• 文献检索
  • 文档翻译
  • 深度研究
  • 学术资讯
  • Suppr Zotero 插件Zotero 插件
  • 邀请有礼
  • 套餐&价格
  • 历史记录
应用&插件
Suppr Zotero 插件Zotero 插件浏览器插件Mac 客户端Windows 客户端微信小程序
定价
高级版会员购买积分包购买API积分包
服务
文献检索文档翻译深度研究API 文档MCP 服务
关于我们
关于 Suppr公司介绍联系我们用户协议隐私条款
关注我们

Suppr 超能文献

核心技术专利:CN118964589B侵权必究
粤ICP备2023148730 号-1Suppr @ 2026

文献检索

告别复杂PubMed语法,用中文像聊天一样搜索,搜遍4000万医学文献。AI智能推荐,让科研检索更轻松。

立即免费搜索

文件翻译

保留排版,准确专业,支持PDF/Word/PPT等文件格式,支持 12+语言互译。

免费翻译文档

深度研究

AI帮你快速写综述,25分钟生成高质量综述,智能提取关键信息,辅助科研写作。

立即免费体验

眼肌型重症肌无力与垂体卒中的同期表现:诊断困境

Contemporaneous Presentation of Ocular Myasthenia Gravis With Pituitary Apoplexy: A Diagnostic Dilemma.

作者信息

Perera Isuru, Fernando Hiruni, Janaka Kvc, Gamaarachchi Dimithri, Rathnayake Harsha

机构信息

Internal Medicine, Sri Jayawardenepura General Hospital, Colombo, LKA.

出版信息

Cureus. 2025 Mar 16;17(3):e80666. doi: 10.7759/cureus.80666. eCollection 2025 Mar.

DOI:10.7759/cureus.80666
PMID:40236367
原文链接:https://pmc.ncbi.nlm.nih.gov/articles/PMC11999230/
Abstract

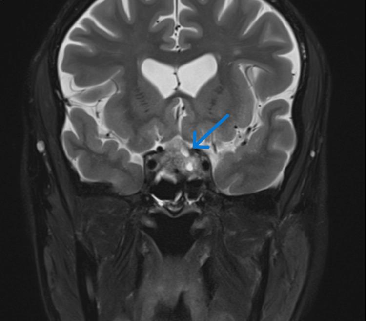
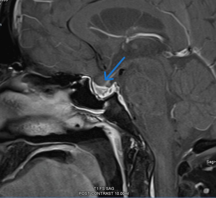
Pituitary apoplexy is a life-threatening condition caused by a rapid expansion of the pituitary tumor due to hemorrhage or infarction. It usually presents with acute onset severe headache and can also be associated with visual field defects and ophthalmoplegia. Similarly, ocular myasthenia gravis, which is an autoimmune condition causing muscle fatiguability, also presents with ophthalmoplegia, commonly ptosis and diplopia. A 53-year-old male patient with a past history of adrenal insufficiency presented with acute onset headache. On examination, he had bilateral asymmetrical partial ptosis and left-side medial rectus palsy with mild fatiguability. He had normal visual fields and sparing of the pupils. Acetylcholine receptor antibodies were positive but failed to demonstrate a decremental response in nerve conduction studies. The patient was started on neostigmine on clinical suspicion of ocular myasthenia gravis. A magnetic resonance imaging (MRI) scan of the brain was arranged to look for any intracranial pathology for persistent headache and it revealed evidence of pituitary apoplexy with compression of optic chiasm and partial obliteration of bilateral cavernous sinuses. In view of MRI findings, a diagnosis of pituitary apoplexy with third cranial nerve involvement was considered the first differential diagnosis, and the patient was started on replacement hormones while temporarily withholding neostigmine. Following multidisciplinary input, it was decided to manage the patient conservatively. A repeat MRI brain was planned to assess the evolution which revealed resolution of pituitary apoplexy. Despite this, the patient continued to have ophthalmoplegia and fatigable partial ptosis. Pyridostigmine was restarted following which the patient fully recovered, confirming the diagnosis of ocular myasthenia gravis presenting concomitantly with pituitary apoplexy.

摘要

垂体卒中是一种由垂体肿瘤因出血或梗死而迅速扩大所导致的危及生命的病症。它通常急性起病,表现为严重头痛,还可能伴有视野缺损和眼肌麻痹。同样,眼肌型重症肌无力是一种导致肌肉易疲劳的自身免疫性疾病,也表现为眼肌麻痹,常见上睑下垂和复视。一名有肾上腺功能不全病史的53岁男性患者出现急性头痛。检查发现,他有双侧不对称性部分上睑下垂和左侧内直肌麻痹,伴有轻度易疲劳性。他视野正常,瞳孔未受累。乙酰胆碱受体抗体呈阳性,但神经传导研究未显示递减反应。临床怀疑为眼肌型重症肌无力,遂开始给予患者新斯的明治疗。安排了脑部磁共振成像(MRI)扫描以查找持续性头痛的任何颅内病变,结果显示有垂体卒中的证据,视交叉受压,双侧海绵窦部分闭塞。鉴于MRI检查结果,首先考虑诊断为累及第三脑神经的垂体卒中,开始给予患者补充激素,同时暂时停用新斯的明。经过多学科会诊后,决定对患者进行保守治疗。计划再次进行脑部MRI检查以评估病情演变,结果显示垂体卒中已消退。尽管如此,患者仍有眼肌麻痹和可疲劳性部分上睑下垂。重新开始给予吡啶斯的明治疗后,患者完全康复,证实诊断为眼肌型重症肌无力与垂体卒中同时存在。

https://cdn.ncbi.nlm.nih.gov/pmc/blobs/a464/11999230/d1ce45302417/cureus-0017-00000080666-i03.jpg
https://cdn.ncbi.nlm.nih.gov/pmc/blobs/a464/11999230/a8d1e61b2688/cureus-0017-00000080666-i01.jpg
https://cdn.ncbi.nlm.nih.gov/pmc/blobs/a464/11999230/ad48ebfac211/cureus-0017-00000080666-i02.jpg
https://cdn.ncbi.nlm.nih.gov/pmc/blobs/a464/11999230/d1ce45302417/cureus-0017-00000080666-i03.jpg
https://cdn.ncbi.nlm.nih.gov/pmc/blobs/a464/11999230/a8d1e61b2688/cureus-0017-00000080666-i01.jpg
https://cdn.ncbi.nlm.nih.gov/pmc/blobs/a464/11999230/ad48ebfac211/cureus-0017-00000080666-i02.jpg
https://cdn.ncbi.nlm.nih.gov/pmc/blobs/a464/11999230/d1ce45302417/cureus-0017-00000080666-i03.jpg

相似文献

1
Contemporaneous Presentation of Ocular Myasthenia Gravis With Pituitary Apoplexy: A Diagnostic Dilemma.眼肌型重症肌无力与垂体卒中的同期表现:诊断困境
Cureus. 2025 Mar 16;17(3):e80666. doi: 10.7759/cureus.80666. eCollection 2025 Mar.
2
Myasthenia Gravis Mimicking Third Cranial Nerve Palsy: A Case Report.重症肌无力伪装成动眼神经麻痹:一例报告
J Cancer Allied Spec. 2021 Dec 3;7(1):e391. doi: 10.37029/jcas.v7i1.391. eCollection 2021.
3
Pituitary Apoplexy Presenting as Ophthalmoplegia and Altered Level of Consciousness without Headache.以眼肌麻痹和意识水平改变为表现且无头痛的垂体卒中
Case Rep Endocrinol. 2018 May 9;2018:7124364. doi: 10.1155/2018/7124364. eCollection 2018.
4
Myasthenia gravis imitating pituitary apoplexy in macroprolactinoma.巨泌乳素瘤致重症肌无力样发作酷似垂体卒中。
Hormones (Athens). 2018 Sep;17(3):423-426. doi: 10.1007/s42000-018-0036-2. Epub 2018 Jun 2.
5
Pituitary apoplexy presenting as isolated third cranial nerve palsy with ptosis : two case reports.以孤立性动眼神经麻痹伴上睑下垂为表现的垂体卒中:两例报告
J Korean Neurosurg Soc. 2009 Feb;45(2):118-21. doi: 10.3340/jkns.2009.45.2.118. Epub 2009 Feb 27.
6
Bilateral sixth cranial nerve palsy, the first presenting feature of hemorrhagic apoplexy of pituitary macroadenoma: A case report.双侧第六颅神经麻痹,垂体大腺瘤出血性卒中的首发特征:一例报告
Int J Surg Case Rep. 2022 Sep;98:107522. doi: 10.1016/j.ijscr.2022.107522. Epub 2022 Aug 15.
7
Case Report: Polyneuropathy Pituitary Apoplexy with Normal Perimetry and Initially Normal Neuroimaging.病例报告:视野正常且神经影像学最初正常的多发性神经病垂体卒中。
Optom Vis Sci. 2021 Oct 1;98(10):1139-1142. doi: 10.1097/OPX.0000000000001786.
8
Pseudopartial Third Nerve Palsy as the Presenting Sign of Ocular Myasthenia Gravis.伪部分性第三颅神经麻痹作为眼肌型重症肌无力的首发症状。
Optom Vis Sci. 2020 May;97(5):377-382. doi: 10.1097/OPX.0000000000001512.
9
A Male Patient Presents With Isolated Abducens Nerve Palsy: An Atypical Presentation of Ocular Myasthenia Gravis.一名男性患者出现孤立性展神经麻痹:眼肌型重症肌无力的非典型表现。
Cureus. 2024 Apr 3;16(4):e57501. doi: 10.7759/cureus.57501. eCollection 2024 Apr.
10
Inferior oblique muscle paresis as a sign of myasthenia gravis.下斜肌麻痹作为重症肌无力的一种体征。
J Clin Neurosci. 2016 Mar;25:50-3. doi: 10.1016/j.jocn.2015.08.026. Epub 2015 Oct 31.

本文引用的文献

1
Ocular Myasthenia Gravis: A Current Overview.重症肌无力性眼病:当前概述
Eye Brain. 2023 Feb 5;15:1-13. doi: 10.2147/EB.S389629. eCollection 2023.
2
Pituitary apoplexy presenting as isolated third cranial nerve palsy: case series.以孤立性动眼神经麻痹为表现的垂体卒中:病例系列
J Surg Case Rep. 2022 Aug 23;2022(8):rjac386. doi: 10.1093/jscr/rjac386. eCollection 2022 Aug.
3
Exacerbation of myasthenia gravis following corticosteroid treatment: what is the evidence? A systematic review.糖皮质激素治疗后重症肌无力恶化:有何证据?系统评价。
J Neurol. 2021 Dec;268(12):4573-4586. doi: 10.1007/s00415-020-10264-0. Epub 2020 Oct 16.
4
Pituitary Apoplexy: A Comprehensive Review.垂体卒中:全面综述。
Neurol India. 2020 May-Jun;68(Supplement):S72-S78. doi: 10.4103/0028-3886.287669.
5
A Rare Association between Myasthenia Gravis and a Growth Hormone Secreting Pituitary Macroadenoma: A Single Case Report.重症肌无力与分泌生长激素的垂体大腺瘤之间的罕见关联:一例报告
Oxf Med Case Reports. 2019 Jul 17;2019(7):omz064. doi: 10.1093/omcr/omz064. eCollection 2019 Jul.
6
Myasthenia gravis imitating pituitary apoplexy in macroprolactinoma.巨泌乳素瘤致重症肌无力样发作酷似垂体卒中。
Hormones (Athens). 2018 Sep;17(3):423-426. doi: 10.1007/s42000-018-0036-2. Epub 2018 Jun 2.
7
Third, Fourth, and Sixth Cranial Nerve Palsies in Pituitary Apoplexy.垂体卒中所致的第三、第四和第六脑神经麻痹
World Neurosurg. 2016 Oct;94:447-452. doi: 10.1016/j.wneu.2016.07.026. Epub 2016 Jul 17.
8
Management of endocrine disease: pituitary tumour apoplexy.内分泌疾病的管理:垂体瘤卒中
Eur J Endocrinol. 2015 May;172(5):R179-90. doi: 10.1530/EJE-14-0794. Epub 2014 Dec 1.
9
A possible mechanism of isolated oculomotor nerve palsy by apoplexy of pituitary adenoma without cavernous sinus invasion: a report of two cases.垂体瘤卒中致孤立性动眼神经麻痹的可能机制,未侵犯海绵窦:两例报告。
Acta Neurochir (Wien). 2011 Dec;153(12):2453-6; discussion 2456. doi: 10.1007/s00701-011-1165-4. Epub 2011 Sep 27.