Suppr超能文献

剪切波弹性成像与膀胱癌组织病理学分级、肿瘤分期及微血管密度的相关性

Correlation of shear wave elastography with histopathological grade, tumor stage, and microvessel density in bladder cancer.

作者信息

Sahin Gokhan, Gemalmaz Hakan, Gok Mustafa

机构信息

Department of Urology, Aydin State Hospital, Aydin, Türkiye.

Department of Urology, Aydin Adnan Menderes University Hospital, Aydin, Türkiye.

出版信息

Investig Clin Urol. 2025 May;66(3):207-214. doi: 10.4111/icu.20250068.

Abstract

PURPOSE

To evaluate the pathological correlation and prognostic significance of tissue stiffness measured by shear wave elastography (SWE) in bladder cancer.

MATERIALS AND METHODS

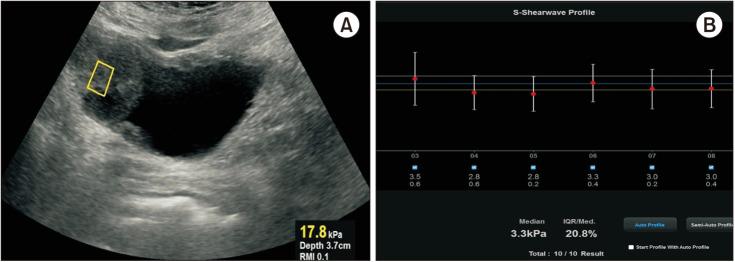
Patients with microscopic or macroscopic hematuria diagnosed with bladder tumors were included. SWE measurements were performed using a Samsung Medison RS80A Prestige ultrasonography device, with ten valid measurements taken for each tumor. Tumor specimens were collected via transurethral resection (transurethral resection of the bladder tumor) for histopathological analysis. Microvessel density (MVD) was assessed by immunohistochemical staining with anti-CD34 antibody using the hot-spot method. Correlations between tissue stiffness, MVD and tumor stage and grade were analyzed, and receiver operating characteristic (ROC) analysis determined the optimal SWE cutoff for differentiating tumor characteristics.

RESULTS

A total of 65 bladder urothelial carcinoma patients were included in the study (43 high-grade, 22 low-grade). SWE and MVD were significantly higher in the high-grade group (p=0.001, p=0.002, respectively). ROC analysis showed SWE could differentiate tumor grades (area under ROC curve=0.837, p<0.001), with a cut-off of 4.25 kPa (74% sensitivity, 86% specificity). Stiffness was also higher in recurrence (p=0.007). A strong positive correlation between SWE and MVD was found (rho=0.767, p<0.001). SWE may be a reliable, non-invasive tool for assessing tumor grade and recurrence risk.

CONCLUSIONS

SWE may be a reliable, non-invasive preoperative marker for bladder cancer, aiding in tumor characterization and clinical decision-making.

摘要

目的

评估剪切波弹性成像(SWE)测量的组织硬度在膀胱癌中的病理相关性及预后意义。

材料与方法

纳入经显微镜或肉眼血尿诊断为膀胱肿瘤的患者。使用三星麦迪逊RS80A Prestige超声设备进行SWE测量,每个肿瘤进行10次有效测量。通过经尿道切除术(膀胱肿瘤经尿道切除术)收集肿瘤标本进行组织病理学分析。采用热点法用抗CD34抗体免疫组化染色评估微血管密度(MVD)。分析组织硬度、MVD与肿瘤分期及分级之间的相关性,并通过受试者操作特征(ROC)分析确定区分肿瘤特征的最佳SWE临界值。

结果

本研究共纳入65例膀胱尿路上皮癌患者(43例高级别,22例低级别)。高级别组的SWE和MVD显著更高(分别为p = 0.001,p = 0.002)。ROC分析显示SWE可区分肿瘤分级(ROC曲线下面积 = 0.837,p < 0.001),临界值为4.25 kPa(敏感性74%,特异性86%)。复发患者的硬度也更高(p = 0.007)。发现SWE与MVD之间存在强正相关(rho = 0.767,p < 0.001)。SWE可能是评估肿瘤分级和复发风险的可靠、非侵入性工具。

结论

SWE可能是一种可靠的膀胱癌术前非侵入性标志物,有助于肿瘤特征分析和临床决策。

https://cdn.ncbi.nlm.nih.gov/pmc/blobs/c941/12058542/39dd76bb46da/icu-66-207-g001.jpg

文献AI研究员

20分钟写一篇综述,助力文献阅读效率提升50倍。

立即体验

用中文搜PubMed

大模型驱动的PubMed中文搜索引擎

马上搜索

文档翻译

学术文献翻译模型,支持多种主流文档格式。

立即体验