Suppr超能文献

DOCK9作为一种与食管鳞状细胞癌血管生成和免疫反应相关的预测性生物标志物。

DOCK9 as a predictive biomarker linked to angiogenesis and immune response in esophageal squamous cell carcinoma.

作者信息

Pan Yaqiang, Sun Yangyong, Xiao Ying, Ding Jifei, Hu Ge, Lin Zhiqiang, Chen Chang

机构信息

The First School of Clinical Medicine, Lanzhou University, Lanzhou, People's Republic of China.

Department of Cardiothoracic Surgery, Affiliated People's Hospital of Jiangsu University, Zhenjiang, Jiangsu, People's Republic of China.

出版信息

Clin Exp Med. 2025 Apr 24;25(1):126. doi: 10.1007/s10238-025-01653-8.

Abstract

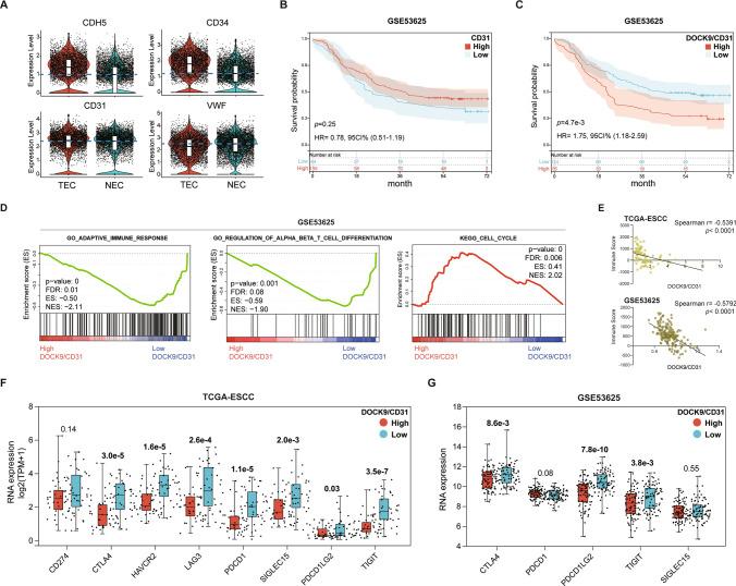
Esophageal squamous cell carcinoma (ESCC) remains a serious health concern due to its high prevalence and mortality rates. Identifying prognostic biomarkers is essential to improving patient outcomes and treatment strategies. DOCK9, a gene implicated in various cellular functions, may play a significant role in ESCC progression and prognosis. We analyzed RNA microarray datasets and single-cell RNA sequencing data to identify survival-associated genes in ESCC. Using protein expression analysis, we examined DOCK9 in ESCC tissues and assessed its functional impact on human umbilical vein endothelial cells to understand its role in angiogenesis. Additionally, we developed a 21-gene prognostic risk model, focusing on the relevance of DOCK9. Our findings revealed that DOCK9 expression is significantly reduced in ESCC tissues and correlates with poor survival outcomes. Functionally, DOCK9 was found to regulate angiogenesis and modulate the tumor-associated fibroblast environment in ESCC. Furthermore, the DOCK9/CD31 ratio emerged as a potential marker to predict immune therapy response in ESCC. DOCK9 serves as a prognostic biomarker in ESCC, influencing both angiogenesis and immune response, and could guide future therapeutic strategies, particularly in immunotherapy. This study highlights DOCK9's relevance in ESCC prognosis, supporting its potential role in tailored therapies aimed at angiogenesis and immune modulation.

摘要

食管鳞状细胞癌(ESCC)因其高发病率和死亡率,仍然是一个严重的健康问题。识别预后生物标志物对于改善患者预后和治疗策略至关重要。DOCK9是一个与多种细胞功能相关的基因,可能在ESCC进展和预后中发挥重要作用。我们分析了RNA微阵列数据集和单细胞RNA测序数据,以识别ESCC中与生存相关的基因。通过蛋白质表达分析,我们检测了ESCC组织中的DOCK9,并评估了其对人脐静脉内皮细胞的功能影响,以了解其在血管生成中的作用。此外,我们开发了一个21基因预后风险模型,重点关注DOCK9的相关性。我们的研究结果显示,ESCC组织中DOCK9表达显著降低,且与不良生存结果相关。在功能上,发现DOCK9可调节ESCC中的血管生成并调节肿瘤相关成纤维细胞环境。此外,DOCK9/CD31比值成为预测ESCC免疫治疗反应的潜在标志物。DOCK9作为ESCC的预后生物标志物,影响血管生成和免疫反应,并可指导未来的治疗策略,特别是在免疫治疗方面。本研究强调了DOCK9在ESCC预后中的相关性,支持其在针对血管生成和免疫调节的定制治疗中的潜在作用。

https://cdn.ncbi.nlm.nih.gov/pmc/blobs/7068/12021961/b6ab526b5ce7/10238_2025_1653_Fig1_HTML.jpg

文献AI研究员

20分钟写一篇综述,助力文献阅读效率提升50倍。

立即体验

用中文搜PubMed

大模型驱动的PubMed中文搜索引擎

马上搜索

文档翻译

学术文献翻译模型,支持多种主流文档格式。

立即体验