Suppr超能文献

精索阴囊黏液纤维肉瘤表现为左侧阴囊肿胀。埃塞俄比亚首例病例报告:病例报告。

Scrotal myxofibrosarcoma of the spermatic cord presented as left scrotal swelling. The first case report in Ethiopia: a case report.

作者信息

Alemu Chalachew Tenna, Tessema Yohannes Kifle, Molla Messay Mekonen, Endris Seada Aliyu, Yimer Nejat Ahmed

机构信息

Department of Surgery Urology Division, School of Medicine, College of Health Sciences, Addis Ababa University, Addis Ababa, Ethiopia.

Department of Surgery, School of Medicine, College of Health Sciences, Debre Tabor University, Debre Tabor, Ethiopia.

出版信息

BMC Urol. 2025 May 5;25(1):114. doi: 10.1186/s12894-025-01794-8.

Abstract

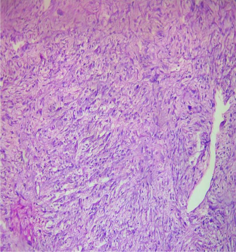
Myxofibrosarcoma of the spermatic cord is a rare form of para-testicular tumor that usually presents with painless scrotal or inguinal swelling. Ultrasonography revealed a solid mass in the scrotum, suggesting a para-testicular tumor, and exploration via a high inguinal incision revealed a large para-testicular mass. Finally, a pathologic examination revealed a low-grade sarcoma favoring myxoid fibrosarcoma. Here, we present the first reported case of myxofibrosarcoma of the spermatic cord in Ethiopia in a 54-year-old male patient and reviewed the available literature on the topic.

摘要

精索黏液纤维肉瘤是一种罕见的睾丸旁肿瘤,通常表现为无痛性阴囊或腹股沟肿胀。超声检查显示阴囊内有一实性肿块,提示为睾丸旁肿瘤,经高位腹股沟切口探查发现一个大的睾丸旁肿块。最后,病理检查显示为低度肉瘤,倾向于黏液样纤维肉瘤。在此,我们报告埃塞俄比亚首例54岁男性精索黏液纤维肉瘤病例,并回顾了该主题的现有文献。

https://cdn.ncbi.nlm.nih.gov/pmc/blobs/2928/12053854/ef9185b27fb1/12894_2025_1794_Fig1_HTML.jpg

文献AI研究员

20分钟写一篇综述,助力文献阅读效率提升50倍。

立即体验

用中文搜PubMed

大模型驱动的PubMed中文搜索引擎

马上搜索

文档翻译

学术文献翻译模型,支持多种主流文档格式。

立即体验