Suppr超能文献

阿糖胞苷可抑制H3 K27改变的脊髓弥漫性中线胶质瘤生长并增强免疫检查点阻断敏感性。

Ara-C suppresses H3 K27-altered spinal cord diffuse midline glioma growth and enhances immune checkpoint blockade sensitivity.

作者信息

Pang Bo, Wu Yilin, An SongYuan, Chang Yuzhou, Yan Hao, Lin Han, Zhao Zheng, Wu Fan, Chang Qing, Jia Wenqing, Jiang Tao, Wang Yongzhi, Chai Ruichao

机构信息

Department of Molecular Neuropathology, Department of Neuropathology, Beijing Neurosurgical Institute, Capital Medical University, Beijing, China.

Department of Neurosurgery, Beijing Tiantan Hospital, Capital Medical University, Beijing, China.

出版信息

Sci Adv. 2025 Apr 18;11(16):eadu3956. doi: 10.1126/sciadv.adu3956. Epub 2025 Apr 16.

Abstract

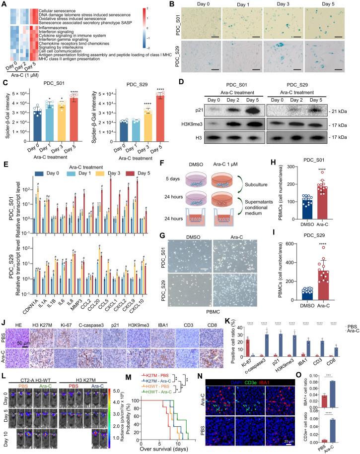
H3 K27-altered spinal cord diffuse midline glioma (H3-SCDMG) poses therapeutic challenges. Analysis of 73 clinical samples revealed heightened proliferation in H3-SCDMG versus wild-type tumors, suggesting therapeutic vulnerabilities. Drug screening identified cytarabine (Ara-C) as highly effective in inhibiting proliferation in H3 K27M cell models, recently established patient-derived cells, and patient-derived xenograft models. Mechanistically, Ara-C can suppress tumor growth through DNA damage, cell-cycle arrest, and apoptosis. An investigator-initiated clinical trial involving four patients showed benefits in three cases. In addition, a subset of cells exhibited senescence and senescence-associated secretory phenotype post-Ara-C treatment, accompanied by several immune checkpoint ligands' up-regulation and more immune cell infiltration. Combining Ara-C with dual Programmed cell death protein 1 (PD-1) and TIGIT blockade emerged as a promising strategy to disrupt immune evasion by senescent cells, enhancing antitumor responses. These findings highlight Ara-C's potential as a monotherapy and in synergy with immunotherapy for H3-SCDMG, offering potential strategies for clinical management.

摘要

H3 K27改变的脊髓弥漫性中线胶质瘤(H3-SCDMG)带来了治疗挑战。对73份临床样本的分析显示,与野生型肿瘤相比,H3-SCDMG的增殖增强,提示存在治疗弱点。药物筛选确定阿糖胞苷(Ara-C)在抑制H3 K27M细胞模型、最近建立的患者来源细胞和患者来源异种移植模型中的增殖方面非常有效。从机制上讲,Ara-C可通过DNA损伤、细胞周期阻滞和凋亡来抑制肿瘤生长。一项由研究者发起的涉及4名患者的临床试验显示,3例患者有获益。此外,一部分细胞在Ara-C治疗后表现出衰老和衰老相关分泌表型,同时伴有几种免疫检查点配体的上调和更多免疫细胞浸润。将Ara-C与双重程序性细胞死亡蛋白1(PD-1)和TIGIT阻断相结合,成为一种有前景的策略,可通过衰老细胞破坏免疫逃逸,增强抗肿瘤反应。这些发现凸显了Ara-C作为单一疗法以及与免疫疗法联合治疗H3-SCDMG的潜力,为临床管理提供了潜在策略。

https://cdn.ncbi.nlm.nih.gov/pmc/blobs/1878/12002095/8898a58b0269/sciadv.adu3956-f1.jpg

文献AI研究员

20分钟写一篇综述,助力文献阅读效率提升50倍。

立即体验

用中文搜PubMed

大模型驱动的PubMed中文搜索引擎

马上搜索

文档翻译

学术文献翻译模型,支持多种主流文档格式。

立即体验