Suppr超能文献

母源7号染色体单亲二倍体:7号染色体编码的印记基因如何导致Silver-Russell综合征表型。

Maternal uniparental disomy of chromosome 7: how chromosome 7-encoded imprinted genes contribute to the Silver-Russell phenotype.

作者信息

Begemann Matthias, Lengyel Anna, Pinti Eva, Kovács Árpád Ferenc, Fekete György, Stratmann Svea, Krause Jeremias, Elbracht Miriam, Kraft Florian, Eggermann Thomas

机构信息

Medical Faculty, Centre for Human Genetics and Genome Medicine, RWTH University Aachen, Pauwelsstr. 30, 52074, Aachen, Germany.

Pediatric Center Tuzolto Street Department, Semmelweis University, Budapest, Hungary.

出版信息

Clin Epigenetics. 2025 Apr 30;17(1):70. doi: 10.1186/s13148-025-01867-3.

Abstract

BACKGROUND

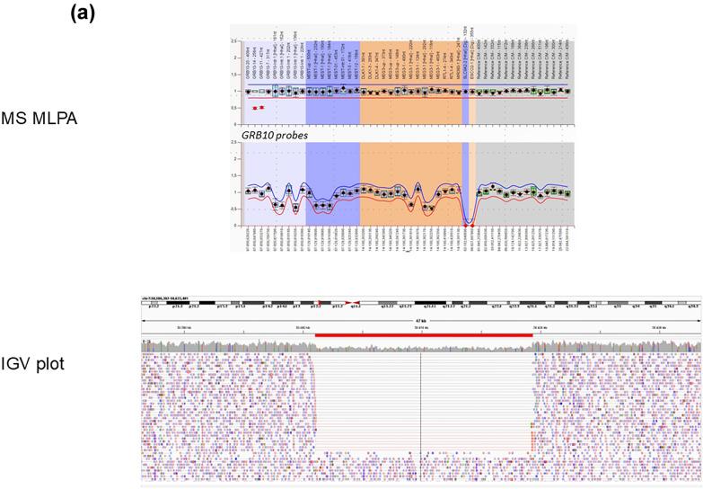
Silver-Russell syndrome (SRS) is a rare congenital growth disorder which is associated with molecular alterations affecting imprinted regions on chromosome 11p15 and maternal uniparental disomy of chromosome 7 (upd(7)mat). In 11p15, imprinted regions contributing to the SRS phenotype could be identified, whereas on chromosome 7 at least two regions in 7q32 and 7p13 are in discussion as SRS candidate regions. We report on DNA and RNA data from upd(7)mat patients and a monozygotic twin pair with a postnatal SRS phenotype carrying a small intragenic deletion within GRB10 to delineate the contribution of upd(7)mat and imprinted genes on this chromosome to the SRS phenotype.

RESULTS

Genome sequencing in the monozygotic twins revealed a 18 kb deletion within the paternal allele of the GRB10 gene. Expression of GRB10 in blood of the twins as well as in cells from upd(7)mat and upd(7q)mat patients was not altered, whereas RNAseq indicates noticeable changes of the expression of other genes encoded by chromosomes 7 and other genomic regions.

CONCLUSIONS

Our data indicate that intrauterine growth restriction as the prenatal phenotype of upd(7)mat is caused by defective paternal alleles of the 7q32 region, as well as by overexpression of the maternal GRB10 allele whereas a defective GRB10 paternal allele does not cause this feature. The altered expression of MEST in 7q32 by upd(7)mat is associated with the complete SRS phenotype, whereas maternalization or deletion of the paternal GRB10 copy and duplication of the chromosomal region 7p12 are associated with a postnatal SRS-like phenotype.

摘要

背景

Silver-Russell综合征(SRS)是一种罕见的先天性生长障碍,与影响11号染色体11p15印记区域的分子改变以及7号染色体的母源单亲二倍体(upd(7)mat)有关。在11p15中,可以确定导致SRS表型的印记区域,而在7号染色体上,7q32和7p13中的至少两个区域作为SRS候选区域正在进行讨论。我们报告了upd(7)mat患者以及一对具有产后SRS表型的单卵双胞胎的DNA和RNA数据,该双胞胎在GRB10基因内携带一个小的基因内缺失,以描述upd(7)mat和该染色体上的印记基因对SRS表型的贡献。

结果

单卵双胞胎的基因组测序显示GRB10基因的父本等位基因内有一个18 kb的缺失。双胞胎血液以及upd(7)mat和upd(7q)mat患者细胞中GRB10的表达未改变,而RNA测序表明7号染色体和其他基因组区域编码的其他基因的表达有明显变化。

结论

我们的数据表明,作为upd(7)mat产前表型的宫内生长受限是由7q32区域的父本等位基因缺陷以及母源GRB10等位基因的过表达引起的,而GRB10父本等位基因缺陷不会导致这一特征。upd(7)mat导致7q32中MEST表达改变与完整的SRS表型相关,而父本GRB10拷贝的母源化或缺失以及染色体区域7p12的重复与产后SRS样表型相关。

https://cdn.ncbi.nlm.nih.gov/pmc/blobs/64b6/12042466/a1ada244babf/13148_2025_1867_Fig1_HTML.jpg

文献AI研究员

20分钟写一篇综述,助力文献阅读效率提升50倍。

立即体验

用中文搜PubMed

大模型驱动的PubMed中文搜索引擎

马上搜索

文档翻译

学术文献翻译模型,支持多种主流文档格式。

立即体验