

完整组139例,损伤组55例。Logistic回归分析显示,浆膜下肌瘤(P = 0.008)、年龄≤43.5岁(P = 0.008)、腹直肌厚度≤8.06 mm(P = 0.001)、能量效率因子≤3.6 J/mm(P = 0.002)、无灌注体积比≥67%(P = 0.032)以及外周肌层象限数≤1(P = 0.015)是HIFU治疗后子宫肌瘤患者浆膜肌层损伤的最显著影响因素。

结论

使用HIFU治疗子宫肌瘤后存在浆膜肌层损伤的可能性,MRI在浆膜肌层损伤的早期诊断中发挥重要作用。研究浆膜肌层损伤的影响因素可为临床及时干预提供参考依据。

https://cdn.ncbi.nlm.nih.gov/pmc/blobs/46b8/11994487/f03bf3480d9d/qims-15-04-3084-f1.jpg

文献AI研究员

20分钟写一篇综述,助力文献阅读效率提升50倍。

立即体验

用中文搜PubMed

大模型驱动的PubMed中文搜索引擎

马上搜索

文档翻译

学术文献翻译模型,支持多种主流文档格式。

立即体验