Suppr超能文献

FOXO1介导miR-99a-5p/E2F7抑制乳腺癌细胞增殖并诱导凋亡。

FOXO1 mediates miR-99a-5p/E2F7 to restrain breast cancer cell proliferation and induce apoptosis.

作者信息

Zhang Ying, Wang Haili, Wang Yiliang, Ma Bo

机构信息

Department of Thyroid and Breast Surgery, the People's Hospital of Liaoning Province, Shenyang, Liaoning, 110016, China.

Department of Nursing, the People's Hospital of Liaoning Province, No.33, Wenyi Road, Shenhe District, Shenyang, Liaoning, 110016, China.

出版信息

BMC Cancer. 2025 Apr 22;25(1):747. doi: 10.1186/s12885-025-14111-1.

Abstract

BACKGROUND

FOXO1 is known to act as a tumor suppressor gene in breast cancer, but its exact mechanism of action remains unclear.

OBJECTIVE

This study aimed to clarify how FOXO1 suppresses breast cancer cell proliferation and induces apoptosis.

METHODS

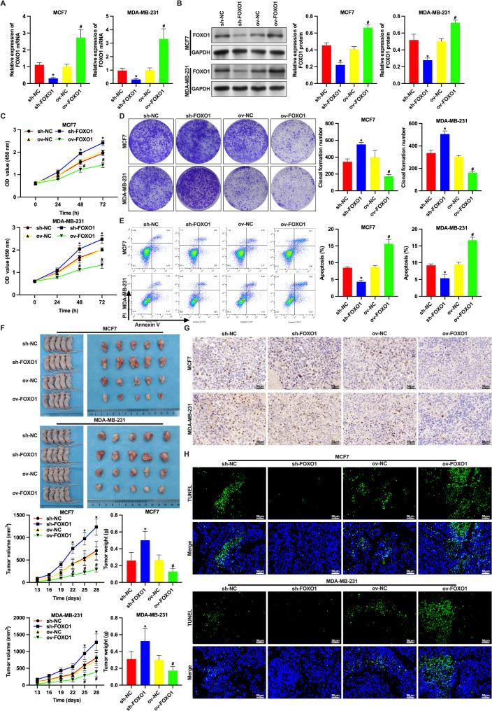
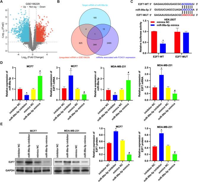
Breast cancer cell lines were generated with stable knockdown or overexpression of FOXO1. RT-qPCR and western blot assays were conducted to confirm transfection efficiency. CCK-8 and colony formation assays were used to assess cell proliferation, while flow cytometry measured apoptosis. The cells were subcutaneously injected into nude mice, and the volume and mass of the resulting tumors were evaluated. Immunohistochemistry was used to analyze Ki-67 expression in the tumors. A TUNEL assay examined apoptosis in the tumor cells. We performed bioinformatic analysis to identify FOXO1-targeted miRNAs and their downstream target mRNAs.

RESULTS

Overexpression of FOXO1 inhibited breast cancer cell proliferation and promoted apoptosis. In contrast, knockdown of FOXO1 enhanced cell proliferation and reduced apoptosis. Among the downstream miRNAs we identified, miR-99a-5p was found to be downregulated in breast cancer tissue. FOXO1 binds to the miR-99a promoter, facilitating its transcription. Inhibition of miR-99a-5p partially reversed the effects of FOXO1 overexpression on cell proliferation and apoptosis. E2F7, a target mRNA of miR-99a-5p, showed a negative correlation with FOXO1 expression in breast cancer mRNAs we screened. Silencing E2F7 partially mitigated the inhibitory effects of miR-99a-5p on proliferation and apoptosis in FOXO1-overexpressing cells. E2F7 binds to the FOXO1 promoter, thus suppressing its transcription and reducing its expression.

CONCLUSION

FOXO1 suppresses breast cancer cell proliferation and promotes apoptosis by enhancing the transcription and expression of miR-99a-5p, while inhibiting its target gene E2F7. E2F7, in turn, represses the transcription of FOXO1, lowering its expression.

摘要

背景

已知FOXO1在乳腺癌中作为一种肿瘤抑制基因发挥作用,但其确切作用机制仍不清楚。

目的

本研究旨在阐明FOXO1如何抑制乳腺癌细胞增殖并诱导细胞凋亡。

方法

构建稳定敲低或过表达FOXO1的乳腺癌细胞系。进行RT-qPCR和蛋白质印迹分析以确认转染效率。采用CCK-8和集落形成试验评估细胞增殖,流式细胞术检测细胞凋亡。将细胞皮下注射到裸鼠体内,评估形成肿瘤的体积和质量。免疫组织化学用于分析肿瘤中Ki-67的表达。TUNEL试验检测肿瘤细胞中的凋亡情况。我们进行生物信息学分析以鉴定FOXO1靶向的miRNA及其下游靶mRNA。

结果

FOXO1过表达抑制乳腺癌细胞增殖并促进细胞凋亡。相反,敲低FOXO1增强细胞增殖并减少细胞凋亡。在我们鉴定的下游miRNA中,发现miR-99a-5p在乳腺癌组织中表达下调。FOXO1与miR-99a启动子结合,促进其转录。抑制miR-99a-5p部分逆转了FOXO1过表达对细胞增殖和凋亡的影响。miR-99a-5p的靶mRNA E2F7在我们筛选的乳腺癌mRNA中与FOXO1表达呈负相关。沉默E2F7部分减轻了miR-99a-5p对FOXO1过表达细胞增殖和凋亡的抑制作用。E2F7与FOXO1启动子结合,从而抑制其转录并降低其表达。

结论

FOXO1通过增强miR-99a-5p的转录和表达,同时抑制其靶基因E2F7,来抑制乳腺癌细胞增殖并促进细胞凋亡。反过来,E2F7抑制FOXO1的转录,降低其表达。

https://cdn.ncbi.nlm.nih.gov/pmc/blobs/1bc3/12013025/c1157b1985ab/12885_2025_14111_Fig1_HTML.jpg

文献AI研究员

20分钟写一篇综述,助力文献阅读效率提升50倍。

立即体验

用中文搜PubMed

大模型驱动的PubMed中文搜索引擎

马上搜索

文档翻译

学术文献翻译模型,支持多种主流文档格式。

立即体验