Suppr超能文献

肺超声对兔亚临床肺损伤的诊断准确性

Diagnostic Accuracy of Lung Ultrasound in Rabbit Subclinical Lung Lesions.

作者信息

Sargo Roberto, Tomé Inês, Silva Filipe, Ginja Mário

机构信息

Veterinary Teaching Hospital, University of Trás-os-Montes e Alto Douro, 5000-801 Vila Real, Portugal.

CECAV-Veterinary and Animal Science Research Centre and AL4AnimalS-Associate Laboratory for Animal and Veterinary Science, University of Trás-os-Montes e Alto Douro, Quinta de Prados, 5000-801 Vila Real, Portugal.

出版信息

Vet Sci. 2025 Apr 7;12(4):340. doi: 10.3390/vetsci12040340.

Abstract

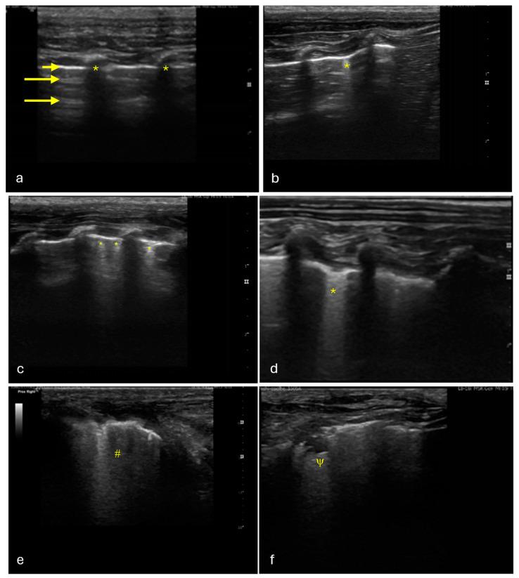
Rabbits are commonly affected by subclinical lung diseases. Computed tomography (CT) is the gold standard for diagnosing rabbit lung diseases but is not widely available and requires anesthesia, delaying diagnosis. Lung ultrasound (LUS) has emerged as a radiation-free, bedside diagnostic tool in human and veterinary medicine, though its use in rabbit medicine is not routine. This study aimed to evaluate LUS for detecting subclinical lung lesions in rabbits. Thirty healthy, five-month-old male New Zealand white rabbits underwent lung ultrasound, exploring four regions in each hemithorax, followed by thoracic CT under sedation with midazolam and butorphanol. The ultrasound images were scored as positive or negative, and the CT exams were assessed for aeration using threshold masks. The results showed that 63% of rabbits had one or more affected regions in the ultrasound images, and 19% of the regions were positive. CT identified 54% of the regions as positive for poorly aerated tissue, with 26/30 rabbits showing at least one positive region. The sensitivity and specificity of LUS were 33.33% and 93.48%, respectively, with an accuracy of 67.92% for detecting subclinical lesions. While LUS demonstrated a high specificity, its sensitivity was low compared to CT, highlighting the need for further refinement in its use for rabbit respiratory disease diagnosis.

摘要

兔子通常会受到亚临床肺部疾病的影响。计算机断层扫描(CT)是诊断兔子肺部疾病的金标准,但该设备并不普及,且需要麻醉,这会延误诊断。肺部超声(LUS)已成为人类和兽医学中一种无辐射的床边诊断工具,不过其在兔医学中的应用并不常规。本研究旨在评估LUS检测兔子亚临床肺部病变的能力。30只健康的5个月大雄性新西兰白兔接受了肺部超声检查,对每个半胸的四个区域进行探测,随后在咪达唑仑和布托啡诺镇静下进行胸部CT检查。超声图像被评为阳性或阴性,CT检查则使用阈值掩码评估通气情况。结果显示,63%的兔子在超声图像中有一个或多个受影响区域,其中19%的区域为阳性。CT识别出54%的区域为通气不良组织阳性,30只兔子中有26只显示至少一个阳性区域。LUS检测亚临床病变的敏感性和特异性分别为33.33%和93.48%,准确率为67.92%。虽然LUS显示出高特异性,但其敏感性与CT相比很低,这突出表明在将其用于兔呼吸道疾病诊断方面需要进一步改进。

https://cdn.ncbi.nlm.nih.gov/pmc/blobs/da62/12031136/16edc4647956/vetsci-12-00340-g001.jpg

文献AI研究员

20分钟写一篇综述,助力文献阅读效率提升50倍。

立即体验

用中文搜PubMed

大模型驱动的PubMed中文搜索引擎

马上搜索

文档翻译

学术文献翻译模型,支持多种主流文档格式。

立即体验