Suppr超能文献

VP2的单个突变导致新型变异株与超强毒传染性法氏囊病病毒株之间的致死率和抗原性差异。

A Single Mutation of VP2 is Responsible for the Lethality and Antigenicity Differences between Novel Variant and Very Virulent IBDV Strains.

作者信息

Jiang Nan, Wang Guodong, Zhang Wenying, Wang Yulong, Niu Xinxin, Huang Mengmeng, Gao Li, Li Kai, Cui Hongyu, Liu Changjun, Zhang Yanping, Bao Keyan, Wang Suyan, Chen Yuntong, Wang Xiaomei, Gao Yulong, Qi Xiaole

机构信息

Avian Immunosuppressive Diseases Division, State Key Laboratory for Animal Disease Control and Prevention, Harbin Veterinary Research Institute, Chinese Academy of Agricultural Sciences, No. 678 Haping Road, Xiangfang District, Harbin, Heilongjiang 150069, China.

WOAH Reference Laboratory for Infectious Bursal Disease, Harbin Veterinary Research Institute, Chinese Academy of Agricultural Sciences, Harbin, China.

出版信息

Transbound Emerg Dis. 2023 Nov 14;2023:6684304. doi: 10.1155/2023/6684304. eCollection 2023.

Abstract

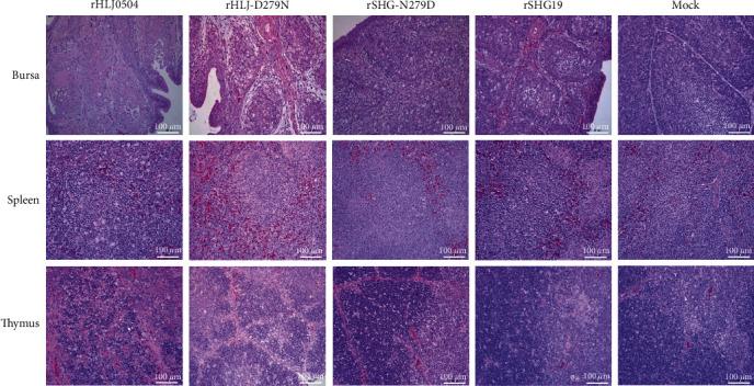
Infectious bursal disease is an acute, immunosuppressive infectious disease in chickens caused by the infectious bursal disease virus (IBDV), which causes huge economic losses to the global poultry industry. Persistently circulating very virulent IBDV (vvIBDV) and newly emerging novel variant IBDV (nVarIBDV) are the two dominant epidemic strains of IBDV in East Asian countries such as China. Compared to lethal vvIBDV, nonlethal nVarIBDV has more insidious pathogenicity and can partially escape the immune protection of the existing vvIBDV vaccine, suggesting its potential adaptive survival strategy. However, the underlying molecular mechanism remains unknown. The viral capsid protein VP2 is closely related to cell tropism, virulence, and antigenic variation of IBDV. In this study, for the first time, we demonstrated that residue 279 of VP2 is responsible for the difference in pathogenicity between nVarIBDV and vvIBDV and that the D279N substitution reduces the lethality of vvIBDV from 70% to 0%. Moreover, a significant reduction in the viral load and inflammatory factor levels in the immune organs and blood of infected chickens may be important mechanisms for reducing the lethality of IBDV. Additionally, residue 279 was an important molecular basis for the antigenic differences between nVarIBDV and vvIBDV. D279N substitution reduced the neutralizing ability of vvIBDV antiserum against nVarIBDV by affecting the binding ability of antibodies and antigens. Our results indicate that nVarIBDV has an infection transmission strategy that facilitates its survival by hiding viral pathogenicity and escaping antiserum neutralization, which not only has significant implications for the systemic cognition of viral genetic evolution and pathogenesis but also provides new ideas for the comprehensive prevention and control of IBDV.

摘要

传染性法氏囊病是由传染性法氏囊病病毒(IBDV)引起的鸡的一种急性、免疫抑制性传染病,给全球家禽业造成巨大经济损失。在中国等东亚国家,持续流行的超强毒IBDV(vvIBDV)和新出现的新型变异IBDV(nVarIBDV)是IBDV的两种主要流行毒株。与致死性vvIBDV相比,非致死性nVarIBDV具有更隐匿的致病性,并且能够部分逃避现有vvIBDV疫苗的免疫保护,这表明了其潜在的适应性生存策略。然而,其潜在的分子机制仍不清楚。病毒衣壳蛋白VP2与IBDV的细胞嗜性、毒力和抗原变异密切相关。在本研究中,我们首次证明VP2的279位残基决定了nVarIBDV和vvIBDV之间致病性的差异,并且D279N替换将vvIBDV的致死率从70%降低到了0%。此外,感染鸡的免疫器官和血液中病毒载量和炎性因子水平的显著降低可能是降低IBDV致死率的重要机制。另外,279位残基是nVarIBDV和vvIBDV之间抗原差异的重要分子基础。D279N替换通过影响抗体与抗原的结合能力降低了vvIBDV抗血清对nVarIBDV的中和能力。我们的结果表明,nVarIBDV具有一种感染传播策略,通过隐藏病毒致病性和逃避抗血清中和来促进其生存,这不仅对病毒遗传进化和发病机制的系统认识具有重要意义,也为IBDV的综合防控提供了新思路。

https://cdn.ncbi.nlm.nih.gov/pmc/blobs/5490/12017002/1e4a32241b19/TBED2023-6684304.001.jpg

文献AI研究员

20分钟写一篇综述,助力文献阅读效率提升50倍。

立即体验

用中文搜PubMed

大模型驱动的PubMed中文搜索引擎

马上搜索

文档翻译

学术文献翻译模型,支持多种主流文档格式。

立即体验