Ma Lianyue, Liang Yongfeng, Gao Wei, Dong Mei, Liu Xiangjuan, Cao Yuan, Meng Xiao, An Guipeng
State Key Laboratory for Innovation and Transformation of Luobing Theory; Key Laboratory of Cardiovascular Remodeling and Function Research, Chinese Ministry of Education, Chinese National Health Commission and Chinese Academy of Medical Sciences; Department of Cardiology, Qilu Hospital of Shandong University, Jinan, China.
Department of Radiology, Qilu Hospital of Shandong University, Jinan, China.
JACC Case Rep. 2025 May 14;30(10):103919. doi: 10.1016/j.jaccas.2025.103919. Epub 2025 Apr 19.
Over the past 2 decades, transcatheter aortic valve replacement (TAVR) has emerged as a widely accepted treatment for patients with severe aortic valve stenosis. Acute aortic dissection, although rare, is a life-threatening complication associated with TAVR.
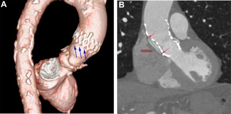
An older man with severe aortic stenosis underwent TAVR. During valve deployment, catheter manipulation caused intimal disruption, leading to acute type A aortic dissection (TAAD). Remarkably, the dissection spontaneously sealed after prosthetic valve placement, thereby avoiding emergency surgery. A 6-month follow-up computed tomography angiography scan showed no extension of the dissection.
In the case we report, the dissection spontaneously sealed with the use of a prosthetic valve, a finding that reinforces the feasibility of nonsurgical management of iatrogenic TAAD during TAVR in select cases.
TAKE-HOME MESSAGE: The use of a biological valve offers a novel perspective on the conservative management of iatrogenic aortic dissection in high-risk patients during TAVR.
在过去20年中,经导管主动脉瓣置换术(TAVR)已成为治疗严重主动脉瓣狭窄患者的一种广泛接受的方法。急性主动脉夹层虽然罕见,但却是与TAVR相关的一种危及生命的并发症。
一名患有严重主动脉狭窄的老年男性接受了TAVR。在瓣膜植入过程中,导管操作导致内膜破裂,引发急性A型主动脉夹层(TAAD)。值得注意的是,在人工瓣膜置入后夹层自行封闭,从而避免了急诊手术。一项为期6个月的计算机断层扫描血管造影扫描显示夹层无扩展。
在我们报告的病例中,夹层通过使用人工瓣膜自行封闭,这一发现强化了在某些情况下TAVR期间对医源性TAAD进行非手术治疗的可行性。
生物瓣膜的使用为TAVR期间高危患者医源性主动脉夹层的保守治疗提供了新的视角。