Aponte-Colon Diana A, Wilcox Vanden Berg Rand N, Wong Terence Z, Routh Jonathan C, Abern Michael
Department of Urology, Duke University School of Medicine, Durham, NC, USA.
Department of Radiology, Duke University School of Medicine, Durham, NC, USA.
Urol Case Rep. 2025 Apr 9;60:103036. doi: 10.1016/j.eucr.2025.103036. eCollection 2025 May.
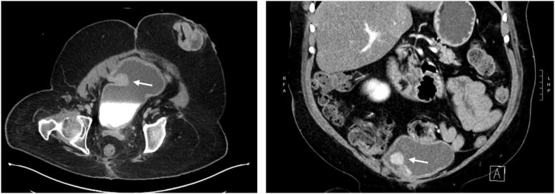
Patients with spina bifida are at increased risk of developing malignancy in the native or augmented bladder and tend to present with more advanced disease. Surgical guidelines for oncologic resections in patients with augmented bladders are not well described. Furthermore, there is limited knowledge regarding the changes in lymphatic drainage after bladder reconstruction. Herein we describe the case of a 45-year-old male with spina bifida who underwent gastrocystoplasty and developed adenocarcinoma of the augmented bladder segment 33 years later. We describe his surgical management with radical cystectomy and the use of sentinel lymph node dissection.
脊柱裂患者在原生或扩大膀胱中发生恶性肿瘤的风险增加,且往往表现为更晚期的疾病。关于扩大膀胱患者肿瘤切除的手术指南描述并不充分。此外,关于膀胱重建后淋巴引流变化的知识有限。在此,我们描述一例45岁患有脊柱裂的男性患者,其接受了胃膀胱扩大术,33年后发生了扩大膀胱段腺癌。我们描述了他接受根治性膀胱切除术及前哨淋巴结清扫术的手术治疗情况。