Suppr超能文献

46,XY女性患者中分泌雌激素的睾丸肿瘤伴17α-羟化酶/17,20-裂解酶缺乏:两例罕见病例报告及文献综述

Estrogen-secreting testicular tumors in 46,XY female patients with 17α-hydroxylase/17,20-lyase deficiency: two unusual case reports and a review of the literature.

作者信息

Batatinha Julio Americo Pereira, Nishi Mirian Yumie, Batista Rafael Loch, Faria Júnior José Antônio Diniz, Sircili Maria Helena Palma, Denes Francisco Tibor, Mesia Maria Jimena Chafloque, Salvanini Laura da Silva, Costa Elaine Maria Frade, Carvalho Filomena Marino, Mendonca Berenice Bilharinho, Domenice Sorahia

机构信息

Unidade de Endocrinologia do Desenvolvimento, Laboratório de Hormônios e Genética Molecular LIM/42, Hospital das Clínicas da Faculdade de Medicina da Universidade de São Paulo, São Paulo, Brazil.

Laboratório de Sequenciamento em Larga Escala (SELA), Faculdade de Medicina da Universidade de São Paulo, São Paulo, Brazil.

出版信息

Front Genet. 2025 Apr 17;16:1508792. doi: 10.3389/fgene.2025.1508792. eCollection 2025.

Abstract

CONTEXT

17α-hydroxylase/17,20-lyase deficiency (17OHD) is a rare autosomal recessive condition. Women who have the complete form of 17OHD typically have a female phenotype, with an absence of secondary sexual characteristics, primary amenorrhea, and hypertension, which is usually detected in adolescence. Generally, 46,XY patients with a partial form of 17OHD have atypical genitalia and intra-abdominal or inguinal testes. The risk of developing malignant testicular tumors or testicular adrenal rest tumors in 21-hydroxylase deficiency congenital adrenal hyperplasia is reported in 46,XY patients. In contrast, these conditions are rarely described in patients with 17OHD.

OBJECTIVE

This study aims to investigate patients with 17OHD who exhibit testicular tumors and spontaneous pubertal development.

PATIENTS AND RESULTS

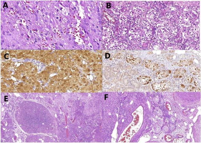
Two unrelated women with 46,XY karyotype with 17OHD who presented with unexpected spontaneous development of secondary sexual characteristics and testicular tumors were described. Pathogenic allelic variants in were identified in the compound heterozygous state in both patients. The variants p.Trp406Arg and p.Pro428Leu were identified in the patient with Leydig cell neoplasia plus germ cell neoplasia , and the p.Arg358Gln and p.Trp406Arg variants were identified in the patient with intratubular seminoma associated with invasive classic seminoma.

CONCLUSION

Our findings reinforce the risk of testicular tumor development among 46,XY patients with 17OHD and add data to the discussion of the risk/benefit ratio of prophylactic gonadectomy in the treatment patients with 46, XY differences in sex development (DSD).

摘要

背景

17α-羟化酶/17,20-裂解酶缺乏症(17OHD)是一种罕见的常染色体隐性疾病。患有完全型17OHD的女性通常具有女性表型,缺乏第二性征、原发性闭经和高血压,通常在青春期被发现。一般来说,患有部分型17OHD的46,XY患者具有非典型生殖器以及腹内或腹股沟睾丸。据报道,46,XY型21-羟化酶缺乏症先天性肾上腺增生患者有发生恶性睾丸肿瘤或睾丸肾上腺残余肿瘤的风险。相比之下,17OHD患者中很少描述这些情况。

目的

本研究旨在调查表现出睾丸肿瘤和自发青春期发育的17OHD患者。

患者与结果

描述了两名核型为46,XY且患有17OHD的无关女性,她们出现了意外的第二性征自发发育和睾丸肿瘤。在两名患者中均鉴定出处于复合杂合状态的致病等位基因变异。在患有莱迪希细胞瘤加生殖细胞瘤的患者中鉴定出p.Trp406Arg和p.Pro428Leu变异,在患有与浸润性经典精原细胞瘤相关的管内精原细胞瘤的患者中鉴定出p.Arg358Gln和p.Trp406Arg变异。

结论

我们的研究结果强化了46,XY型17OHD患者发生睾丸肿瘤的风险,并为讨论46,XY性发育差异(DSD)患者预防性性腺切除术的风险/获益比增添了数据。

https://cdn.ncbi.nlm.nih.gov/pmc/blobs/0cc3/12043694/ba9581225cae/fgene-16-1508792-g001.jpg

文献检索

告别复杂PubMed语法,用中文像聊天一样搜索,搜遍4000万医学文献。AI智能推荐,让科研检索更轻松。

立即免费搜索

文件翻译

保留排版,准确专业,支持PDF/Word/PPT等文件格式,支持 12+语言互译。

免费翻译文档

深度研究

AI帮你快速写综述,25分钟生成高质量综述,智能提取关键信息,辅助科研写作。

立即免费体验