• 文献检索
  • 文档翻译
  • 深度研究
  • 学术资讯
  • Suppr Zotero 插件Zotero 插件
  • 邀请有礼
  • 套餐&价格
  • 历史记录
应用&插件
Suppr Zotero 插件Zotero 插件浏览器插件Mac 客户端Windows 客户端微信小程序
定价
高级版会员购买积分包购买API积分包
服务
文献检索文档翻译深度研究API 文档MCP 服务
关于我们
关于 Suppr公司介绍联系我们用户协议隐私条款
关注我们

Suppr 超能文献

核心技术专利:CN118964589B侵权必究
粤ICP备2023148730 号-1Suppr @ 2026

文献检索

告别复杂PubMed语法,用中文像聊天一样搜索,搜遍4000万医学文献。AI智能推荐,让科研检索更轻松。

立即免费搜索

文件翻译

保留排版,准确专业,支持PDF/Word/PPT等文件格式,支持 12+语言互译。

免费翻译文档

深度研究

AI帮你快速写综述,25分钟生成高质量综述,智能提取关键信息,辅助科研写作。

立即免费体验

NAG-1/GDF15作为结直肠癌中的一种肿瘤抑制因子:通过与上皮细胞黏附分子(EpCAM)相互作用抑制β-连环蛋白和核因子κB(NF-κB)信号通路

NAG-1/GDF15 as a tumor suppressor in colorectal cancer: inhibition of β-catenin and NF-κB pathways via interaction with EpCAM.

作者信息

Lee Jaehak, Kim Ilju, Ryu Junsun, Eling Thomas, Baek Seung Joon

机构信息

Laboratory of Signal Transduction, College of Veterinary Medicine and Research Institute for Veterinary Science, Seoul National University, Seoul, Korea.

Department of Otolaryngology-Head and Neck Surgery, Center for Thyroid Cancer, Research Institute and Hospital, National Cancer Center, Goyang-si, Gyeonggi-do, Korea.

出版信息

Cell Death Dis. 2025 May 2;16(1):355. doi: 10.1038/s41419-025-07695-w.

DOI:10.1038/s41419-025-07695-w
PMID:40316530
原文链接:https://pmc.ncbi.nlm.nih.gov/articles/PMC12048721/
Abstract

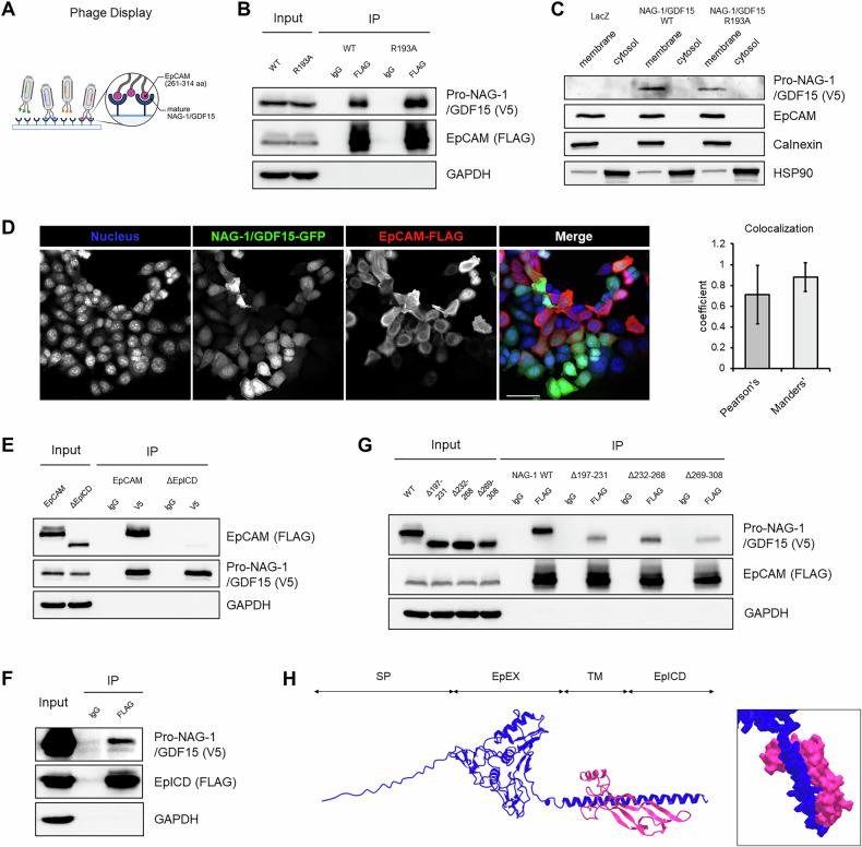
NAG-1/GDF15, a tumor suppressor, is synthesized as a pro-form in colorectal cancer (CRC) cells and undergoes cleavage to generate its mature form. While the biological function of pro-NAG-1/GDF15 remains unclear, our study reveals its crucial role in suppressing oncogenic signaling. We demonstrate that pro-NAG-1/GDF15 is predominantly retained within cells, whereas its mature form is secreted into the media. The expression of NAG-1/GDF15, or uncleavable R193A mutant, inhibits β-catenin and NF-κB signaling, key pathways in CRC progression. Mechanistically, the pro-NAG-1/GDF15 interacts with EpCAM, preventing its cleavage and nuclear translocation, thereby reducing β-catenin and NF-κB activity. This inhibition correlates with decreased expression of oncogenic targets such as cyclin D1 and c-myc. In vivo, NAG-1/GDF15 expression significantly reduces tumor growth in cancer xenograft models, accompanied by decreased proliferation and increased apoptosis. Furthermore, analysis of public datasets suggests that high NAG-1/GDF15 expression is associated with improved CRC patient survival. These findings highlight NAG-1/GDF15 via the formation of pro-NAG-1/GDF15 as a promising therapeutic target for cancer, with potential applications in modulating tumorigenic signaling pathways.

摘要

NAG-1/GDF15是一种肿瘤抑制因子,在结肠直肠癌(CRC)细胞中以前体形式合成,并经过切割产生其成熟形式。虽然前体NAG-1/GDF15的生物学功能尚不清楚,但我们的研究揭示了它在抑制致癌信号传导中的关键作用。我们证明,前体NAG-1/GDF15主要保留在细胞内,而其成熟形式则分泌到培养基中。NAG-1/GDF15或不可切割的R193A突变体的表达抑制β-连环蛋白和NF-κB信号传导,这是CRC进展中的关键途径。从机制上讲,前体NAG-1/GDF15与上皮细胞黏附分子(EpCAM)相互作用,阻止其切割和核转位,从而降低β-连环蛋白和NF-κB的活性。这种抑制作用与细胞周期蛋白D1和c-myc等致癌靶点的表达降低相关。在体内,NAG-1/GDF15的表达显著降低癌症异种移植模型中的肿瘤生长,同时伴有增殖减少和凋亡增加。此外,对公共数据集的分析表明,高NAG-1/GDF15表达与CRC患者生存率提高相关。这些发现突出了通过形成前体NAG-1/GDF15的NAG-1/GDF15作为一种有前景的癌症治疗靶点,在调节致瘤信号通路方面具有潜在应用价值。

https://cdn.ncbi.nlm.nih.gov/pmc/blobs/98f5/12048721/92c2380c0fe8/41419_2025_7695_Fig6_HTML.jpg
https://cdn.ncbi.nlm.nih.gov/pmc/blobs/98f5/12048721/30e8261ec103/41419_2025_7695_Fig1_HTML.jpg
https://cdn.ncbi.nlm.nih.gov/pmc/blobs/98f5/12048721/74f15626f615/41419_2025_7695_Fig2_HTML.jpg
https://cdn.ncbi.nlm.nih.gov/pmc/blobs/98f5/12048721/acb8de7fec17/41419_2025_7695_Fig3_HTML.jpg
https://cdn.ncbi.nlm.nih.gov/pmc/blobs/98f5/12048721/d90d4e59838e/41419_2025_7695_Fig4_HTML.jpg
https://cdn.ncbi.nlm.nih.gov/pmc/blobs/98f5/12048721/c2235e0a2e76/41419_2025_7695_Fig5_HTML.jpg
https://cdn.ncbi.nlm.nih.gov/pmc/blobs/98f5/12048721/92c2380c0fe8/41419_2025_7695_Fig6_HTML.jpg
https://cdn.ncbi.nlm.nih.gov/pmc/blobs/98f5/12048721/30e8261ec103/41419_2025_7695_Fig1_HTML.jpg
https://cdn.ncbi.nlm.nih.gov/pmc/blobs/98f5/12048721/74f15626f615/41419_2025_7695_Fig2_HTML.jpg
https://cdn.ncbi.nlm.nih.gov/pmc/blobs/98f5/12048721/acb8de7fec17/41419_2025_7695_Fig3_HTML.jpg
https://cdn.ncbi.nlm.nih.gov/pmc/blobs/98f5/12048721/d90d4e59838e/41419_2025_7695_Fig4_HTML.jpg
https://cdn.ncbi.nlm.nih.gov/pmc/blobs/98f5/12048721/c2235e0a2e76/41419_2025_7695_Fig5_HTML.jpg
https://cdn.ncbi.nlm.nih.gov/pmc/blobs/98f5/12048721/92c2380c0fe8/41419_2025_7695_Fig6_HTML.jpg

相似文献

1
NAG-1/GDF15 as a tumor suppressor in colorectal cancer: inhibition of β-catenin and NF-κB pathways via interaction with EpCAM.NAG-1/GDF15作为结直肠癌中的一种肿瘤抑制因子:通过与上皮细胞黏附分子(EpCAM)相互作用抑制β-连环蛋白和核因子κB(NF-κB)信号通路
Cell Death Dis. 2025 May 2;16(1):355. doi: 10.1038/s41419-025-07695-w.
2
Qizhen capsule inhibits colorectal cancer by inducing NAG-1/GDF15 expression that mediated via MAPK/ERK activation.芪珍胶囊通过诱导 NAG-1/GDF15 的表达来抑制结直肠癌,这种表达是通过 MAPK/ERK 激活介导的。
J Ethnopharmacol. 2021 Jun 12;273:113964. doi: 10.1016/j.jep.2021.113964. Epub 2021 Feb 26.
3
GDF15 induces chemoresistance to oxaliplatin by forming a reciprocal feedback loop with Nrf2 to maintain redox homeostasis in colorectal cancer.GDF15 通过与 Nrf2 形成相互反馈回路,在结直肠癌中维持氧化还原平衡,从而诱导对奥沙利铂的耐药性。
Cell Oncol (Dordr). 2024 Aug;47(4):1149-1165. doi: 10.1007/s13402-024-00918-w. Epub 2024 Feb 22.
4
Suppressing GDF15 enhances the chemotherapeutic effect of 5 FU on MSI-H CRC by regulating the ferroptosis pathway SLC7A11/GSH/GPX4.抑制生长分化因子15(GDF15)可通过调节铁死亡途径溶质载体家族7成员11(SLC7A11)/谷胱甘肽(GSH)/谷胱甘肽过氧化物酶4(GPX4)增强5-氟尿嘧啶(5-FU)对微卫星高度不稳定(MSI-H)结直肠癌的化疗效果。
J Cancer Res Clin Oncol. 2024 Dec 5;151(1):6. doi: 10.1007/s00432-024-06036-2.
5
NAG-1/GDF15 inhibits diabetic nephropathy via inhibiting AGE/RAGE-mediated inflammation signaling pathways in C57BL/6 mice and HK-2 cells.NAG-1/GDF15 通过抑制 AGE/RAGE 介导的炎症信号通路抑制 C57BL/6 小鼠和 HK-2 细胞的糖尿病肾病。
Life Sci. 2022 Dec 15;311(Pt A):121142. doi: 10.1016/j.lfs.2022.121142. Epub 2022 Oct 29.
6
MICAL1 inhibits colorectal cancer cell migration and proliferation by regulating the EGR1/β-catenin signaling pathway.MICAL1 通过调控 EGR1/β-catenin 信号通路抑制结直肠癌细胞迁移和增殖。
Biochem Pharmacol. 2022 Jan;195:114870. doi: 10.1016/j.bcp.2021.114870. Epub 2021 Dec 11.
7
Histone demethylase JMJD1A promotes colorectal cancer growth and metastasis by enhancing Wnt/β-catenin signaling.组蛋白去甲基化酶 JMJD1A 通过增强 Wnt/β-连环蛋白信号促进结直肠癌的生长和转移。
J Biol Chem. 2018 Jul 6;293(27):10606-10619. doi: 10.1074/jbc.RA118.001730. Epub 2018 May 25.
8
Histone Demethylase JMJD2D Interacts With β-Catenin to Induce Transcription and Activate Colorectal Cancer Cell Proliferation and Tumor Growth in Mice.组蛋白去甲基化酶 JMJD2D 与 β-连环蛋白相互作用,诱导转录并激活小鼠结直肠癌细胞增殖和肿瘤生长。
Gastroenterology. 2019 Mar;156(4):1112-1126. doi: 10.1053/j.gastro.2018.11.036. Epub 2018 Nov 23.
9
Ursolic acid inhibits growth and metastasis of human colorectal cancer in an orthotopic nude mouse model by targeting multiple cell signaling pathways: chemosensitization with capecitabine.熊果酸通过靶向多个细胞信号通路抑制裸鼠原位结直肠癌细胞生长和转移:与卡培他滨的协同作用。
Clin Cancer Res. 2012 Sep 15;18(18):4942-53. doi: 10.1158/1078-0432.CCR-11-2805. Epub 2012 Jul 25.
10
NSAID-activated gene 1 mediates pro-inflammatory signaling activation and paclitaxel chemoresistance in type I human epithelial ovarian cancer stem-like cells.非甾体抗炎药激活基因1介导I型人上皮性卵巢癌干细胞样细胞中的促炎信号激活和紫杉醇化疗耐药性。
Oncotarget. 2016 Nov 1;7(44):72148-72166. doi: 10.18632/oncotarget.12355.

本文引用的文献

1
GDF15 propeptide promotes bone metastasis of castration-resistant prostate cancer by augmenting the bone microenvironment.生长分化因子15前体肽通过增强骨微环境促进去势抵抗性前列腺癌的骨转移。
Biomark Res. 2024 Nov 25;12(1):147. doi: 10.1186/s40364-024-00695-6.
2
Clinical validation of circulating GDF15/MIC-1 as a marker of response to docetaxel and survival in men with metastatic castration-resistant prostate cancer.循环 GDF15/MIC-1 作为 docetaxel 治疗转移性去势抵抗性前列腺癌反应和生存标志物的临床验证。
Prostate. 2024 Jun;84(8):747-755. doi: 10.1002/pros.24691. Epub 2024 Mar 27.
3
Targeting proprotein convertase subtilisin/kexin type 9 (PCSK9): from bench to bedside.
靶向前蛋白转化酶枯草溶菌素 9(PCSK9):从实验室到临床。
Signal Transduct Target Ther. 2024 Jan 8;9(1):13. doi: 10.1038/s41392-023-01690-3.
4
Tolfenamic acid negatively regulates YAP and TAZ expression in human cancer cells.甲苯磺酸托氟沙星酸可负调控人癌细胞中 YAP 和 TAZ 的表达。
Biochim Biophys Acta Mol Cell Res. 2023 Dec;1870(8):119556. doi: 10.1016/j.bbamcr.2023.119556. Epub 2023 Aug 5.
5
Epithelial cell adhesion molecule (EpCAM) regulates HGFR signaling to promote colon cancer progression and metastasis.上皮细胞黏附分子 (EpCAM) 调节 HGFR 信号通路以促进结肠癌的进展和转移。
J Transl Med. 2023 Aug 5;21(1):530. doi: 10.1186/s12967-023-04390-2.
6
Hepatic glucuronyl C5-epimerase combats obesity by stabilising GDF15.肝糖基 C5-差向异构酶通过稳定 GDF15 来对抗肥胖。
J Hepatol. 2023 Sep;79(3):605-617. doi: 10.1016/j.jhep.2023.05.011. Epub 2023 May 20.
7
Cytosolic EpCAM cooperates with H-Ras to regulate epithelial to mesenchymal transition through ZEB1.细胞质 EpCAM 通过 ZEB1 与 H-Ras 合作调节上皮间质转化。
PLoS One. 2023 May 16;18(5):e0285707. doi: 10.1371/journal.pone.0285707. eCollection 2023.
8
Novel thrombospondin-1 transcript exhibits distinctive expression and activity in thyroid tumorigenesis.新型血小板反应蛋白-1 转录本在甲状腺肿瘤发生中表现出独特的表达和活性。
Oncogene. 2023 Jun;42(22):1832-1842. doi: 10.1038/s41388-023-02692-9. Epub 2023 Apr 13.
9
WITHDRAWN: Activation Of Wnt/Β-Catenin Signaling in Epcamhigh/CD44+ Cells Endow Colorectal Cancer With Tumor Proliferation And Oxaliplatin Chemoresistance.撤回:Epcam高表达/CD44+细胞中Wnt/β-连环蛋白信号的激活赋予结直肠癌肿瘤增殖和奥沙利铂化疗耐药性。
Comb Chem High Throughput Screen. 2025 Jan 13. doi: 10.2174/1386207326666230209093639.
10
Wnt signaling in colorectal cancer: pathogenic role and therapeutic target.结直肠癌中的 Wnt 信号通路:致病作用和治疗靶点。
Mol Cancer. 2022 Jul 14;21(1):144. doi: 10.1186/s12943-022-01616-7.