Palumbo Valeria, Treglia Michele, Scimeca Manuel, Servadei Francesca, Giacobbi Erica, Bonfiglio Rita, Pallocci Margherita, Passalacqua Pierluigi, Del Duca Fabio, Tittarelli Roberta, Coppeta Luca, Schiaroli Stefania, Cervelli Giulio, Mauriello Alessandro, Marsella Luigi Tonino, Mauriello Silvestro
Department of Experimental Medicine, Tor Vergata Oncoscience Research, University of Rome "Tor Vergata", 00133 Rome, Italy.
Department of Biomedicine and Prevention, University of Rome "Tor Vergata", 00133 Rome, Italy.
Diagnostics (Basel). 2025 Apr 14;15(8):999. doi: 10.3390/diagnostics15080999.
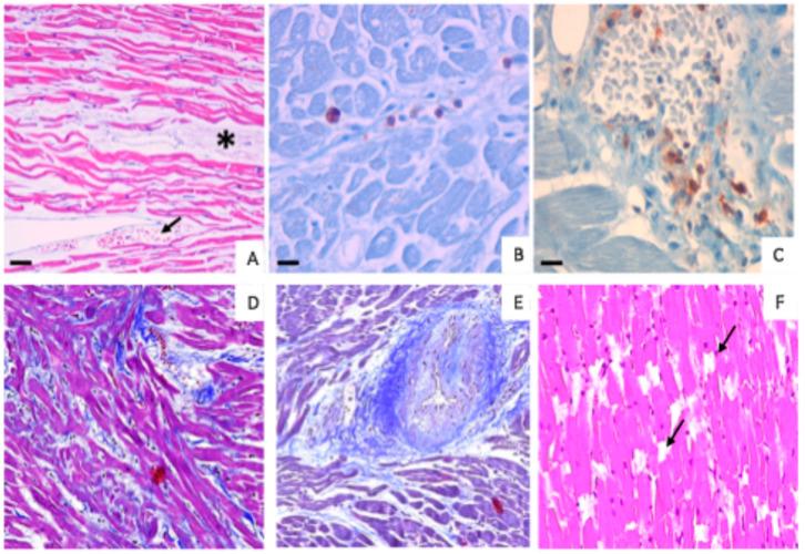
Cocaine abuse represents a serious health issue. The cardiovascular system is one of the main sites on which cocaine elicits its toxicity, as indicated by deadly events mainly related to myocardial infarction. The main aim of this study was to characterize the histological and immunohistochemical alterations related to cocaine abuse in cardiac tissue. Cardiac tissue samples derived from cocaine-related ( = 30) and not-cocaine-related deaths ( = 30). Histomorphology evaluations and immunohistochemistry for inflammatory biomarkers (CD45 and CD3) have been performed on formalin-fixed, paraffin-embedded (FFPE) cardiac tissue samples. A higher frequency of cardiac alterations, such as wavy fibers, interstitial edema, fibrosis and hemorrhagic extravasation, were found in the group of cocaine users compared to the control group. Moreover, immunohistochemical analysis showed higher levels of inflammatory cells infiltrate within the cocaine-related deaths group. These data could shed new light on the complex relationship between cocaine use and cardiac alterations. Specifically, our data support the evidence that cocaine abuse is related to cardiac inflammation. Therefore, the generation of an inflammatory state could promote functional and structural cardiac alterations and lead ultimately to myocardial infarction. This would explain the high frequency of acute myocardial infarction in cocaine users.
可卡因滥用是一个严重的健康问题。心血管系统是可卡因产生毒性的主要部位之一,主要与心肌梗死相关的致命事件就表明了这一点。本研究的主要目的是描述与可卡因滥用相关的心脏组织的组织学和免疫组化改变。心脏组织样本来自与可卡因相关的死亡病例(n = 30)和与可卡因无关的死亡病例(n = 30)。对福尔马林固定、石蜡包埋(FFPE)的心脏组织样本进行了组织形态学评估和炎症生物标志物(CD45和CD3)的免疫组化检测。与对照组相比,在可卡因使用者组中发现心脏改变的频率更高,如波浪状纤维、间质水肿、纤维化和出血性外渗。此外,免疫组化分析显示,在与可卡因相关的死亡病例组中炎症细胞浸润水平更高。这些数据可能为可卡因使用与心脏改变之间的复杂关系提供新的线索。具体而言,我们的数据支持了可卡因滥用与心脏炎症相关的证据。因此,炎症状态的产生可能促进心脏的功能和结构改变,并最终导致心肌梗死。这可以解释可卡因使用者中急性心肌梗死的高发生率。