Cao Chao, Wu Zi-Yun, Liao Wei, Wei Li-Jun, Liang Hao-Yu, Yang Xia, Luo Rong-Zhen, Liu Li-Li
State Key Laboratory of Oncology in South China, Guangdong Provincial Clinical Research Center for Cancer, Sun Yat-sen University Cancer Center, Guangzhou, 510060, P.R. China.
Department of Pathology, Sun Yat-sen University Cancer Center, 651# Dong Feng Road East, Guangzhou, Guangdong, 510060, P.R. China.
Cancer Cell Int. 2025 Apr 29;25(1):170. doi: 10.1186/s12935-025-03794-y.
Subunits of the Switch/Sucrose-non-fermentable (Swi/Snf) complex, such as ARID1A, SMARCA4, SMARCA2, etc., have been implicated in the development of gynecologic cancers. However, their prevalence and clinical implications in endocervical adenocarcinoma (ECA) remain unclear. This study aimed to evaluate the expression of Swi/Snf complex subunits in ECA and characterize the clinicopathological and immune microenvironment features of Swi/Snf-deficient ECA.
We evaluated 604 ECA using representative tissue microarrays, collected clinicopathologic data, reviewed histological features, and performed immunohistochemical staining for several Swi/Snf complex subunits, mismatch repair (MMR), immune cell markers, and immune checkpoint ligands proteins.
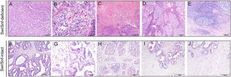
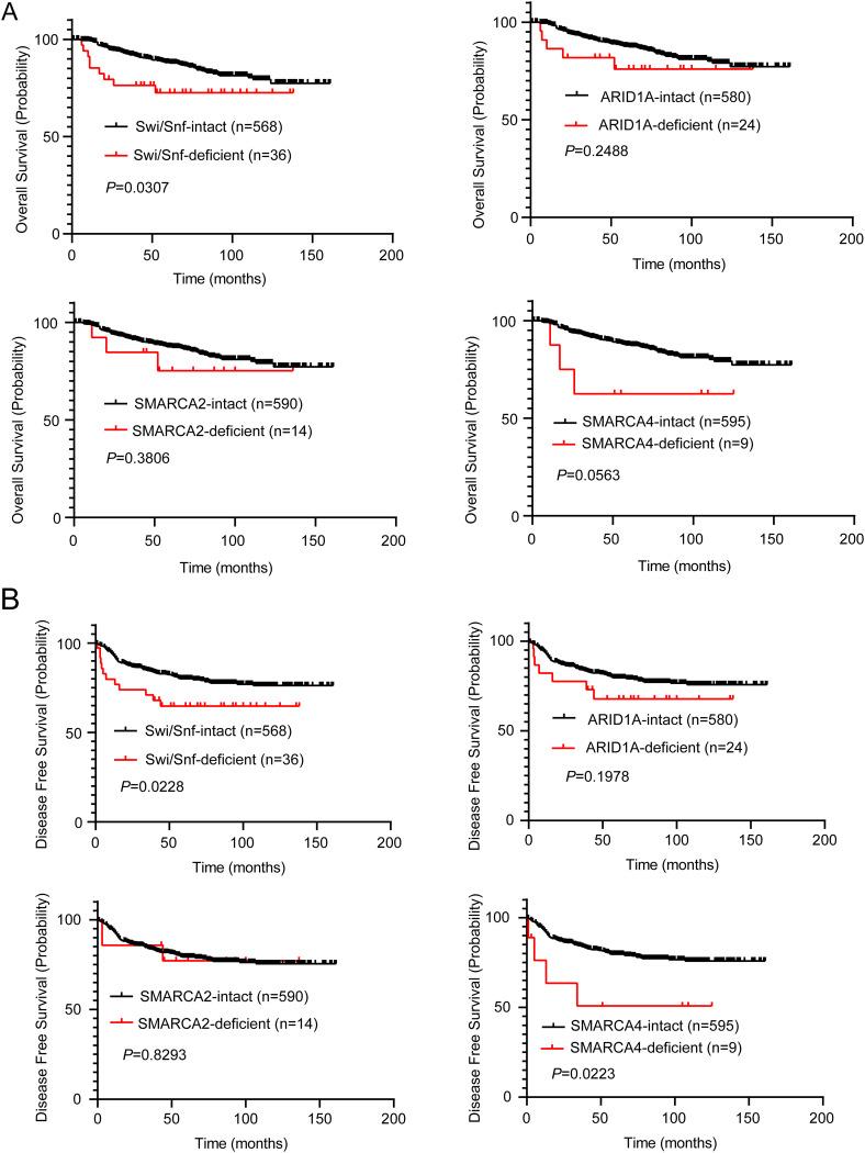
Among the 604 cases examined, five Swi/Snf subunit expression patterns were identified, including intact expression, deficient expression, 'checkerboard' expression, reduced expression, and heterogeneous expression. Deficiencies of ARID1A (3.97%, 24/604), SMARCA2 (2.32%,14/604), and SMARCA4 (1.49%, 9/604) were observed. Defining Swi/Snf deficiency as loss of any subunit, the overall deficiency rate was 5.96% (36/604). Swi/Snf-deficient ECA tended to advanced FIGO stage (III-IV, P = 0.041), larger tumor size (P < 0.001), deeper stromal invasion (≥ 1/3, P = 0.046), and higher lymph node metastasis rate (P = 0.037). Morphologically, Swi/Snf-deficient ECA displayed frequent poor differentiation (P = 0.001), medullary features (P < 0.001), high nuclear grade (P < 0.001), necrosis (P = 0.001), stromal tumor-infiltrating lymphocytes (sTILs, P < 0.001), peritumoral lymphocyte aggregation (P = 0.001), and tertiary lymphoid structures (TLS, P < 0.001). Immune subset analysis revealed significantly elevated densities of CD3⁺ T cells, CD8⁺ T cells, CD38⁺ plasma cells, CD56⁺ NK cells, CD68⁺ macrophages, and PD-1⁺ T cells in Swi/Snf-deficient ECA (P < 0.05). Swi/Snf-deficient ECA demonstrated higher PD-L1 combined positive score (CPS) positivity (P < 0.001), and was more frequently associated with mismatch repair deficiency (MMRD, P < 0.001). Survival analysis indicated shorter overall survival (median: 53 vs. 64.5 months, P = 0.0307) and disease-free survival (median: 52 vs. 60.5 months, P = 0.0228) in Swi/Snf-deficient ECA patients.
Swi/Snf complex deficiency is rare but significantly associated with NHPVA, aggressive pathological features, immunologically activated phenotypes, and MMRD. Swi/Snf status evaluation may inform novel therapeutic strategies for ECA patients.
开关/蔗糖非发酵(Swi/Snf)复合体的亚基,如ARID1A、SMARCA4、SMARCA2等,已被证明与妇科癌症的发生发展有关。然而,它们在内宫颈腺癌(ECA)中的发生率及其临床意义仍不清楚。本研究旨在评估Swi/Snf复合体亚基在ECA中的表达,并描述Swi/Snf缺陷型ECA的临床病理及免疫微环境特征。
我们使用代表性组织芯片评估了604例ECA,收集临床病理数据,回顾组织学特征,并对几种Swi/Snf复合体亚基、错配修复(MMR)、免疫细胞标志物和免疫检查点配体蛋白进行免疫组织化学染色。
在604例病例中,鉴定出5种Swi/Snf亚基表达模式,包括完整表达、缺陷表达、“棋盘”样表达、表达降低和异质性表达。观察到ARID1A(3.97%,24/604)、SMARCA2(2.32%,14/604)和SMARCA4(1.49%,9/604)存在缺陷。将Swi/Snf缺陷定义为任何亚基的缺失,总体缺陷率为5.96%(36/604)。Swi/Snf缺陷型ECA倾向于国际妇产科联盟(FIGO)晚期(III-IV期,P = 0.041)、肿瘤体积较大(P < 0.001)、间质浸润更深(≥1/3,P = 0.046)以及淋巴结转移率更高(P = 0.037)。在形态学上,Swi/Snf缺陷型ECA表现出频繁的低分化(P = 0.001)、髓样特征(P < p>
Swi/Snf复合体缺陷罕见,但与非HPV相关腺癌(NHPVA)、侵袭性病理特征、免疫激活表型和MMR缺陷显著相关。Swi/Snf状态评估可为ECA患者提供新的治疗策略。