Suppr超能文献

巨大主动脉弓动脉瘤憩室的血管内治疗:一例报告

Endovascular management of a giant aortic arch aneurysm diverticulum: a case report.

作者信息

Sultan Sherif, Acharya Yogesh, Ibrahim Riyad, Parodi Juan Carlos, Wijns William, Soliman Osama

机构信息

Department of Vascular and Endovascular Surgery, Western Vascular Institute, University Hospital Galway, University of Galway, Newcastle Rd, Galway H91 YR71, Ireland.

Department of Vascular and Endovascular Surgery, Galway Clinic, and Royal College of Surgeons in Ireland and University of Galway, Galway Affiliated Hospital, Doughiska Rd, Galway H91 HHT0, Ireland.

出版信息

Eur Heart J Case Rep. 2025 Feb 5;9(2):ytaf054. doi: 10.1093/ehjcr/ytaf054. eCollection 2025 Feb.

Abstract

BACKGROUND

Thoracic aortic diverticulum, or Kommerell's aneurysm, is a developmental outpouching at the anteromedial aspect of the thoracic aorta, specifically at the site of the aortic isthmus, with an incidence of up to 9% in adults. It represents a notable anatomical variation that, over time, undergoes aneurysmal dilatation, posing the risk of rupture.

CASE SUMMARY

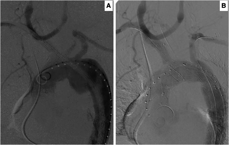
We present a 66-year-old male initially referred with a 7.35 cm giant thoracic aortic arch diverticulum (TAD). It was initially discovered incidentally as a 2.1 cm type 3 Salomonowitz; however, it subsequently increased to 7.36 cm following the third COVID-19 infection with cytokine storm. He underwent a right-to-left carotid necklace C-shaped configuration cross-over bypass using an 8 mm ringed Dacron silver graft. Six weeks post-bypass, the patient underwent a successful repair of TAD using the NEXUS-Endospan-Artivion system (Artivion™, GA 30144, USA), employing a double inner branch to the innominate and left subclavian artery through a single groin approach. Postoperatively, he recovered fully without any neurological or cardiovascular issues with no signs of endoleaks, graft migration, or separation.

DISCUSSION

The saccular nature of the aneurysm at the arch reveals a distinctive set of challenges, mainly the low wall shear stress, which exposes their malignant potential, emphasizing the crucial need for intervention, especially when surpassing the critical 30 mm threshold. This premiere marks a significant milestone by introducing the 'IDEALIST' Artivion/Endospan Nexus, which pioneers a total endovascular approach post-CE marking, ushering in a new era in aortic arch interventions.

摘要

背景

胸主动脉憩室,即科默雷尔动脉瘤,是胸主动脉前内侧的一个发育性袋状膨出,具体位于主动脉峡部,在成年人中的发生率高达9%。它代表了一种显著的解剖变异,随着时间的推移会发生动脉瘤样扩张,存在破裂风险。

病例摘要

我们报告一名66岁男性,最初因一个7.35厘米的巨大胸主动脉弓憩室(TAD)前来就诊。它最初偶然被发现为一个2.1厘米的3型萨洛莫诺维茨憩室;然而,在第三次感染新冠病毒并出现细胞因子风暴后,它随后增大到了7.36厘米。他接受了使用8毫米带环涤纶银移植物的右向左颈动脉链C形交叉旁路手术。旁路手术后六周,患者使用NEXUS - Endospan - Artivion系统(美国Artivion™,GA 30144)通过单腹股沟入路对无名动脉和左锁骨下动脉采用双内分支成功修复了TAD。术后,他完全康复,没有任何神经或心血管问题,也没有内漏、移植物移位或分离的迹象。

讨论

弓部动脉瘤的囊状性质带来了一系列独特的挑战,主要是低壁面切应力,这暴露了它们的恶性潜能,强调了干预的迫切需求,尤其是当超过关键的30毫米阈值时。这次首例手术通过引入“理想主义者”Artivion/Endospan Nexus标志着一个重要的里程碑,该系统在CE标志后开创了完全腔内治疗方法,开启了主动脉弓介入治疗的新时代。

https://cdn.ncbi.nlm.nih.gov/pmc/blobs/9609/11997767/8cf1a2b651c6/ytaf054f1.jpg

文献检索

告别复杂PubMed语法,用中文像聊天一样搜索,搜遍4000万医学文献。AI智能推荐,让科研检索更轻松。

立即免费搜索

文件翻译

保留排版,准确专业,支持PDF/Word/PPT等文件格式,支持 12+语言互译。

免费翻译文档

深度研究

AI帮你快速写综述,25分钟生成高质量综述,智能提取关键信息,辅助科研写作。

立即免费体验