Suppr超能文献

通过抑制BCL-2增强p53野生型和突变型三阴性乳腺癌中阿霉素的活性。

Potentiating doxorubicin activity through BCL-2 inhibition in p53 wild-type and mutated triple-negative breast cancer.

作者信息

Schreiber Anna R, Smoots Stephen G, Jackson Marilyn M, Bagby Stacey M, Dus Evan D, Dominguez Adrian T A, Binns Cameron A, Pitts Todd M, Diamond Jennifer R

机构信息

Division of Medical Oncology, University of Colorado, Aurora, CO, United States.

出版信息

Front Oncol. 2025 Apr 2;15:1549282. doi: 10.3389/fonc.2025.1549282. eCollection 2025.

Abstract

BACKGROUND

Triple-negative breast cancer (TNBC) is an aggressive sub-type of breast cancer that is associated with higher rates of recurrent disease. Chemotherapy with an anthracycline is an integral part of curative therapy but resistance remains a clinical problem. Cellular senescence is a terminal cell fate that has been observed in models of doxorubicin resistance. Identifying novel combinations with doxorubicin to eliminate senescent cells and promote apoptosis may lead to improved clinical outcomes. The purpose of this study was to investigate the combination of doxorubicin with the pro-apoptotic BCL-2 inhibitor venetoclax in TNBC cell lines and to assess the role of p53 in cellular senescence and apoptosis.

METHODS

TNBC cell lines with wild-type (WT), mutated or knocked-down (KD) p53 were treated with doxorubicin, venetoclax or the combination and evaluated for impacts on viability, proliferation, apoptosis, and senescence. Down-stream markers of apoptosis were also assessed to evaluate cellular mechanistic changes. An TNBC MDA-MB-231 murine model was used to assess tumor growth, cellular proliferation, and senescence changes following treatment with doxorubicin, venetoclax or combination.

RESULTS

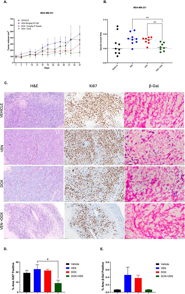
Venetoclax with doxorubicin had synergistic antiproliferative activity against TNBC cell lines and increased apoptosis. The addition of venetoclax to doxorubicin reduced senescent cells in a p53-independent manner. , the addition of venetoclax to doxorubicin improved tumor growth inhibition and reduced senescent cells.

CONCLUSION

The combination of doxorubicin with venetoclax is promising for the treatment of p53-WT and mutated TNBC and this work supports further investigation.

摘要

背景

三阴性乳腺癌(TNBC)是一种侵袭性乳腺癌亚型,与较高的疾病复发率相关。蒽环类化疗是根治性治疗的重要组成部分,但耐药性仍然是一个临床问题。细胞衰老一种终末细胞命运,已在多柔比星耐药模型中观察到。确定与多柔比星的新型联合用药以消除衰老细胞并促进细胞凋亡可能会改善临床结果。本研究的目的是研究多柔比星与促凋亡BCL-2抑制剂维奈克拉在TNBC细胞系中的联合应用,并评估p53在细胞衰老和凋亡中的作用。

方法

用野生型(WT)、突变型或敲低(KD)p53的TNBC细胞系分别接受多柔比星、维奈克拉或联合用药处理,并评估对细胞活力、增殖、凋亡和衰老的影响。还评估了凋亡的下游标志物以评估细胞机制变化。使用TNBC MDA-MB-231小鼠模型评估多柔比星、维奈克拉或联合用药处理后的肿瘤生长、细胞增殖和衰老变化。

结果

维奈克拉与多柔比星对TNBC细胞系具有协同抗增殖活性并增加凋亡。在多柔比星中添加维奈克拉以p53非依赖的方式减少衰老细胞。此外,在多柔比星中添加维奈克拉可改善肿瘤生长抑制并减少衰老细胞。

结论

多柔比星与维奈克拉联合应用有望治疗p53-WT和突变型TNBC,本研究支持进一步研究。

https://cdn.ncbi.nlm.nih.gov/pmc/blobs/b2ef/11999952/e8a35a4279cc/fonc-15-1549282-g001.jpg

文献检索

告别复杂PubMed语法,用中文像聊天一样搜索,搜遍4000万医学文献。AI智能推荐,让科研检索更轻松。

立即免费搜索

文件翻译

保留排版,准确专业,支持PDF/Word/PPT等文件格式,支持 12+语言互译。

免费翻译文档

深度研究

AI帮你快速写综述,25分钟生成高质量综述,智能提取关键信息,辅助科研写作。

立即免费体验