Jin Wei, Dong Ke, Yang Fan, Zhang Jianning, Cheng Gang
Department of Pathology, Chinese People's Liberation (PLA) General Hospital, Beijing, China.
South China University of Technology, Guangzhou, Guangdong, China.
Front Oncol. 2025 Apr 4;15:1519335. doi: 10.3389/fonc.2025.1519335. eCollection 2025.
Ewing sarcoma and Ewing-like sarcoma are both highly aggressive small round cell sarcomas, while CIC rearranged sarcoma (CRS), the most common specific type of Ewing-like sarcoma, exhibits a more aggressive course than Ewing sarcoma and represents a distinct family of sarcomas. NUT midline carcinoma family member 1 (NUTM1) is a characteristic fusion gene of NUT midline carcinoma. In this paper, the intracranial tumor CIC is mainly fused with NUTM1, which is considered to be a molecular variant of CIC sarcoma.
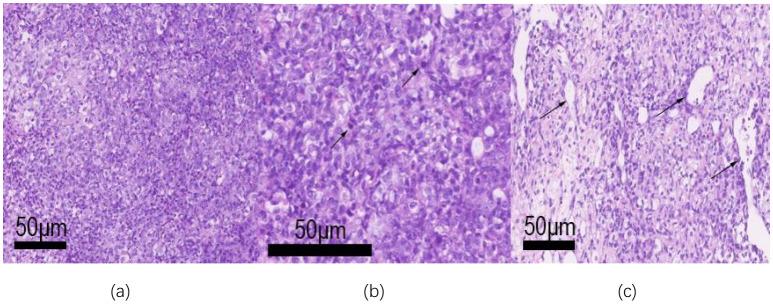
We report a 9 years old female patient diagnosed with CIC rearrangement sarcoma with CIC-NUTM1 gene rearrangement and PMS2 frameshift mutation, WHO grade 4. We treated the patient with surgical resection. Due to the poor postoperative condition of the patient, coupled with the inherently poor prognosis of CIC-NUTM1 sarcoma, the patient ultimately had a short survival time and the treatment outcome was not satisfactory.
We experienced a rare case of an intracranial tumor with CIC-NUTM1 fusion and a PMS2 frameshift mutation. Due to the small sample size, rapid progression, and poor prognosis associated with this type of tumor, it is essential to enhance understanding and diagnosis of this type of sarcoma.
尤因肉瘤和尤因样肉瘤均为高度侵袭性的小圆细胞肉瘤,而CIC重排肉瘤(CRS)是尤因样肉瘤最常见的特定类型,其病程比尤因肉瘤更具侵袭性,代表了一个独特的肉瘤家族。核仁蛋白中线癌家族成员1(NUTM1)是核仁蛋白中线癌的特征性融合基因。在本文中,颅内肿瘤CIC主要与NUTM1融合,被认为是CIC肉瘤的一种分子变体。
我们报告了一名9岁女性患者,诊断为伴有CIC-NUTM1基因重排和PMS2移码突变的CIC重排肉瘤,世界卫生组织分级为4级。我们对该患者进行了手术切除。由于患者术后情况不佳,再加上CIC-NUTM1肉瘤本身预后较差,患者最终生存时间较短,治疗效果不理想。
我们遇到了一例罕见的伴有CIC-NUTM1融合和PMS2移码突变的颅内肿瘤病例。由于此类肿瘤样本量小、进展迅速且预后不良,加强对此类肉瘤的认识和诊断至关重要。