Rendón Mejía Norman A, Ortega Moriel Luis R, Sandoval Campa Ernesto, Cristóbal Sofía C G, Cervantes Sánchez Carlos R
Department of Surgery, Hospital General Dr. Salvador Zubirán Anchondo, Chihuahua 31200, México.
Department of Acute Burn Surgery, Hospital General Dr. Salvador Zubirán Anchondo, Chihuahua 31200, México.
J Surg Case Rep. 2025 Apr 23;2025(4):rjaf244. doi: 10.1093/jscr/rjaf244. eCollection 2025 Apr.
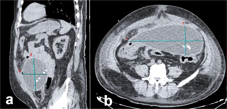
Peritoneal pseudocysts are benign, fluid-filled structures that arise from the accumulation of intra-abdominal fluid, which would typically be reabsorbed by the peritoneum. These pseudocysts form when peritoneal integrity is disrupted by adhesions, often secondary to trauma, surgery, or infection. While intraperitoneal pseudocysts are rare, they are most frequently associated with inflammatory processes, including ventriculoperitoneal shunt complications, catheter-related infections. Sclerosing peritonitis (SP), a rare but serious complication of long-term continuous ambulatory peritoneal dialysis, is characterized by marked thickening of the peritoneal membranes. Histologically, these membranes consist of dense fibrotic connective tissue infiltrated by mononuclear and polymorphonuclear cells. The pathogenesis of SP-associated pseudocysts is thought to involve low-grade infection or localized chronic inflammation. A 59-year-old male on peritoneal dialysis presented to the emergency department with chronic abdominal pain. Computed tomography imaging revealed a large peritoneal pseudocyst. During exploratory midline laparotomy, the pseudocyst was successfully evacuated, and the peritoneal dialysis catheter was removed.
腹膜假性囊肿是良性的、充满液体的结构,由腹腔内液体积聚形成,这些液体通常会被腹膜重新吸收。当腹膜完整性因粘连而破坏时会形成这些假性囊肿,粘连常继发于创伤、手术或感染。虽然腹腔内假性囊肿罕见,但它们最常与炎症过程相关,包括脑室腹腔分流并发症、导管相关感染。硬化性腹膜炎(SP)是长期持续性非卧床腹膜透析的一种罕见但严重的并发症,其特征是腹膜显著增厚。从组织学上看,这些腹膜由被单核细胞和多形核细胞浸润的致密纤维结缔组织组成。SP相关假性囊肿的发病机制被认为与低度感染或局部慢性炎症有关。一名接受腹膜透析的59岁男性因慢性腹痛就诊于急诊科。计算机断层扫描成像显示一个大的腹膜假性囊肿。在中线剖腹探查术中,假性囊肿被成功排空,腹膜透析导管被移除。